电话:
+86 (0512) 65829739
传真:
+86 (010) 6788 5057
电子邮件:
orders@antibodies-online.cn

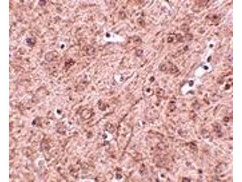
CERS6 抗体 (N-Term)

This 兔 多克隆 antibody specifically detects CERS6 in WB, ELISA 和 IHC. It exhibits reactivity toward 人, 小鼠 和 大鼠.
产品编号 ABIN1031437
发货至: 中国
Contact our Customer Service for availability and price in your country. Contact Info

Our Local Distributor

中国
北京 101111
No. 88 KeChuang 6th Street
Beijing Economic Technological Development Area
Room 801-803
4A Biotech Co.,Ltd.
Tel +86 (0512) 65829739 传真 +86 (010) 6788 5057

Quick Overview for CERS6 抗体 (N-Term) (ABIN1031437)

抗原

See all CERS6 抗体
CERS6 (Ceramide Synthase 6 (CERS6))

适用

  • 35
  • 13
  • 6
  • 2
  • 2
  • 2
  • 1
  • 1
  • 1
  • 1
人, 小鼠, 大鼠

宿主

  • 28
  • 7

克隆类型

  • 29
  • 6
多克隆

标记

  • 16
  • 4
  • 3
  • 2
  • 2
  • 2
  • 1
  • 1
  • 1
  • 1
  • 1
  • 1
This CERS6 antibody is un-conjugated

应用范围

  • 24
  • 17
  • 5
  • 4
  • 3
  • 3
  • 1
Western Blotting (WB), ELISA, Immunohistochemistry (IHC)
You are here: