电话:
+86 (0512) 65829739
传真:
+86 (010) 6788 5057
电子邮件:
orders@antibodies-online.cn

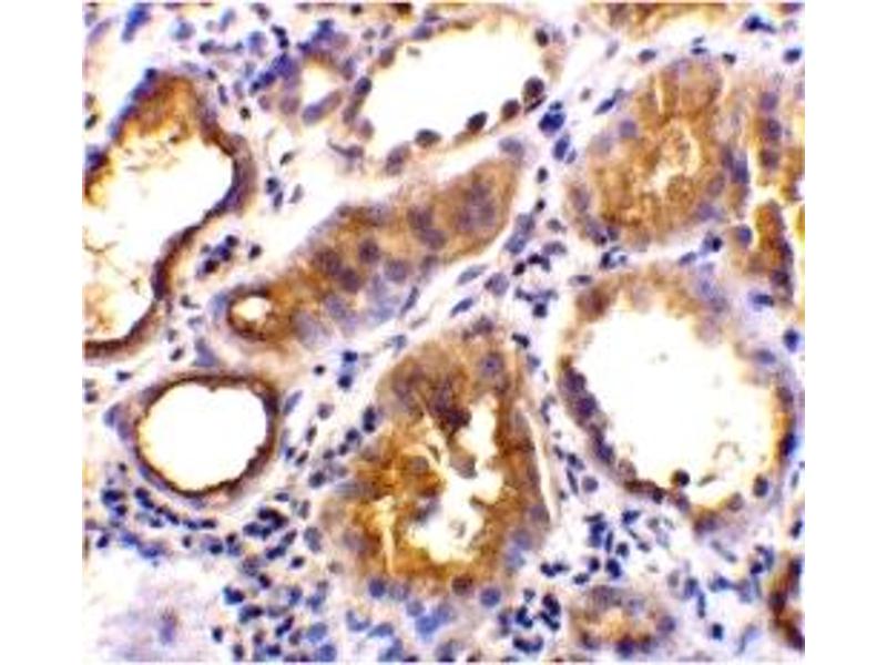
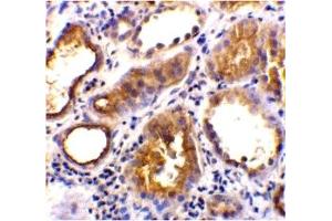
ACE2 抗体 (Middle Region 1)

Cited in 1 publication. The 兔 多克隆 anti-ACE2 antibody (ABIN1031184) specifically detects ACE2 in WB, IHC 和 ELISA. The antibody is reactive with 人 和 小鼠 samples.
产品编号 ABIN1031184
发货至: 中国
Contact our Customer Service for availability and price in your country. Contact Info

Our Local Distributor

中国
北京 101111
No. 88 KeChuang 6th Street
Beijing Economic Technological Development Area
Room 801-803
4A Biotech Co.,Ltd.
Tel +86 (0512) 65829739 传真 +86 (010) 6788 5057

Quick Overview for ACE2 抗体 (Middle Region 1) (ABIN1031184)

抗原

See all ACE2 抗体
ACE2 (Angiotensin I Converting Enzyme 2 (ACE2))

适用

  • 173
  • 65
  • 57
  • 5
  • 4
  • 3
  • 2
  • 2
  • 1
  • 1
  • 1
人, 小鼠

宿主

  • 145
  • 40
  • 6
  • 1

克隆类型

  • 118
  • 74
多克隆

标记

  • 102
  • 18
  • 12
  • 8
  • 6
  • 5
  • 3
  • 3
  • 3
  • 3
  • 3
  • 3
  • 3
  • 3
  • 1
  • 1
  • 1
  • 1
  • 1
  • 1
  • 1
  • 1
  • 1
  • 1
  • 1
  • 1
  • 1
  • 1
  • 1
  • 1
  • 1
This ACE2 antibody is un-conjugated

应用范围

  • 147
  • 77
  • 77
  • 43
  • 30
  • 27
  • 25
  • 20
  • 18
  • 17
  • 10
  • 6
  • 3
  • 2
  • 2
  • 1
  • 1
  • 1
Western Blotting (WB), Immunohistochemistry (IHC), ELISA
You are here: