电话:
+86 (0512) 65829739
传真:
+86 (010) 6788 5057
电子邮件:
orders@antibodies-online.cn

Angiotensin I Converting Enzyme 1 抗体

(Angiotensin I Converting Enzyme (Peptidyl-Dipeptidase A) 1 (ACE))
This gene encodes an enzyme involved in catalyzing the conversion of angiotensin I into a physiologically active peptide angiotensin II. Angiotensin II is a potent vasopressor and aldosterone-stimulating peptide that controls blood pressure and fluid-electrolyte balance. This enzyme plays a key role in the renin-angiotensin system. Many studies have associated the presence or absence of a 287 bp Alu repeat element in this gene with the levels of circulating enzyme or cardiovascular pathophysiologies. Multiple alternatively spliced transcript variants encoding different isoforms have been identified, and two most abundant spliced variants encode the somatic form and the testicular form, respectively, that are equally active. [provided by RefSeq, May 2010].

158 results

ACE 适用: 人 WB, ELISA, ICC, IHC (p), IHC (fro) 宿主: 兔 Polyclonal unconjugated
产品编号 ABIN7442498
100 μL (More quantities available)
发货至: 中国
获取报价
 
ACE 适用: 人 WB, IHC 宿主: 兔 Polyclonal unconjugated
产品编号 ABIN7430297
100 μL (More quantities available)
发货至: 中国
获取报价
 
ACE 适用: 人, 小鼠, 大鼠 WB, IHC, ICC, IHC (fro), IF 宿主: 兔 Polyclonal unconjugated
Pubmed 1 reference
产品编号 ABIN3043777
 
ACE 适用: 人, 小鼠, 大鼠, 犬 WB, ELISA, FACS, ICC, IHC (p), IF (p), IF (cc), IHC (fro) 宿主: 兔 Polyclonal unconjugated
Pubmed 3 references
产品编号 ABIN668631
 
ACE 适用: 人 WB, IHC 宿主: 兔 Polyclonal unconjugated
Pubmed 1 reference
产品编号 ABIN3042841
 
ACE 适用: 人 WB, IHC 宿主: 兔 Polyclonal unconjugated
产品编号 ABIN3016740
100 μL (More quantities available)
发货至: 中国
获取报价
 
ACE 适用: 人 WB, ELISA, IF 宿主: 小鼠 Monoclonal 4B10 unconjugated
产品编号 ABIN514909
100 μg
发货至: 中国
获取报价
 
ACE 适用: 人 WB, ELISA 宿主: 小鼠 Monoclonal 6A4 unconjugated
Pubmed 3 references
产品编号 ABIN560577
100 μg
发货至: 中国
获取报价
 
ACE 适用: 人 IHC, ELISA, Coat, StM 宿主: 小鼠 Monoclonal 9B9 unconjugated
产品编号 ABIN6939231
100 μg (More quantities available)
发货至: 中国
获取报价
 
ACE 适用: 人 ELISA 宿主: 小鼠 Monoclonal 3H7E4 unconjugated
产品编号 ABIN7193300
100 μL
发货至: 中国
获取报价
 
ACE 适用: 人, 大鼠 WB, ELISA, FACS, IHC (p), IF (p), IF (cc), IHC (fro) 宿主: 兔 Polyclonal unconjugated
产品编号 ABIN2173528
 
ACE 适用: 人 IHC, ELISA 宿主: 兔 Polyclonal unconjugated
产品编号 ABIN7189500
100 μg (More quantities available)
发货至: 中国
获取报价
 
ACE 适用: 小鼠 WB, IHC, IP, ICC 宿主: 兔 Polyclonal unconjugated
产品编号 ABIN7442318
100 μL (More quantities available)
发货至: 中国
获取报价
 
ACE 适用: 人 WB, IP 宿主: 兔 Monoclonal unconjugated
产品编号 ABIN7265594
100 μL (More quantities available)
发货至: 中国
获取报价
 
ACE 适用: 人 IHC, ELISA 宿主: 兔 Monoclonal 2H8 unconjugated Recombinant Antibody
产品编号 ABIN7127318
100 μL (More quantities available)
发货至: 中国
获取报价
 
ACE 适用: 人, 小鼠, 大鼠, 犬, Cow, 兔, 猴, Cat, 豚鼠 WB, IHC, IHC (p) 宿主: 小鼠 Monoclonal unconjugated
产品编号 ABIN337280
50 μg
发货至: 中国
获取报价
 
ACE 适用: 人 FACS 宿主: 小鼠 Monoclonal 5-369 unconjugated
产品编号 ABIN6559819
100 μg
发货至: 中国
获取报价
 
ACE 适用: 大鼠 IHC, ELISA 宿主: 兔 Polyclonal unconjugated
产品编号 ABIN7178777
100 μL (More quantities available)
发货至: 中国
获取报价
 
ACE 适用: 人 WB 宿主: 兔 Polyclonal Biotin
产品编号 ABIN2613911
100 μL (More quantities available)
发货至: 中国
获取报价
 
ACE 适用: 人 WB 宿主: 兔 Polyclonal FITC
产品编号 ABIN2613914
100 μL (More quantities available)
发货至: 中国
获取报价
 
  • 类型 Primary
    • Primary
  • 应用范围
    • Western Blotting (WB)
    • Immunohistochemistry (IHC)
    • Flow Cytometry (FACS)
    • ELISA
    • Immunofluorescence (Cultured Cells) (IF (cc))
    • Immunofluorescence (Paraffin-embedded Sections) (IF (p))
    • Immunocytochemistry (ICC)
    • Immunoprecipitation (IP)
    • Immunohistochemistry (Formalin-fixed Paraffin-embedded Sections) (IHC (fp))
    • Immunohistochemistry (Frozen Sections) (IHC (fro))
    • Immunohistochemistry (Paraffin-embedded Sections) (IHC (p))
    • Coating (Coat)
    • Immunofluorescence (fixed cells) (IF/ICC)
    • Immunofluorescence (IF)
    • Immunohistochemistry (Formalin-fixed Sections) (IHC (f))
    • Neutralization (Neut)
    • Enzyme Immunoassay (EIA)
    • Immunochromatography (IC)
    • Radioimmunoassay (RIA)
    • Staining Methods (StM)
  • 适用
    • Human
    • Mouse
    • Rat
    • Dog
    • Pig
    • Cow
    • Monkey
    • Rabbit
    • Cat
    • Drosophila melanogaster
    • Guinea Pig
    • Hamster
    • Horse
    • Orang-Utan
    • Sheep
  • 论文引用
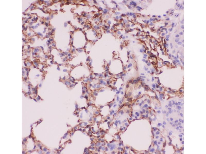
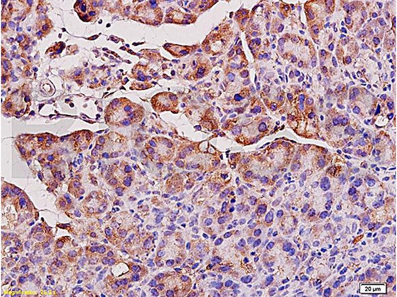
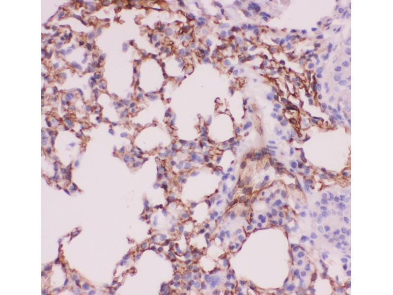
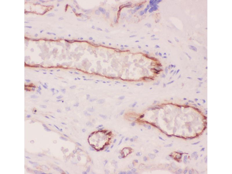
  • 图像
  • 仅无防腐剂
  • Carrier free only
  • 抗体来源
    • Rabbit
    • Mouse
    • Goat
    • Rat
    • Sheep
  • 克隆形成能力
    • Polyclonal
    • Monoclonal
  • 克隆
    • 9B9
    • 5-369
    • D3
    • 12J16
    • 24GB13595
    • 2H8
    • 2Q2318
    • 3-1-1
    • 3H7E4
    • 4B10
    • 536CT24-1-3
    • 6A4
    • 9H59
    • 9H60
    • ADCO-1
    • MM0072-12J16
    • RB16489
    • RM0069-9B21
  • 抗原表位
    • AA 31-130
    • AA 801-900
    • N-Term
    • AA 30-1261
    • AA 814-1071
    • C-Term
    • AA 1046-1263
    • AA 1274-1306
    • AA 652-788
    • AA 918-1088
    • Ectodomain
    • AA 130-144
    • AA 504-597
    • AA 592-701
    • AA 1160-1306
    • AA 149-545
    • AA 198-481
    • AA 30-182
    • AA 30-270
    • AA 334-409
    • AA 35-1264
    • AA 41-90
    • AA 44-293
    • AA 45-300
    • AA 651-864
    • AA 702-715
    • AA 891-940
    • Center
    • Extracellular
    • Extracellular Domain
    • Internal Region
    • Middle Region
    • Phe940
  • 标记
    • 非结合性
    • Biotin
    • FITC
    • PE
    • Alexa Fluor 488
    • Alexa Fluor 555
    • Alexa Fluor 594
    • Alexa Fluor 647
    • Alexa Fluor 680
    • Alexa Fluor 750
    • HRP
    • APC
    • AbBy Fluor® 350
    • AbBy Fluor® 488
    • AbBy Fluor® 555
    • AbBy Fluor® 594
    • AbBy Fluor® 647
    • AbBy Fluor® 680
    • AbBy Fluor® 750
    • Cy3
    • Cy5
    • Cy5.5
    • Cy7
    • Alexa Fluor 350
    • Alexa Fluor 405
    • CF®405S
    • CF®488A
    • CF®568
    • CF®594
    • CF®640R
    • CF®647
    • CF®740
    • PE-Cy5
    • PE-Cy5.5
    • PE-Cy7
    • PerCP
  • 抗体亚型
    • IgG
    • IgG1
    • kappa
    • Ig Fraction
    • IgG1 kappa
    • IgG2
    • IgG2a
    • IgG2b
    • IgM
  • 蛋白类型
    • Recombinant Antibody
  • Format
    • Liquid
    • Lyophilized
  • Supplier
    • antibodies-online
    • Signalway
    • Biotium
    • Abbexa
    • ProteoGenix
    • USBio
    • Boster Bio
    • Abcepta
    • Acris
    • Angio-Proteomie
    • Biomatik
    • Cloud-Clone
    • Cohesion Biosciences
    • Assay Biotechnology Company, Inc.
    • Aviva Systems Biology
    • Covalab
    • NSJ Bioreagents

Latest Publications for our Angiotensin I Converting Enzyme 1 抗体

Al Mulhim, Kehoe, Miners: "Divergence in the activity of the N- and C- catalytic domains of ACE1 - implications for the role of the renin-angiotensin system in Alzheimer's disease." in: Acta neuropathologica communications, Vol. 7, Issue 1, pp. 57, (2019) (PubMed).

Yan, Shen: "Aliskiren has chondroprotective efficacy in a rat model of osteoarthritis through suppression of the local renin-angiotensin system." in: Molecular medicine reports, Vol. 16, Issue 4, pp. 3965-3973, (2018) (PubMed).

Jiang, Li, Lu, Wang, Yu, Sui, Fu: "Ginsenoside Rg3 induces ginsenoside Rb1-comparable cardioprotective effects independent of reducing blood pressure in spontaneously hypertensive rats." in: Experimental and therapeutic medicine, Vol. 14, Issue 5, pp. 4977-4985, (2017) (PubMed).

Liu, Jiang, Zhang, Li, Li, Xie, Hu: "Pulmonary artery denervation improves pulmonary arterial hypertension induced right ventricular dysfunction by modulating the local renin-angiotensin-aldosterone system." in: BMC cardiovascular disorders, Vol. 16, Issue 1, pp. 192, (2016) (PubMed).

Riordan, Varma, West, Brown: "Automated Analysis and Classification of Histological Tissue Features by Multi-Dimensional Microscopic Molecular Profiling." in: PLoS ONE, Vol. 10, Issue 7, pp. e0128975, (2015) (PubMed).

Fagyas, Úri, Siket, Fülöp, Csató, Daragó, Boczán, Bányai, Szentkirályi, Maros, Szerafin, Édes, Papp, Tóth: "New perspectives in the renin-angiotensin-aldosterone system (RAAS) II: albumin suppresses angiotensin converting enzyme (ACE) activity in human." in: PLoS ONE, Vol. 9, Issue 4, pp. e87844, (2015) (PubMed).

Cougot, Cavalier, Thomas, Gillet: "The dual organization of P-bodies revealed by immunoelectron microscopy and electron tomography." in: Journal of molecular biology, Vol. 420, Issue 1-2, pp. 17-28, (2012) (PubMed).

Cargnello, Tcherkezian, Dorn, Huttlin, Maddox, Gygi, Roux: "Phosphorylation of the eukaryotic translation initiation factor 4E-transporter (4E-T) by c-Jun N-terminal kinase promotes stress-dependent P-body assembly." in: Molecular and cellular biology, Vol. 32, Issue 22, pp. 4572-84, (2012) (PubMed).

Sinka, Biasch, Khazaal, Péault, Tavian: "Angiotensin-converting enzyme (CD143) specifies emerging lympho-hematopoietic progenitors in the human embryo." in: Blood, Vol. 119, Issue 16, pp. 3712-23, (2012) (PubMed).

Pelosi, Castelli, Martin-Padura, Bordoni, Santoro, Conigliaro, Cerio, De Santis Puzzonia, Marighetti, Biffoni, Alonzi, Amicone, Alcalay, Bertolini, Testa, Tripodi: "Human haemato-endothelial precursors: cord blood CD34+ cells produce haemogenic endothelium." in: PLoS ONE, Vol. 7, Issue 12, pp. e51109, (2012) (PubMed).

Aliases for Angiotensin I Converting Enzyme 1 抗体

angiotensin I converting enzyme (ACE) 抗体
angiotensin I converting enzyme (peptidyl-dipeptidase A) 1 (Ace) 抗体
angiotensin I converting enzyme (Ace) 抗体
angiotensin I converting enzyme (peptidyl-dipeptidase A) 1 (ACE) 抗体
angiotensin I converting enzyme (ace) 抗体
angiotensin-converting enzyme (CpipJ_CPIJ009106) 抗体
angiotensin I converting enzyme (peptidyl-dipeptidase A) 3 (ACE3) 抗体
angiotensin-converting enzyme-like (LOC101824864) 抗体
ACE 抗体
ACE1 抗体
ace1 抗体
AW208573 抗体
CD143 抗体
cd143 抗体
DCP 抗体
dcp 抗体
DCP1 抗体
Dcp1 抗体
dcp1 抗体
ICH 抗体
MVCD3 抗体
StsRR92 抗体
xace 抗体
You are here: