Solute Carrier Family 29 (Nucleoside Transporters), Member 1 (SLC29A1) Peptide
Our Local Distributor
北京 101111
Quick Overview for Solute Carrier Family 29 (Nucleoside Transporters), Member 1 (SLC29A1) Peptide (ABIN7237040)
抗原
资源
应用范围
-
-
原理
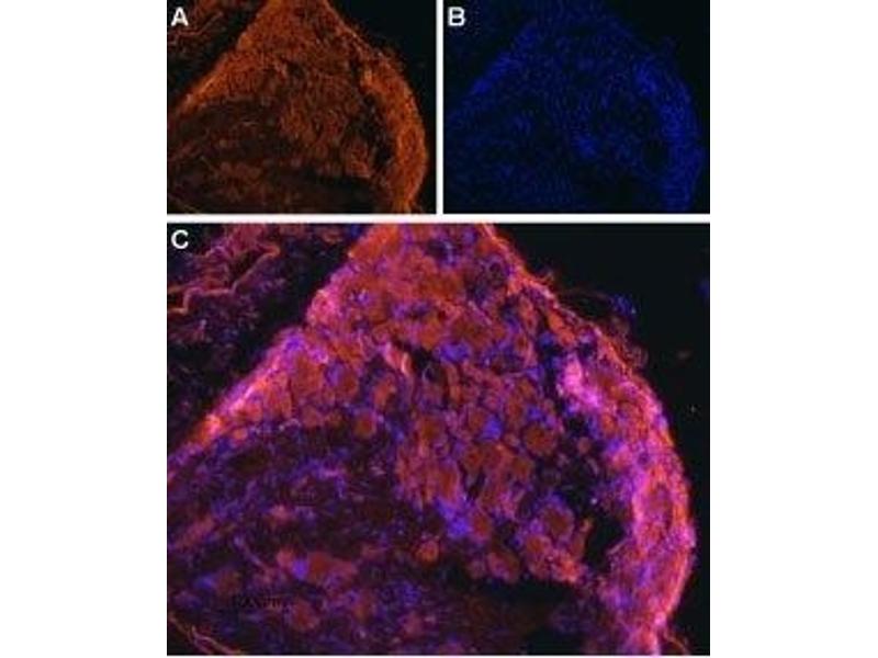
- ENT1/SLC29A1 Negative Control Antigen
-
序列
- (C)EQETKLDLIS KGEEPR, correspond ing to amino acid residues 245-260 of human ENT1 (Accession Q99808).
-
产品特性
- Synthetic peptide, A Blocking peptide for Anti-ENT1 (SLC29A1) Antibody (ABIN7043710 and ABIN7044800). Intended to be used as a negative control.
-
纯度
- >70 %
-
-
-
-
应用备注
- Antigen Preadsorption Control: 1 μg peptide per 1 μg antibody.
-
说明
-
Confirmed by amino acid analysis and mass spectrometry.
-
限制
- 仅限研究用
-
-
-
状态
- Lyophilized
-
溶解方式
- 100 μL double distilled water (DDW).
-
浓度
- 0.4 mg/mL
-
储存条件
- RT,-20 °C
-
储存方法
- Lyophilized powder can be stored intact at room temperature for two weeks. For longer periods, it should be stored at -20°C.
-
-
- SLC29A1 (Solute Carrier Family 29 (Nucleoside Transporters), Member 1 (SLC29A1))
-
基因ID
- 2030
-
NCBI登录号
- NM_001078175
-
UniProt
- Q99808
抗原
-