电话:
+86 (0512) 65829739
传真:
+86 (010) 6788 5057
电子邮件:
orders@antibodies-online.cn

Galanin Receptor 2 (GALR2) Peptide

GALR2 宿主: 合成 BP, WB, IHC
产品编号 ABIN7235477
发货至: 中国
Contact our Customer Service for availability and price in your country. Contact Info

Our Local Distributor

中国
北京 101111
No. 88 KeChuang 6th Street
Beijing Economic Technological Development Area
Room 801-803
4A Biotech Co.,Ltd.
Tel +86 (0512) 65829739 传真 +86 (010) 6788 5057

Quick Overview for Galanin Receptor 2 (GALR2) Peptide (ABIN7235477)

抗原

GALR2 (Galanin Receptor 2 (GALR2))

资源

  • 5
合成

应用范围

Blocking Peptide (BP), Western Blotting (WB), Immunohistochemistry (IHC)
  • 原理

    GALR2 Negative Control Antigen

    序列

    (C)GSGSQRAKRK VTR, correspond ing to amino acid residues 223-235 of mouse Galanin receptor type 2 (Accession O88854).

    产品特性

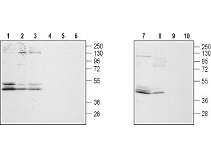
    Synthetic peptide, A Blocking peptide for Anti-GALR2 Antibody (ABIN7043181, ABIN7044398 and ABIN7044399). Intended to be used as a negative control.

    纯度

    >70 %
  • 应用备注

    Antigen Preadsorption Control: 1 μg peptide per 1 μg antibody.

    说明

    Confirmed by amino acid analysis and mass spectrometry.

    限制

    仅限研究用
  • 状态

    Lyophilized

    溶解方式

    100 μL double distilled water (DDW).

    浓度

    0.4 mg/mL

    储存条件

    RT,-20 °C

    储存方法

    Lyophilized powder can be stored intact at room temperature for two weeks. For longer periods, it should be stored at -20°C.
  • 抗原

    GALR2 (Galanin Receptor 2 (GALR2))

    基因ID

    14428
You are here: