电话:
+86 (0512) 65829739
传真:
+86 (010) 6788 5057
电子邮件:
orders@antibodies-online.cn

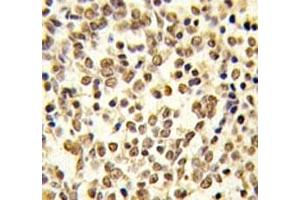
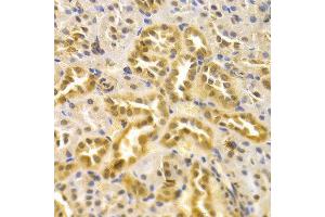
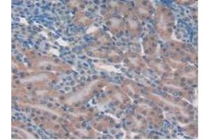
MAPK7 抗体

(Mitogen-Activated Protein Kinase 7 (MAPK7))
The protein encoded by this gene is a member of the MAP kinase family. MAP kinases act as an integration point for multiple biochemical signals, and are involved in a wide variety of cellular processes such as proliferation, differentiation, transcription regulation and development. This kinase is specifically activated by mitogen-activated protein kinase kinase 5 (MAP2K5/MEK5). It is involved in the downstream signaling processes of various receptor molecules including receptor type kinases, and G protein-coupled receptors. In response to extracelluar signals, this kinase translocates to cell nucleus, where it regulates gene expression by phosphorylating, and activating different transcription factors. Four alternatively spliced transcript variants of this gene encoding two distinct isoforms have been reported. [provided by RefSeq, Jul 2008].

142 results

MAPK7 适用: 人, 小鼠 WB, IHC (p) 宿主: 兔 Polyclonal RB0917 unconjugated
产品编号 ABIN391721
400 μL (More quantities available)
发货至: 中国
获取报价
 
MAPK7 适用: 人, 小鼠, 大鼠, 犬, 兔, Cow, 豚鼠, 马 WB, IHC 宿主: 兔 Polyclonal unconjugated
产品编号 ABIN2787362
100 μL (More quantities available)
发货至: 中国
获取报价
 
MAPK7 适用: 小鼠, 大鼠 ELISA, IHC (p) 宿主: 兔 Polyclonal unconjugated
产品编号 ABIN7091424
 
MAPK7 适用: 人 ELISA, IHC (p) 宿主: 兔 Polyclonal unconjugated
产品编号 ABIN7091423
 
MAPK7 适用: 人 WB, IF (cc), IF (p) 宿主: 兔 Polyclonal AbBy Fluor® 750
产品编号 ABIN5002123
 
MAPK7 适用: 小鼠, 大鼠 WB, IF (cc), IF (p) 宿主: 兔 Polyclonal AbBy Fluor® 750
产品编号 ABIN5002119
 
MAPK7 适用: 小鼠, 大鼠 WB, IF (cc), IF (p) 宿主: 兔 Polyclonal AbBy Fluor® 680
产品编号 ABIN5002118
 
MAPK7 适用: 人, 大鼠 IF (cc), IF (p) 宿主: 兔 Polyclonal AbBy Fluor® 750
产品编号 ABIN5002117
 
MAPK7 适用: 人, 大鼠 IF (cc), IF (p) 宿主: 兔 Polyclonal AbBy Fluor® 680
产品编号 ABIN5002116
 
MAPK7 适用: 人 WB, IF (cc), IF (p) 宿主: 兔 Polyclonal AbBy Fluor® 680
产品编号 ABIN5002122
 
MAPK7 适用: 小鼠 IF (cc), IF (p), FACS 宿主: 兔 Polyclonal AbBy Fluor® 750
产品编号 ABIN5002121
 
MAPK7 适用: 小鼠 IF (cc), IF (p), FACS 宿主: 兔 Polyclonal AbBy Fluor® 680
产品编号 ABIN5002120
 
MAPK7 适用: 小鼠 ELISA, IHC (p), IHC (fro) 宿主: 兔 Polyclonal HRP
产品编号 ABIN1409846
 
MAPK7 适用: 小鼠 IF (cc), IF (p), FACS 宿主: 兔 Polyclonal Cy7
产品编号 ABIN1409844
 
MAPK7 适用: 小鼠 IF (cc), IF (p), FACS 宿主: 兔 Polyclonal Cy5.5
产品编号 ABIN1409843
 
MAPK7 适用: 小鼠 IF (cc), IF (p), FACS 宿主: 兔 Polyclonal Cy5
产品编号 ABIN1409842
 
MAPK7 适用: 小鼠 IF (cc), IF (p), FACS 宿主: 兔 Polyclonal Cy3
产品编号 ABIN1409841
 
MAPK7 适用: 小鼠 IF (cc), IF (p), FACS 宿主: 兔 Polyclonal FITC
产品编号 ABIN1391954
 
MAPK7 适用: 小鼠 IF (cc), IF (p), FACS 宿主: 兔 Polyclonal AbBy Fluor® 647
产品编号 ABIN1391952
 
MAPK7 适用: 小鼠 ELISA, IHC (p), IHC (fro) 宿主: 兔 Polyclonal Biotin
产品编号 ABIN1391953
 
  • 类型 Primary
    • Primary
  • 应用范围
    • Western Blotting (WB)
    • Immunofluorescence (Cultured Cells) (IF (cc))
    • Immunofluorescence (Paraffin-embedded Sections) (IF (p))
    • ELISA
    • Flow Cytometry (FACS)
    • Immunohistochemistry (Paraffin-embedded Sections) (IHC (p))
    • Immunohistochemistry (IHC)
    • Immunoprecipitation (IP)
    • Immunofluorescence (IF)
    • Immunocytochemistry (ICC)
    • Immunohistochemistry (Frozen Sections) (IHC (fro))
    • Enzyme Immunoassay (EIA)
  • 适用
    • Human
    • Mouse
    • Rat
    • Dog
    • Monkey
    • Rabbit
    • Cow
    • Guinea Pig
    • Horse
    • Pig
  • 论文引用
  • 图像
  • 仅无防腐剂
  • Carrier free only
  • 抗体来源
    • Rabbit
    • Mouse
    • Sheep
    • Chicken
  • 克隆形成能力
    • Polyclonal
    • Monoclonal
  • 克隆
    • 12F2
    • 2 E2
    • 24GB290
    • 3D4
    • 8D8
    • 8H1D5
    • HCD-13
    • PT0556R
    • RB0917
    • RB0919
  • 抗原表位
    • pThr219
    • pTyr221
    • AA 21-130
    • AA 401-500
    • pSer731
    • pThr733
    • AA 776-805
    • C-Term
    • AA 451-500
    • AA 731-816
    • pThr218
    • AA 1-310
    • AA 213-224
    • AA 527-557
    • N-Term
    • pTyr220
    • AA 185-419
    • AA 22-816
    • AA 341-570
    • AA 363-816
    • AA 411-556
    • AA 475-525
    • AA 560-793
    • AA 766-816
    • Isoform 1
    • Isoform 2
    • Middle Region
    • Tyr220
    • pSer496
  • 标记
    • 非结合性
    • Biotin
    • HRP
    • FITC
    • AbBy Fluor® 350
    • AbBy Fluor® 488
    • AbBy Fluor® 555
    • AbBy Fluor® 594
    • AbBy Fluor® 647
    • AbBy Fluor® 680
    • AbBy Fluor® 750
    • Alexa Fluor 488
    • Alexa Fluor 555
    • Alexa Fluor 594
    • Alexa Fluor 647
    • Alexa Fluor 680
    • Alexa Fluor 750
    • Cy3
    • Cy5
    • Cy5.5
    • Cy7
    • PE
    • APC
    • Alexa Fluor 350
    • Alexa Fluor 405
  • 抗体亚型
    • IgG
    • Ig Fraction
    • IgG1
    • IgG2a
    • kappa
  • 蛋白类型
    • Recombinant Antibody
  • Format
    • Liquid
    • Lyophilized
  • Supplier
    • antibodies-online
    • Signalway
    • USBio
    • Boster Bio
    • Abcepta
    • Acris
    • Aviva Systems Biology
    • Cohesion Biosciences
    • FabGennix
    • NSJ Bioreagents
    • Biomatik
    • Cloud-Clone
    • Covalab
    • ProSci
    • ProteoGenix

Latest Publications for our MAPK7 抗体

Zhuang, Zhang, Xiong, Wang, Luo, Han, Meng, Zhang, Liao, Liu: "CDK5 functions as a tumor promoter in human colorectal cancer via modulating the ERK5-AP-1 axis." in: Cell death & disease, Vol. 7, Issue 10, pp. e2415, (2017) (PubMed).

Sawhney, Liu, Brattain: "A novel role of ERK5 in integrin-mediated cell adhesion and motility in cancer cells via Fak signaling." in: Journal of cellular physiology, Vol. 219, Issue 1, pp. 152-61, (2009) (PubMed).

Zhao, Geng, Ge, Wang, Zhang, Kang: "Activation of ERK5 in angiotensin II-induced hypertrophy of human aortic smooth muscle cells." in: Molecular and cellular biochemistry, Vol. 322, Issue 1-2, pp. 171-8, (2009) (PubMed).

Montero, Ocaña, Abad, Ortiz-Ruiz, Pandiella, Esparís-Ogando: "Expression of Erk5 in early stage breast cancer and association with disease free survival identifies this kinase as a potential therapeutic target." in: PLoS ONE, Vol. 4, Issue 5, pp. e5565, (2009) (PubMed).

Zen, Yasui, Nakajima, Zen, Zen, Gen, Mitsuyoshi, Minami, Mitsufuji, Tanaka, Itoh, Nakanuma, Taniwaki, Arii, Okanoue, Yoshikawa: "ERK5 is a target for gene amplification at 17p11 and promotes cell growth in hepatocellular carcinoma by regulating mitotic entry." in: Genes, chromosomes & cancer, Vol. 48, Issue 2, pp. 109-20, (2008) (PubMed).

Arnoux, Nassour, LHelgoualch, Hipskind, Savagner: "Erk5 controls Slug expression and keratinocyte activation during wound healing." in: Molecular biology of the cell, Vol. 19, Issue 11, pp. 4738-49, (2008) (PubMed).

Aliases for MAPK7 抗体

mitogen-activated protein kinase 7 (MAPK7) 抗体
mitogen-activated protein kinase 7 (Mapk7) 抗体
MAP kinase 7 (MPK7) 抗体
mitogen-activated protein kinase 7 L homeolog (mapk7.L) 抗体
ATMPK7 抗体
BMK1 抗体
Bmk1 抗体
bmk1 抗体
ERK-5 抗体
ERK4 抗体
erk4 抗体
ERK5 抗体
Erk5 抗体
Erk5-T 抗体
F8D23.5 抗体
F8D23_5 抗体
mapk7 抗体
MAP kinase 7 抗体
PRKM7 抗体
Prkm7 抗体
prkm7 抗体
You are here: