电话:
+86 (0512) 65829739
传真:
+86 (010) 6788 5057
电子邮件:
orders@antibodies-online.cn

Zombie Violet Fixable Viability Kit

BCA
产品编号 ABIN2669247
发货至: 中国
Contact our Customer Service for availability and price in your country. Contact Info

Our Local Distributor

中国
北京 101111
No. 88 KeChuang 6th Street
Beijing Economic Technological Development Area
Room 801-803
4A Biotech Co.,Ltd.
Tel +86 (0512) 65829739 传真 +86 (010) 6788 5057

Quick Overview for Zombie Violet Fixable Viability Kit (ABIN2669247)

应用范围

Biochemical Assay (BCA)
  • 标记

    Zombie Violet™

    品牌

    Zombie Violet™

    产品特性

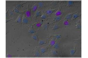
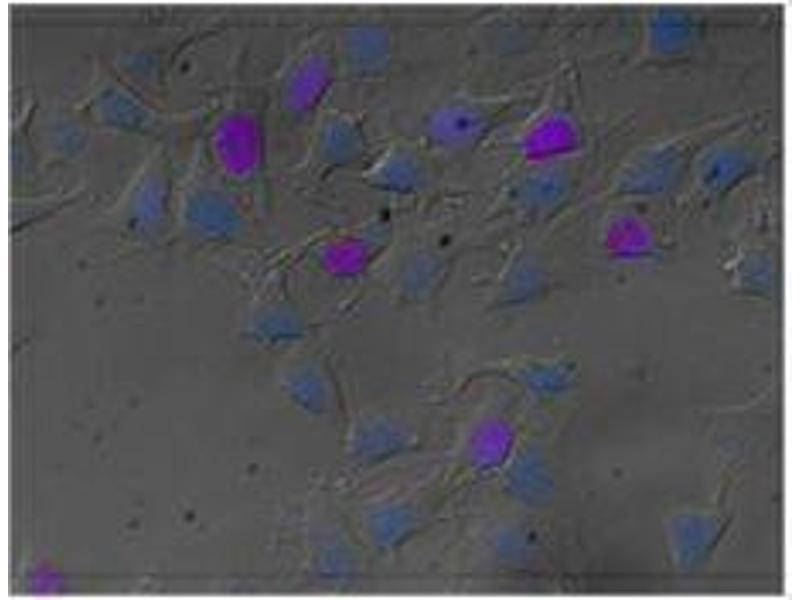
    Zombie Violet™ is an amine-reactive fluorescent dye that is non-permeant to live cells but permeant to the cells with compromised membranes. Thus, it can be used to assess live vs. dead status of mammalian cells. Zombie Violet™ is a polar, water soluble dye providing green fluorescence, making it suitable for multi-color detection.

    组件

    Zombie Violet(TM) Fixable Viability Kit
  • 应用备注

    Zombie Violet™ Fixable Viability Kit is composed of lyophilized Zombie Violet™ dye and anhydrous DMSO. For reconstitution, bring the kit to room temperature, add 100 μL of DMSO to one vial of Zombie Violet™ dye until fully dissolved. 100 tests = 1 vial of Zombie Violet™ + DMSO, 500 tests = 5 vials of Zombie Violet™ + DMSO.

    限制

    仅限研究用
  • 注意事项

    Do not open vials until needed. Once the DMSO is added to the Zombie Violet™ dye, use immediately, or store at -20 °C in a dry place and protected from light, preferably in a dessicator or in a container with desiccant for no more than one month. The unopened kit is guaranteed for six months. This product has a shelf-life of 12 months or less.

    储存条件

    -20 °C

    储存方法

    Store kit at -20°C upon receipt.

    有效期

    12 months
You are here: