电话:
+86 (0512) 65829739
传真:
+86 (010) 6788 5057
电子邮件:
orders@antibodies-online.cn

HMHA1 抗体 (AA 57-71)

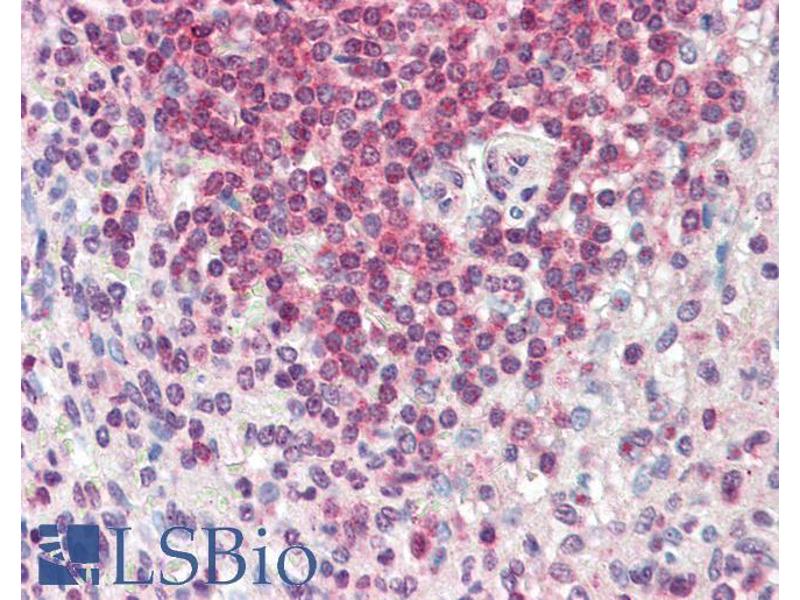
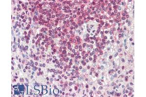
The 山羊 多克隆 anti-HMHA1 antibody (ABIN987270) specifically detects HMHA1 in ELISA 和 IHC. The antibody is reactive with 人 samples.
产品编号 ABIN987270
发货至: 中国
Contact our Customer Service for availability and price in your country. Contact Info

Our Local Distributor

中国
北京 101111
No. 88 KeChuang 6th Street
Beijing Economic Technological Development Area
Room 801-803
4A Biotech Co.,Ltd.
Tel +86 (0512) 65829739 传真 +86 (010) 6788 5057

Quick Overview for HMHA1 抗体 (AA 57-71) (ABIN987270)

抗原

See all HMHA1 抗体
HMHA1 (Histocompatibility (Minor) HA-1 (HMHA1))

适用

  • 26
  • 5
  • 2
  • 2
  • 2
  • 2
  • 1
  • 1
  • 1
  • 1
  • 1
  • 1
  • 1

宿主

  • 25
  • 2
  • 1
山羊

克隆类型

  • 26
  • 2
多克隆

标记

  • 16
  • 2
  • 1
  • 1
  • 1
  • 1
  • 1
  • 1
  • 1
  • 1
  • 1
  • 1
This HMHA1 antibody is un-conjugated

应用范围

  • 19
  • 11
  • 10
  • 8
  • 4
  • 2
  • 1
  • 1
ELISA, Immunohistochemistry (IHC)

质量等级

Verified
  • 抗原表位

    • 7
    • 1
    • 1
    • 1
    • 1
    • 1
    • 1
    • 1
    • 1
    • 1
    AA 57-71

    原理

    HMHA1 (aa57-71)

    序列

    KATGTLKRPT SLSRH

    特异性

    To avoid confusion please note that this antibody is designed to recognise the whole protein as coded by NP_036424.2 and won't recognise the peptide found eluted from HLA-A*0201 Molecules by den Haan et al (Science. 1998 Feb 13,279(5353):1054-7, PMID: 946

    交叉反应

    Cow, 人, 小鼠, 大鼠

    纯化方法

    Purified from goat serum by ammonium sulphate precipitation followed by antigen affinity chromatography using the immunizing peptide.

    免疫原

    Peptide with sequence KATGTLKRPTSLSRH-C, from the N Terminus of the protein sequence according to NP_036424.2.

    亚型

    IgG
  • 应用备注

    Immunohistochemistry: Paraffin embedded Human Spleen. Recommended concentration: 5 μg/mL.

    Western Blot: Preliminary experiments gave an approx 200 kDa band in lysates of cell lines Jurkat and Molt4 after 0.05 μg/mL antibody staining. Please note that currently we cannot find an explanation in the literature for the band we observe given the cal

    Peptide ELISA: antibody detection limit dilution 1:128000.

    限制

    仅限研究用
  • 状态

    Liquid

    浓度

    0.5 mg/mL

    缓冲液

    Supplied at 0.5 mg/mL in Tris saline, 0.02 % sodium azide, pH 7.3 with 0.5 % bovine serum albumin.

    储存液

    Sodium azide

    注意事项

    This product contains Sodium azide: a POISONOUS AND HAZARDOUS SUBSTANCE which should be handled by trained staff only.

    注意事项

    Minimize freezing and thawing.

    储存条件

    -20 °C

    储存方法

    Aliquot and store at -20°C, with minimal freeze/thawing. A working aliquot may be refrigerated at 4°C for a few weeks and still remain viable.
  • 抗原

    HMHA1 (Histocompatibility (Minor) HA-1 (HMHA1))

    别名

    HMHA1

    背景

    HMHA1, histocompatibility (minor) HA-1, HA-1, HLA-HA1, KIAA0223, minor histocompatibility antigen HA-1, minor histocompatibility protein HA-1

    基因ID

    23526, 70719, 314618

    NCBI登录号

    NP_036424
You are here: