电话:
+86 (0512) 65829739
传真:
+86 (010) 6788 5057
电子邮件:
orders@antibodies-online.cn

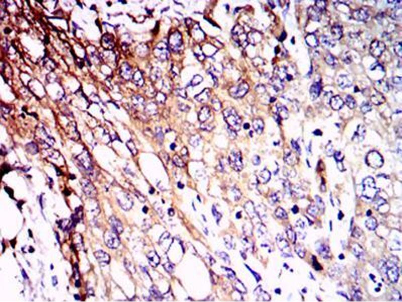
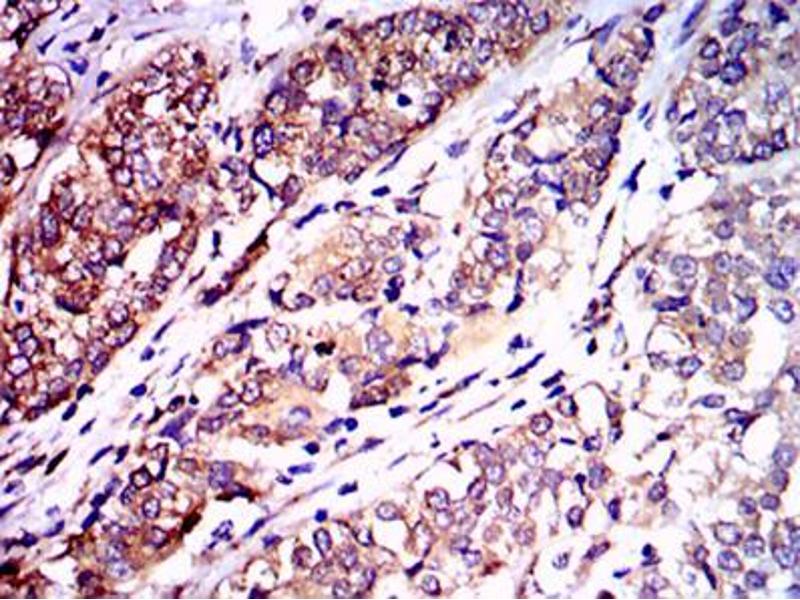
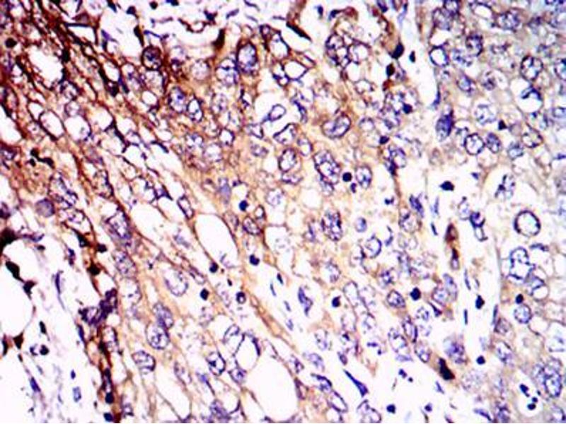
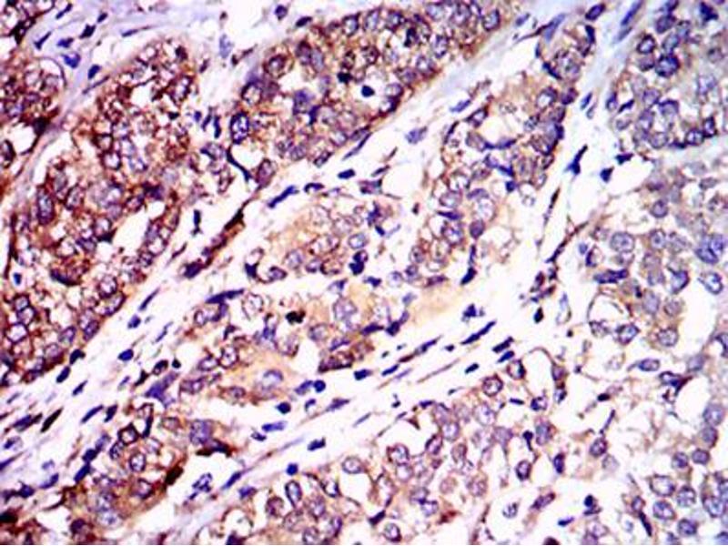
NEFL 抗体

There are 2+ publications for this product available. The 小鼠 单克隆 anti-NEFL antibody is suitable to detect NEFL in samples from 人. It has been validated for WB, IHC, ELISA, ICC 和 FACS.
产品编号 ABIN969548
发货至: 中国
Contact our Customer Service for availability and price in your country. Contact Info

Our Local Distributor

中国
北京 101111
No. 88 KeChuang 6th Street
Beijing Economic Technological Development Area
Room 801-803
4A Biotech Co.,Ltd.
Tel +86 (0512) 65829739 传真 +86 (010) 6788 5057

Quick Overview for NEFL 抗体 (ABIN969548)

抗原

See all NEFL 抗体
NEFL (Neurofilament, Light Polypeptide (NEFL))

适用

  • 97
  • 56
  • 55
  • 24
  • 23
  • 18
  • 4
  • 2
  • 2
  • 1
  • 1
  • 1

宿主

  • 86
  • 37
  • 9
  • 1
  • 1
  • 1
小鼠

克隆类型

  • 72
  • 63
单克隆

标记

  • 85
  • 12
  • 3
  • 2
  • 2
  • 2
  • 2
  • 2
  • 2
  • 2
  • 1
  • 1
  • 1
  • 1
  • 1
  • 1
  • 1
  • 1
  • 1
  • 1
  • 1
  • 1
  • 1
  • 1
  • 1
  • 1
  • 1
  • 1
  • 1
  • 1
  • 1
This NEFL antibody is un-conjugated

应用范围

  • 78
  • 62
  • 33
  • 31
  • 27
  • 25
  • 19
  • 18
  • 14
  • 13
  • 11
  • 8
  • 3
  • 3
  • 2
  • 2
  • 1
  • 1
Western Blotting (WB), Immunohistochemistry (IHC), ELISA, Immunocytochemistry (ICC), Flow Cytometry (FACS)

克隆位点

1H3
  • 原理

    NEFL Antibody

    纯化方法

    Ascitic fluid

    免疫原

    Purified recombinant fragment of human NEFL expressed in E. Coli.

    亚型

    IgG1
  • 应用备注

    ELISA: 1/10000

    FCM: 1/200 - 1/400

    ICC: 1/200 - 1/1000

    限制

    仅限研究用
  • 状态

    Liquid

    缓冲液

    Ascitic fluid containing 0.03 % sodium azide.

    储存液

    Sodium azide

    注意事项

    This product contains Sodium azide: a POISONOUS AND HAZARDOUS SUBSTANCE which should be handled by trained staff only.

    储存条件

    4 °C,-20 °C

    储存方法

    Store at 4°C short term. Aliquot and store at -20°C long term. Avoid freeze/thaw cycles.
  • Lee, Kim, Chung, Kim, Kwon, Min, Chang: "The effect of rod domain A148V mutation of neurofilament light chain on filament formation." in: BMB reports, Vol. 41, Issue 12, pp. 868-74, (2009) (PubMed).

    Abe, Numakura, Saito, Koide, Oka, Honma, Kishikawa, Hayasaka: "Neurofilament light chain polypeptide gene mutations in Charcot-Marie-Tooth disease: nonsense mutation probably causes a recessive phenotype." in: Journal of human genetics, Vol. 54, Issue 2, pp. 94-7, (2009) (PubMed).

  • 抗原

    NEFL (Neurofilament, Light Polypeptide (NEFL))

    别名

    NEFL

    背景

    Neurofilaments are type IV intermediate filament heteropolymers composed of light, medium, and heavy chains. Neurofilaments comprise the axoskeleton and they functionally maintain the neuronal caliber. They may also play a role in intracellular transport to axons and dendrites. This gene encodes the light chain neurofilament protein. Mutations in this gene cause Charcot-Marie-Tooth disease types 1F (CMT1F) and 2E (CMT2E), disorders of the peripheral nervous system that are characterized by distinct neuropathies. A pseudogene has been identified on chromosome Y.

    分子量

    62 kDa

    基因ID

    4747

    UniProt

    P07196
You are here: