电话:
+86 (0512) 65829739
传真:
+86 (010) 6788 5057
电子邮件:
orders@antibodies-online.cn

Lp(a) 抗体 (AA 1823-2013)

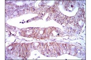
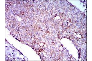
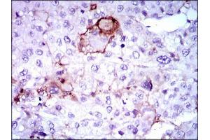
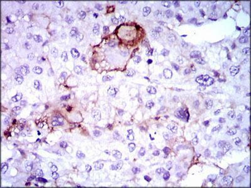
There are 2+ publications for this product available. The 小鼠 单克隆 anti-Lp(a) antibody is suitable to detect Lp(a) in samples from 人. It has been validated for ELISA, IHC 和 ICC.
产品编号 ABIN969533
发货至: 中国
Contact our Customer Service for availability and price in your country. Contact Info

Our Local Distributor

中国
北京 101111
No. 88 KeChuang 6th Street
Beijing Economic Technological Development Area
Room 801-803
4A Biotech Co.,Ltd.
Tel +86 (0512) 65829739 传真 +86 (010) 6788 5057

Quick Overview for Lp(a) 抗体 (AA 1823-2013) (ABIN969533)

抗原

Lp(a) (Lipoprotein (Lp(a)))

适用

  • 28
  • 1

宿主

  • 15
  • 10
  • 3
小鼠

克隆类型

  • 17
  • 11
单克隆

标记

  • 12
  • 3
  • 2
  • 2
  • 1
  • 1
  • 1
  • 1
  • 1
  • 1
  • 1
  • 1
  • 1
This Lp(a) antibody is un-conjugated

应用范围

  • 9
  • 8
  • 7
  • 4
  • 4
  • 4
  • 1
  • 1
  • 1
  • 1
  • 1
ELISA, Immunohistochemistry (IHC), Immunocytochemistry (ICC)

克隆位点

4H1
  • 抗原表位

    • 5
    • 1
    • 1
    • 1
    • 1
    • 1
    • 1
    AA 1823-2013

    原理

    LPA Antibody

    纯化方法

    Purified antibody

    免疫原

    Purified recombinant fragment of human LPA (AA: 1823-2013) expressed in E. Coli.

    亚型

    IgG1
  • 应用备注

    ELISA: 1/10000

    ICC: 1/200 - 1/1000

    限制

    仅限研究用
  • 状态

    Liquid

    缓冲液

    Purified antibody in PBS with 0.05 % sodium azide.

    储存液

    Sodium azide

    注意事项

    This product contains Sodium azide: a POISONOUS AND HAZARDOUS SUBSTANCE which should be handled by trained staff only.

    储存条件

    4 °C,-20 °C

    储存方法

    Store at 4°C short term. Aliquot and store at -20°C long term. Avoid freeze/thaw cycles.
  • Nicholls, Tang, Scoffone, Brennan, Hartiala, Allayee, Hazen: "Lipoprotein(a) levels and long-term cardiovascular risk in the contemporary era of statin therapy." in: Journal of lipid research, Vol. 51, Issue 10, pp. 3055-61, (2010) (PubMed).

    Rodger, Le Gal, Carrier, Betancourt, Kahn, Wells, Anderson, Lacut, Chagnon, Solymoss, Crowther, Perrier, White, Vickars, Ramsay, Kovacs: "Serum lipoprotein (a) levels in patients with first unprovoked venous thromboembolism is not associated with subsequent risk of recurrent VTE." in: Thrombosis research, Vol. 126, Issue 3, pp. 222-6, (2010) (PubMed).

  • 抗原

    Lp(a) (Lipoprotein (Lp(a)))

    别名

    LPA

    背景

    The protein encoded by this gene is a serine proteinase that inhibits the activity of tissue-type plasminogen activator I. The encoded protein constitutes a substantial portion of lipoprotein(a) and is proteolytically cleaved, resulting in fragments that attach to atherosclerotic lesions and promote thrombogenesis. Elevated plasma levels of this protein are linked to atherosclerosis. Depending on the individual, the encoded protein contains 2-43 copies of kringle-type domains. The allele represented here contains 15 copies of the kringle-type repeats and corresponds to that found in the reference genome sequence.

    分子量

    501 kDa

    UniProt

    P08519
You are here: