电话:
+86 (0512) 65829739
传真:
+86 (010) 6788 5057
电子邮件:
orders@antibodies-online.cn

RAB25 抗体

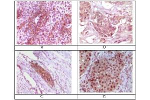
Cited in 1 publication. The 小鼠 单克隆 anti-RAB25 antibody (Clone 3F12F3) (ABIN969489) specifically detects RAB25 in ELISA 和 IHC. The antibody is reactive with 人 samples.
产品编号 ABIN969489
发货至: 中国
Contact our Customer Service for availability and price in your country. Contact Info

Our Local Distributor

中国
北京 101111
No. 88 KeChuang 6th Street
Beijing Economic Technological Development Area
Room 801-803
4A Biotech Co.,Ltd.
Tel +86 (0512) 65829739 传真 +86 (010) 6788 5057

Quick Overview for RAB25 抗体 (ABIN969489)

抗原

See all RAB25 抗体
RAB25 (RAB25, Member RAS Oncogene Family (RAB25))

适用

  • 54
  • 23
  • 7
  • 3
  • 3
  • 3
  • 3
  • 2
  • 2
  • 1
  • 1
  • 1
  • 1
  • 1
  • 1
  • 1
  • 1
  • 1

宿主

  • 49
  • 5
  • 3
小鼠

克隆类型

  • 49
  • 9
单克隆

标记

  • 27
  • 4
  • 4
  • 3
  • 2
  • 1
  • 1
  • 1
  • 1
  • 1
  • 1
  • 1
  • 1
  • 1
  • 1
  • 1
  • 1
  • 1
  • 1
  • 1
  • 1
  • 1
  • 1
This RAB25 antibody is un-conjugated

应用范围

  • 45
  • 24
  • 13
  • 13
  • 8
  • 6
  • 5
  • 4
  • 2
  • 2
  • 1
  • 1
ELISA, Immunohistochemistry (IHC)

克隆位点

3F12F3
  • 原理

    Rab25 Antibody

    纯化方法

    Ascitic fluid

    免疫原

    Purified recombinant fragment of Rab25 expressed in E. Coli.

    亚型

    IgG2a
  • 应用备注

    ELISA: 1/10000

    限制

    仅限研究用
  • 状态

    Liquid

    缓冲液

    Ascitic fluid containing 0.03 % sodium azide.

    储存液

    Sodium azide

    注意事项

    This product contains Sodium azide: a POISONOUS AND HAZARDOUS SUBSTANCE which should be handled by trained staff only.

    储存条件

    4 °C,-20 °C

    储存方法

    Store at 4°C short term. Aliquot and store at -20°C long term. Avoid freeze/thaw cycles.
  • Wang, Kumar, Navarre, Casanova, Goldenring: "Regulation of vesicle trafficking in madin-darby canine kidney cells by Rab11a and Rab25." in: The Journal of biological chemistry, Vol. 275, Issue 37, pp. 29138-46, (2000) (PubMed).

  • 抗原

    RAB25 (RAB25, Member RAS Oncogene Family (RAB25))

    别名

    Rab25

    背景

    Members of the Ras-related superfamily of GTP binding proteins, which includes Ras, Rho, Rab and ARF subfamilies, exhibit 30-50 % similarity with Ras p21. Rab proteins play an important role for either in endocytosis or in biosynthetic protein transport. The possibility that Rab proteins might also direct the exocytosis from secretory vesicles to the plasma membrane is supported by the observation that in yeast, the SEC4 protein, which is 40 % similar to Rab proteins, is associated with secretory vesicles.
    Rab proteins located on the cytoplasmic face of organelles and vesicles, rab proteins are involved in intracellular membrane fusion reactions. Rab25 was cloned from a gastric parietal cell cDNA library and is expressed in epithelial tissues such as the gastrointestinal mucosae, kidney, and lung, which encoded a protein of 28 kDa

    基因ID

    57111

    UniProt

    P57735
You are here: