电话:
+86 (0512) 65829739
传真:
+86 (010) 6788 5057
电子邮件:
orders@antibodies-online.cn

SRA1 抗体

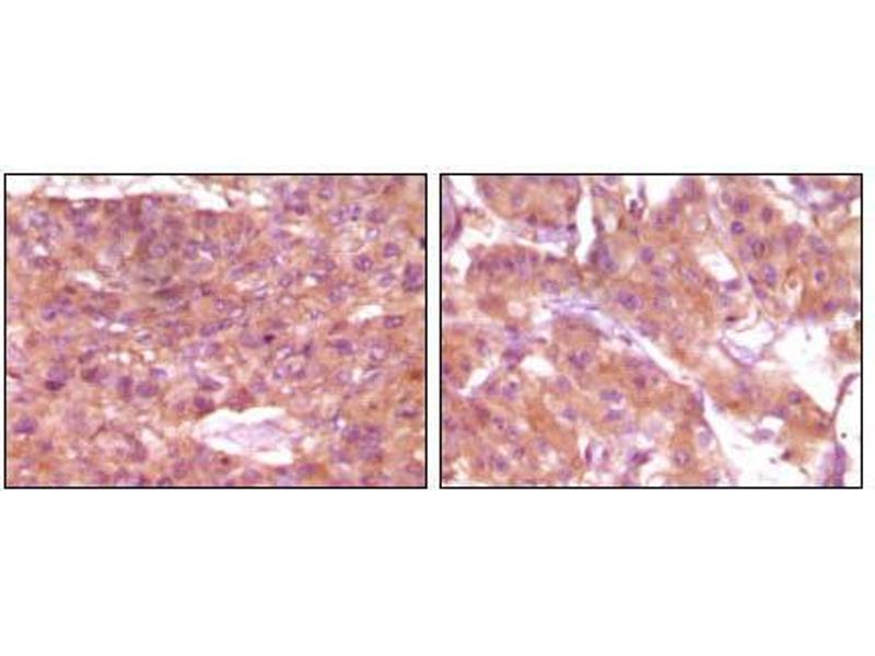
There are 3+ publications for this product available. The 小鼠 单克隆 anti-SRA1 antibody is suitable to detect SRA1 in samples from 人. It has been validated for ELISA 和 IHC.
产品编号 ABIN969416
发货至: 中国
Contact our Customer Service for availability and price in your country. Contact Info

Our Local Distributor

中国
北京 101111
No. 88 KeChuang 6th Street
Beijing Economic Technological Development Area
Room 801-803
4A Biotech Co.,Ltd.
Tel +86 (0512) 65829739 传真 +86 (010) 6788 5057

Quick Overview for SRA1 抗体 (ABIN969416)

抗原

See all SRA1 抗体
SRA1 (Steroid Receptor RNA Activator 1 (SRA1))

适用

  • 24
  • 5
  • 4
  • 2
  • 2
  • 2
  • 2
  • 2
  • 1

宿主

  • 20
  • 3
小鼠

克隆类型

  • 20
  • 4
单克隆

标记

  • 19
  • 1
  • 1
  • 1
  • 1
  • 1
This SRA1 antibody is un-conjugated

应用范围

  • 22
  • 15
  • 5
  • 3
  • 2
  • 2
  • 1
  • 1
ELISA, Immunohistochemistry (IHC)

克隆位点

1D4H8
  • 原理

    SRA Antibody

    纯化方法

    Ascitic fluid

    免疫原

    Purified recombinant fragment of SRA expressed in E. Coli.

    亚型

    IgG1
  • 应用备注

    ELISA: 1/10000

    限制

    仅限研究用
  • 状态

    Liquid

    缓冲液

    Ascitic fluid containing 0.03 % sodium azide.

    储存液

    Sodium azide

    注意事项

    This product contains Sodium azide: a POISONOUS AND HAZARDOUS SUBSTANCE which should be handled by trained staff only.

    储存条件

    4 °C,-20 °C

    储存方法

    Store at 4°C short term. Aliquot and store at -20°C long term. Avoid freeze/thaw cycles.
  • Chooniedass-Kothari, Hamedani, Troup, Hubé, Leygue: "The steroid receptor RNA activator protein is expressed in breast tumor tissues." in: International journal of cancer. Journal international du cancer, Vol. 118, Issue 4, pp. 1054-9, (2006) (PubMed).

    Chooniedass-Kothari, Emberley, Hamedani, Troup, Wang, Czosnek, Hube, Mutawe, Watson, Leygue: "The steroid receptor RNA activator is the first functional RNA encoding a protein." in: FEBS letters, Vol. 566, Issue 1-3, pp. 43-7, (2004) (PubMed).

    Lanz, Chua, Barron, Söder, DeMayo, OMalley: "Steroid receptor RNA activator stimulates proliferation as well as apoptosis in vivo." in: Molecular and cellular biology, Vol. 23, Issue 20, pp. 7163-76, (2003) (PubMed).

  • 抗原

    SRA1 (Steroid Receptor RNA Activator 1 (SRA1))

    别名

    SRA

    背景

    Steroid receptor RNA activator 1 (SRA), with 237-amino acid protein (about 27 kDa), belongs to the growing family of functional non-coding RNAs. SRA was originally described as the first functional noncoding RNA able to specifically coactivate the activity of steroid receptors. Specifically, SRA exists as both an RNA transcript that forms a complex with steroid receptor coactivator-1 and as a stably expressed protein. Its expression is strongly up-regulated in many human tumors of the breast, uterus, and ovary, suggesting a potential role in pathogenesis. Although coactivation of steroid-dependent transcription by SRA is accompanied by a proliferative response, overexpression is not in itself sufficient to induce turmorigenesis.

    UniProt

    Q9HD15

    途径

    EGFR Signaling Pathway, Stem Cell Maintenance, Regulation of Muscle Cell Differentiation, Tube Formation, Skeletal Muscle Fiber Development
You are here: