电话:
+86 (0512) 65829739
传真:
+86 (010) 6788 5057
电子邮件:
orders@antibodies-online.cn

SMAD5 抗体

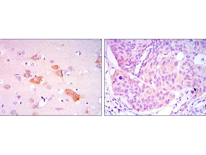
There are 2+ publications for this product available. The 小鼠 单克隆 anti-SMAD5 antibody is suitable to detect SMAD5 in samples from 人 和 大鼠. It has been validated for WB, ELISA, IHC, ICC 和 FACS.
产品编号 ABIN969404
发货至: 中国
Contact our Customer Service for availability and price in your country. Contact Info

Our Local Distributor

中国
北京 101111
No. 88 KeChuang 6th Street
Beijing Economic Technological Development Area
Room 801-803
4A Biotech Co.,Ltd.
Tel +86 (0512) 65829739 传真 +86 (010) 6788 5057

Quick Overview for SMAD5 抗体 (ABIN969404)

抗原

See all SMAD5 抗体
SMAD5 (SMAD, Mothers Against DPP Homolog 5 (SMAD5))

适用

  • 142
  • 94
  • 78
  • 4
  • 4
  • 3
  • 3
  • 3
  • 3
  • 3
  • 3
  • 1
  • 1
  • 1
人, 大鼠

宿主

  • 129
  • 14
小鼠

克隆类型

  • 79
  • 64
单克隆

标记

  • 49
  • 9
  • 7
  • 5
  • 5
  • 5
  • 5
  • 5
  • 5
  • 5
  • 4
  • 4
  • 3
  • 3
  • 3
  • 3
  • 3
  • 3
  • 3
  • 3
  • 3
  • 2
  • 2
  • 2
  • 2
This SMAD5 antibody is un-conjugated

应用范围

  • 130
  • 46
  • 43
  • 40
  • 38
  • 30
  • 26
  • 15
  • 13
  • 7
  • 4
  • 2
  • 1
Western Blotting (WB), ELISA, Immunohistochemistry (IHC), Immunocytochemistry (ICC), Flow Cytometry (FACS)

克隆位点

3H9
  • 原理

    SMAD5 Antibody

    纯化方法

    Ascitic fluid

    免疫原

    Purified recombinant fragment of human SMAD5 expressed in E. Coli.

    亚型

    IgG1
  • 应用备注

    ELISA: 1/10000

    FCM: 1/200 - 1/400

    ICC: 1/200 - 1/1000

    限制

    仅限研究用
  • 状态

    Liquid

    缓冲液

    Ascitic fluid containing 0.03 % sodium azide.

    储存液

    Sodium azide

    注意事项

    This product contains Sodium azide: a POISONOUS AND HAZARDOUS SUBSTANCE which should be handled by trained staff only.

    储存条件

    4 °C,-20 °C

    储存方法

    Store at 4°C short term. Aliquot and store at -20°C long term. Avoid freeze/thaw cycles.
  • Chang, Chang, Lee, Lee, Yeh, Yeh, Cheng, Chien, Chiu: "Tumor cell cycle arrest induced by shear stress: Roles of integrins and Smad." in: Proceedings of the National Academy of Sciences of the United States of America, Vol. 105, Issue 10, pp. 3927-32, (2008) (PubMed).

    Monzen, Ito, Naito, Kasai, Hiroi, Hayashi, Shiojima, Yamazaki, Miyazono, Asashima, Nagai, Komuro: "A crucial role of a high mobility group protein HMGA2 in cardiogenesis." in: Nature cell biology, Vol. 10, Issue 5, pp. 567-74, (2008) (PubMed).

  • 抗原

    SMAD5 (SMAD, Mothers Against DPP Homolog 5 (SMAD5))

    别名

    SMAD5

    背景

    Transcriptional modulator activated by BMP (bone morphogenetic proteins) type 1 receptor kinase. SMAD5 is a receptor-regulated SMAD (R-SMAD). SMAD5 is required for normal development of the cardiovascular system in vivo, lack of the SMAD5 gene results in apoptosis of cardiac myocytes. 3 Upregulation of SMAD5 has been reported to mediate apoptosis of gastric epithelial cells induced by Helicobacter pylori infection. Tissue specificity: Ubiquitous.

    分子量

    52 kDa

    UniProt

    Q99717
You are here: