电话:
+86 (0512) 65829739
传真:
+86 (010) 6788 5057
电子邮件:
orders@antibodies-online.cn

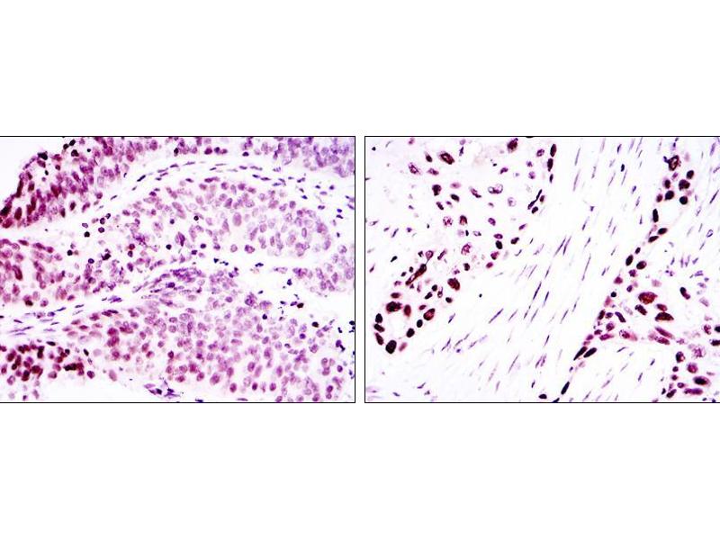
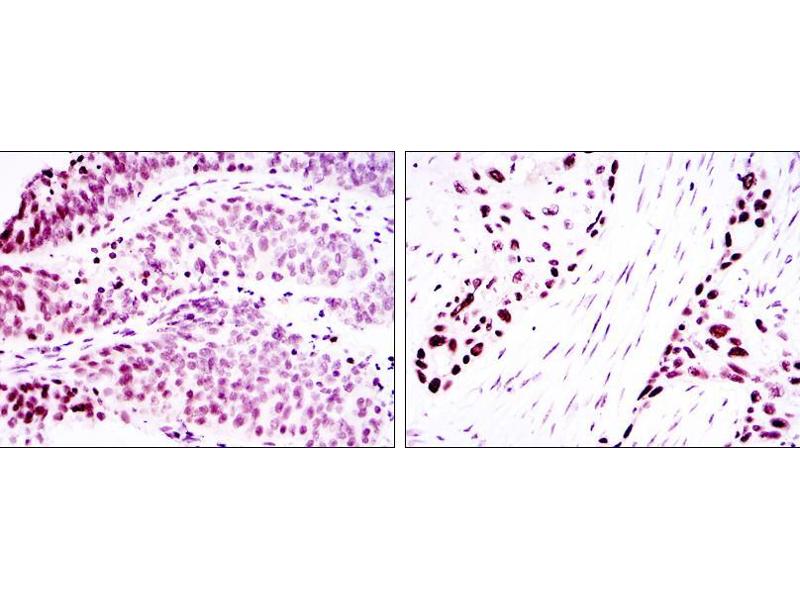
p63alpha 抗体

This 小鼠 单克隆 antibody specifically detects p63alpha in WB, IHC 和 ELISA. It exhibits reactivity toward 人, 猴, 小鼠 和 大鼠. It has been mentioned in 2+ publications
产品编号 ABIN969337
发货至: 中国
Contact our Customer Service for availability and price in your country. Contact Info

Our Local Distributor

中国
北京 101111
No. 88 KeChuang 6th Street
Beijing Economic Technological Development Area
Room 801-803
4A Biotech Co.,Ltd.
Tel +86 (0512) 65829739 传真 +86 (010) 6788 5057

Quick Overview for p63alpha 抗体 (ABIN969337)

抗原

p63alpha

适用

人, 猴, 小鼠, 大鼠

宿主

  • 1
小鼠

克隆类型

  • 1
单克隆

标记

  • 1
非结合性

应用范围

Western Blotting (WB), Immunohistochemistry (IHC), ELISA

克隆位点

4E5
  • 原理

    p63a Antibody

    纯化方法

    Ascitic fluid

    免疫原

    Synthesized peptide of human p63alpha.

    亚型

    IgG1
  • 应用备注

    ELISA: 1/10000

    限制

    仅限研究用
  • 状态

    Liquid

    缓冲液

    Ascitic fluid containing 0.03 % sodium azide.

    储存液

    Sodium azide

    注意事项

    This product contains Sodium azide: a POISONOUS AND HAZARDOUS SUBSTANCE which should be handled by trained staff only.

    储存条件

    4 °C,-20 °C

    储存方法

    Store at 4°C short term. Aliquot and store at -20°C long term. Avoid freeze/thaw cycles.
  • King, Ponnamperuma, Allen, Lu, Duggal, Chen, Van Waes, Weinberg: "The p53 homologue DeltaNp63alpha interacts with the nuclear factor-kappaB pathway to modulate epithelial cell growth." in: Cancer research, Vol. 68, Issue 13, pp. 5122-31, (2008) (PubMed).

    Valenzise, Arrigo, De Luca, Privitera, Frigiola, Carando, Garelli, Silengo: "R298Q mutation of p63 gene in autosomal dominant ectodermal dysplasia associated with arrhythmogenic right ventricular cardiomyopathy." in: European journal of medical genetics, Vol. 51, Issue 5, pp. 497-500, (2008) (PubMed).

  • 抗原

    p63alpha

    别名

    p63a

    背景

    The p63 gene is a homologue of the p53 tumor suppressor gene. Like p53, p63 contains a transactivation (TA) domain induce the transcription of target genes, a DNA binding domain, and an oligomerization domain (OD), used to form tetramers. In contrast to p53, the p63 gene encodes for at least six major isotypes. Three isotypes (TAp63a, TAp63

    分子量

    51 kDa

    基因ID

    8626

    UniProt

    Q9H3D4
You are here: