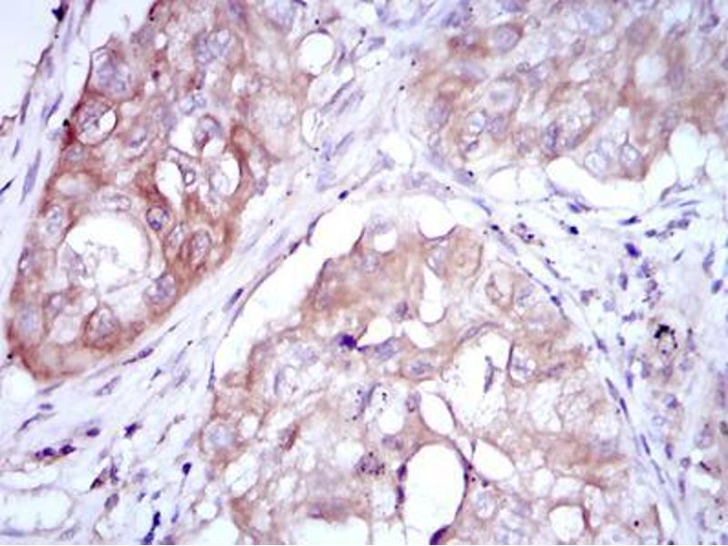
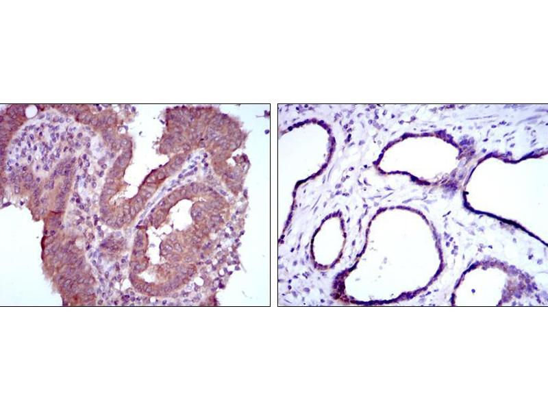
MTHFR 抗体
Our Local Distributor
北京 101111
Quick Overview for MTHFR 抗体 (ABIN969297)
抗原
See all MTHFR 抗体适用
宿主
克隆类型
标记
应用范围
克隆位点
-
-
原理
- MTHFR Antibody
-
纯化方法
- Ascitic fluid
-
免疫原
- Purified recombinant fragment of human MTHFR expressed in E. Coli.
-
亚型
- IgG1
-
-
-
-
应用备注
- ELISA: 1/10000
-
限制
- 仅限研究用
-
-
-
状态
- Liquid
-
缓冲液
- Ascitic fluid containing 0.03 % sodium azide.
-
储存液
- Sodium azide
-
注意事项
- This product contains Sodium azide: a POISONOUS AND HAZARDOUS SUBSTANCE which should be handled by trained staff only.
-
储存条件
- 4 °C,-20 °C
-
储存方法
- Store at 4°C short term. Aliquot and store at -20°C long term. Avoid freeze/thaw cycles.
-
-
-
: "Carrier-state of two or three polymorphic variants of MTHFR, IL-6 and ICAM1 genes increases the risk of coronary artery disease." in: Kardiologia polska, Vol. 66, Issue 12, pp. 1269-77, (2009) (PubMed).
: "Prevalence of the polymorphism MTHFR A1298C and not MTHFR C677T is related to chromosomal aneuploidy in Brazilian Turner Syndrome patients." in: Arquivos brasileiros de endocrinologia e metabologia, Vol. 52, Issue 8, pp. 1374-81, (2009) (PubMed).
-
-
- MTHFR (Methylenetetrahydrofolate Reductase (NAD(P)H) (MTHFR))
-
别名
- MTHFR
-
背景
- The protein encoded by this gene catalyzes the conversion of 5,10-methylenetetrahydrofolate to 5-methyltetrahydrofolate, a co-substrate for homocysteine remethylation to methionine. Genetic variation in this gene influences susceptibility to occlusive vascular disease, neural tube defects, colon cancer and acute leukemia, and mutations in this gene are associated with methylenetetrahydrofolate reductase deficiency.
-
分子量
- 75 kDa
-
基因ID
- 4524
-
UniProt
- P42898
-
途径
- Methionine Biosynthetic Process
抗原
-