电话:
+86 (0512) 65829739
传真:
+86 (010) 6788 5057
电子邮件:
orders@antibodies-online.cn

KLHL11 抗体

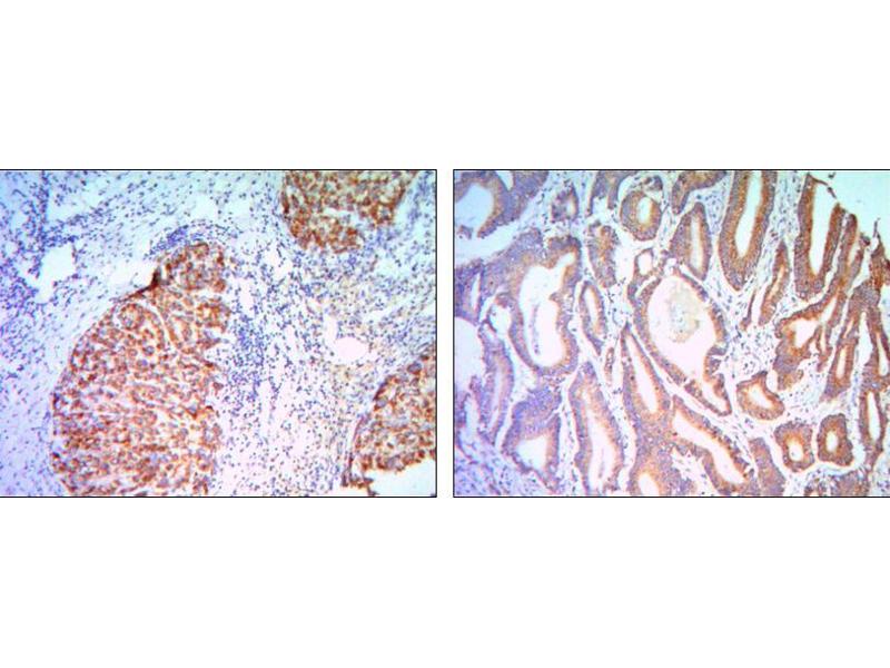
The 小鼠 单克隆 anti-KLHL11 antibody (Clone 1B9C1) (ABIN969243) specifically detects KLHL11 in ELISA, IHC 和 ICC. The antibody is reactive with 人 samples.
产品编号 ABIN969243
发货至: 中国
Contact our Customer Service for availability and price in your country. Contact Info

Our Local Distributor

中国
北京 101111
No. 88 KeChuang 6th Street
Beijing Economic Technological Development Area
Room 801-803
4A Biotech Co.,Ltd.
Tel +86 (0512) 65829739 传真 +86 (010) 6788 5057

Quick Overview for KLHL11 抗体 (ABIN969243)

抗原

KLHL11 (Kelch-Like 11 (KLHL11))

适用

宿主

  • 10
  • 1
小鼠

克隆类型

  • 9
  • 2
单克隆

标记

  • 4
  • 1
  • 1
  • 1
  • 1
  • 1
  • 1
  • 1
This KLHL11 antibody is un-conjugated

应用范围

  • 4
  • 2
  • 2
  • 1
  • 1
ELISA, Immunohistochemistry (IHC), Immunocytochemistry (ICC)

克隆位点

1B9C1
  • 原理

    KLHL11 Antibody

    纯化方法

    Ascitic fluid

    免疫原

    Purified recombinant fragment of human KLHL11 expressed in E. Coli.

    亚型

    IgG1
  • 应用备注

    ELISA: 1/10000

    ICC: 1/200 - 1/1000

    限制

    仅限研究用
  • 状态

    Liquid

    缓冲液

    Ascitic fluid containing 0.03 % sodium azide.

    储存液

    Sodium azide

    注意事项

    This product contains Sodium azide: a POISONOUS AND HAZARDOUS SUBSTANCE which should be handled by trained staff only.

    储存条件

    4 °C,-20 °C

    储存方法

    Store at 4°C short term. Aliquot and store at -20°C long term. Avoid freeze/thaw cycles.
  • 抗原

    KLHL11 (Kelch-Like 11 (KLHL11))

    别名

    KLHL11

    背景

    Kelch-like protein 11, Subcellular location Secreted.

    分子量

    80 kDa

    基因ID

    55175

    UniProt

    Q9NVR0
You are here: