Ki-67 抗体
Our Local Distributor
北京 101111
Quick Overview for Ki-67 抗体 (ABIN969232)
抗原
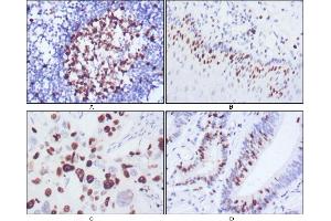
See all Ki-67 (MKI67) 抗体适用
宿主
克隆类型
标记
应用范围
克隆位点
-
-
原理
- KI67 Antibody
-
序列
- CEDLAGFKEL FQTPG
-
纯化方法
- Ascitic fluid
-
免疫原
- Synthetic peptide corresponding to aa (CEDLAGFKELFQTPG) of human KI67, conjugated to KLH.
-
亚型
- IgG2b
-
-
-
-
应用备注
- ELISA: 1/10000
-
限制
- 仅限研究用
-
-
-
状态
- Liquid
-
缓冲液
- Ascitic fluid containing 0.03 % sodium azide.
-
储存液
- Sodium azide
-
注意事项
- This product contains Sodium azide: a POISONOUS AND HAZARDOUS SUBSTANCE which should be handled by trained staff only.
-
储存条件
- 4 °C,-20 °C
-
储存方法
- Store at 4°C short term. Aliquot and store at -20°C long term. Avoid freeze/thaw cycles.
-
-
-
: "Histopathological parameters with Ki-67 and bcl-2 in the prognosis of meningiomas according to WHO 2000 classification." in: Tumori, Vol. 94, Issue 3, pp. 389-97, (2008) (PubMed).
: "Intracellular expression of the proliferative marker Ki-67 and viral proteins (NS3, NS5A and C) in chronic, long lasting hepatitis C virus (HCV) infection." in: Folia histochemica et cytobiologica / Polish Academy of Sciences, Polish Histochemical and Cytochemical Society, Vol. 45, Issue 4, pp. 357-66, (2007) (PubMed).
-
-
- Ki-67 (MKI67) (Antigen Identified By Monoclonal Antibody Ki-67 (MKI67))
-
别名
- KI67
-
背景
- Ki67, also known as MKI67, it is the prototypic cell cycle related nuclear protein, expressed by proliferating cells in all phases of the active cell cycle (G1, S, G2 and M phase). It is absent in resting (G0) cells. Ki67 antibodies are useful in establishing the cell growing fraction in neoplasms (immunohistochemically quantified by determining the number of Ki67 positive cells among the total number of resting cells = Ki67 index). In neoplastic tissues the prognostic value is comparable to the tritiated thymidine labelling index. The correlation between low Ki67 index and histologically low grade tumours is strong. Ki67 is routinely used as a neuronal marker of cell cycling and proliferation.
-
分子量
- 358 kDa
-
基因ID
- 4288
-
UniProt
- P46013
-
途径
- Glycosaminoglycan Metabolic Process
抗原
-