电话:
+86 (0512) 65829739
传真:
+86 (010) 6788 5057
电子邮件:
orders@antibodies-online.cn

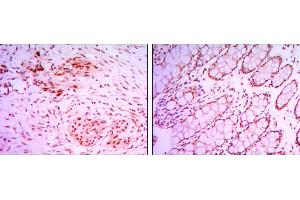
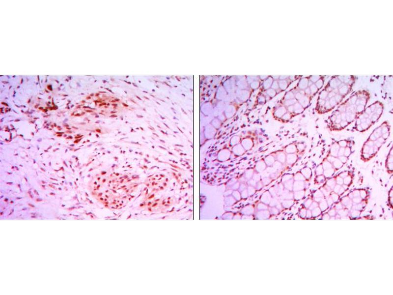
KDM4A 抗体

There are 4+ publications for this product available. The 小鼠 单克隆 anti-KDM4A antibody is suitable to detect KDM4A in samples from 人. It has been validated for IHC, ELISA 和 ICC.
产品编号 ABIN969230
发货至: 中国
Contact our Customer Service for availability and price in your country. Contact Info

Our Local Distributor

中国
北京 101111
No. 88 KeChuang 6th Street
Beijing Economic Technological Development Area
Room 801-803
4A Biotech Co.,Ltd.
Tel +86 (0512) 65829739 传真 +86 (010) 6788 5057

Quick Overview for KDM4A 抗体 (ABIN969230)

抗原

See all KDM4A 抗体
KDM4A (Lysine (K)-Specific Demethylase 4A (KDM4A))

适用

  • 69
  • 27
  • 15
  • 1
  • 1
  • 1
  • 1
  • 1
  • 1
  • 1

宿主

  • 56
  • 14
  • 2
小鼠

克隆类型

  • 43
  • 29
单克隆

标记

  • 44
  • 3
  • 3
  • 2
  • 2
  • 2
  • 2
  • 2
  • 2
  • 2
  • 1
  • 1
  • 1
  • 1
  • 1
  • 1
  • 1
  • 1
This KDM4A antibody is un-conjugated

应用范围

  • 41
  • 21
  • 19
  • 18
  • 12
  • 7
  • 7
  • 7
  • 3
  • 2
  • 2
  • 1
  • 1
  • 1
  • 1
  • 1
Immunohistochemistry (IHC), ELISA, Immunocytochemistry (ICC)

克隆位点

5H1
  • 原理

    KDM4A Antibody

    纯化方法

    Ascitic fluid

    免疫原

    Purified recombinant fragment of human KDM4A expressed in E. Coli.

    亚型

    IgG1
  • 应用备注

    ELISA: 1/10000

    ICC: 1/200 - 1/1000

    限制

    仅限研究用
  • 状态

    Liquid

    缓冲液

    Ascitic fluid containing 0.03 % sodium azide.

    储存液

    Sodium azide

    注意事项

    This product contains Sodium azide: a POISONOUS AND HAZARDOUS SUBSTANCE which should be handled by trained staff only.

    储存条件

    4 °C,-20 °C

    储存方法

    Store at 4°C short term. Aliquot and store at -20°C long term. Avoid freeze/thaw cycles.
  • Hosseinzadeh Shirzeily, Pasbakhsh, Amidi, Mehrannia, Sobhani: "Comparison of differentiation potential of male mouse adipose tissue and bone marrow derived-mesenchymal stem cells into germ cells." in: Iranian journal of reproductive medicine, Vol. 11, Issue 12, pp. 965-76, (2014) (PubMed).

    Chen, Zang, Whetstine, Hong, Davrazou, Kutateladze, Simpson, Mao, Pan, Dai, Hagman, Hansen, Shi, Zhang: "Structural insights into histone demethylation by JMJD2 family members." in: Cell, Vol. 125, Issue 4, pp. 691-702, (2006) (PubMed).

    Tao, Wollscheid, OBrien, Eng, Li, Bodenmiller, Watts, Hood, Aebersold: "Quantitative phosphoproteome analysis using a dendrimer conjugation chemistry and tandem mass spectrometry." in: Nature methods, Vol. 2, Issue 8, pp. 591-8, (2005) (PubMed).

    Suzuki, Yamashita, Shirota, Sakakibara, Chiba, Mizushima-Sugano, Nakai, Sugano: "Sequence comparison of human and mouse genes reveals a homologous block structure in the promoter regions." in: Genome research, Vol. 14, Issue 9, pp. 1711-8, (2004) (PubMed).

  • 抗原

    KDM4A (Lysine (K)-Specific Demethylase 4A (KDM4A))

    别名

    KDM4A

    背景

    This gene is a member of the Jumonji domain 2 (JMJD2) family and encodes a protein containing a JmjN domain, a JmjC domain, a JD2H domain, two TUDOR domains, and two PHD-type zinc fingers. This nuclear protein functions as a trimethylation-specific demethylase, converting specific trimethylated histone residues to the dimethylated form, and as a transcriptional repressor.

    分子量

    120 kDa

    基因ID

    9682

    UniProt

    O75164

    途径

    Warburg Effect
You are here: