电话:
+86 (0512) 65829739
传真:
+86 (010) 6788 5057
电子邮件:
orders@antibodies-online.cn

KDM3A 抗体

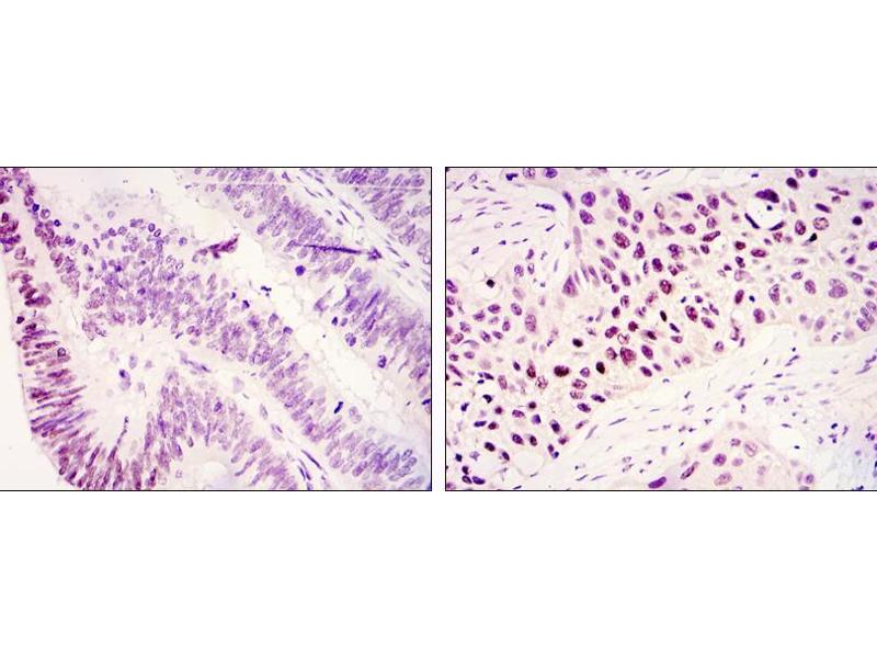
Cited in 2+ publications. The 小鼠 单克隆 anti-KDM3A antibody (Clone 10E11) (ABIN969228) specifically detects KDM3A in WB, ELISA 和 IHC. The antibody is reactive with 人 samples.
产品编号 ABIN969228
发货至: 中国
Contact our Customer Service for availability and price in your country. Contact Info

Our Local Distributor

中国
北京 101111
No. 88 KeChuang 6th Street
Beijing Economic Technological Development Area
Room 801-803
4A Biotech Co.,Ltd.
Tel +86 (0512) 65829739 传真 +86 (010) 6788 5057

Quick Overview for KDM3A 抗体 (ABIN969228)

抗原

See all KDM3A 抗体
KDM3A (Lysine (K)-Specific Demethylase 3A (KDM3A))

适用

  • 38
  • 10
  • 7
  • 5
  • 4
  • 3
  • 2
  • 2
  • 2
  • 1
  • 1
  • 1

宿主

  • 25
  • 13
小鼠

克隆类型

  • 25
  • 13
单克隆

标记

  • 28
  • 1
  • 1
  • 1
  • 1
  • 1
  • 1
  • 1
  • 1
  • 1
  • 1
This KDM3A antibody is un-conjugated

应用范围

  • 27
  • 16
  • 15
  • 6
  • 6
  • 6
  • 3
  • 2
  • 2
  • 1
Western Blotting (WB), ELISA, Immunohistochemistry (IHC)

克隆位点

10E11
  • 原理

    KDM3A Antibody

    纯化方法

    Ascitic fluid

    免疫原

    Purified recombinant fragment of human KDM3A expressed in E. Coli.

    亚型

    IgG1
  • 应用备注

    ELISA: 1/10000

    限制

    仅限研究用
  • 状态

    Liquid

    缓冲液

    Ascitic fluid containing 0.03 % sodium azide.

    储存液

    Sodium azide

    注意事项

    This product contains Sodium azide: a POISONOUS AND HAZARDOUS SUBSTANCE which should be handled by trained staff only.

    储存条件

    4 °C,-20 °C

    储存方法

    Store at 4°C short term. Aliquot and store at -20°C long term. Avoid freeze/thaw cycles.
  • Hillier, Graves, Fulton, Fulton, Pepin, Minx, Wagner-McPherson, Layman, Wylie, Sekhon, Becker, Fewell, Delehaunty, Miner, Nash, Kremitzki, Oddy, Du, Sun, Bradshaw-Cordum, Ali, Carter, Cordes, Harris et al.: "Generation and annotation of the DNA sequences of human chromosomes 2 and 4. ..." in: Nature, Vol. 434, Issue 7034, pp. 724-31, (2005) (PubMed).

    Nagase, Ishikawa, Suyama, Kikuno, Miyajima, Tanaka, Kotani, Nomura, Ohara: "Prediction of the coding sequences of unidentified human genes. XI. The complete sequences of 100 new cDNA clones from brain which code for large proteins in vitro." in: DNA research : an international journal for rapid publication of reports on genes and genomes, Vol. 5, Issue 5, pp. 277-86, (1999) (PubMed).

  • 抗原

    KDM3A (Lysine (K)-Specific Demethylase 3A (KDM3A))

    别名

    KDM3A

    背景

    This gene encodes a zinc finger protein that contains a jumonji domain and may play a role in hormone-dependent transcriptional activation. JMJD1A functions as a mono- and dimethylation-specific demethylase, binding iron and -ketoglutarate as cofactors and demethylating Lysine 9 of Histone H3. This suggests that JMJD1A plays a central role in the histone code and participates in nuclear hormone receptor-based transcriptional regulation. In addition, JMJD1A plays an important role in the regulation of cell growth during development and in chromatin regulation. JMJD1A directly regulates the expression of TNP1 and Protamine 1 (proteins required for the proper packaging and condensation of sperm chromatin) and, therefore, plays an essential role in spermatogenesis.

    分子量

    147 kDa

    基因ID

    55818

    UniProt

    Q9Y4C1

    途径

    Intracellular Steroid Hormone Receptor Signaling Pathway, Nuclear Hormone Receptor Binding, Warburg Effect
You are here: