电话:
+86 (0512) 65829739
传真:
+86 (010) 6788 5057
电子邮件:
orders@antibodies-online.cn

Glucose-6-Phosphate Dehydrogenase 抗体

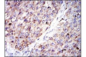
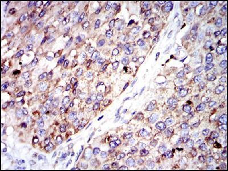
Cited in 2+ publications. The 小鼠 单克隆 anti-Glucose-6-Phosphate Dehydrogenase antibody (Clone 2H7) (ABIN969162) specifically detects Glucose-6-Phosphate Dehydrogenase in WB, IHC, ELISA 和 FACS. The antibody is reactive with 人 samples.
产品编号 ABIN969162
发货至: 中国
Contact our Customer Service for availability and price in your country. Contact Info

Our Local Distributor

中国
北京 101111
No. 88 KeChuang 6th Street
Beijing Economic Technological Development Area
Room 801-803
4A Biotech Co.,Ltd.
Tel +86 (0512) 65829739 传真 +86 (010) 6788 5057

Quick Overview for Glucose-6-Phosphate Dehydrogenase 抗体 (ABIN969162)

抗原

See all Glucose-6-Phosphate Dehydrogenase (G6PD) 抗体
Glucose-6-Phosphate Dehydrogenase (G6PD)

适用

  • 111
  • 55
  • 32
  • 9
  • 7
  • 6
  • 4
  • 4
  • 3
  • 3
  • 2
  • 2
  • 2
  • 2
  • 2
  • 1

宿主

  • 139
  • 14
  • 12
小鼠

克隆类型

  • 123
  • 42
单克隆

标记

  • 78
  • 24
  • 9
  • 6
  • 4
  • 4
  • 4
  • 4
  • 4
  • 4
  • 3
  • 3
  • 2
  • 2
  • 2
  • 1
  • 1
  • 1
  • 1
  • 1
  • 1
  • 1
  • 1
  • 1
  • 1
  • 1
  • 1
This Glucose-6-Phosphate Dehydrogenase antibody is un-conjugated

应用范围

  • 123
  • 67
  • 52
  • 40
  • 27
  • 23
  • 16
  • 14
  • 14
  • 14
  • 9
  • 8
  • 8
  • 7
  • 5
  • 4
  • 3
Western Blotting (WB), Immunohistochemistry (IHC), ELISA, Flow Cytometry (FACS)

克隆位点

2H7
  • 原理

    G6PD Antibody

    纯化方法

    Ascitic fluid

    免疫原

    Purified recombinant fragment of human G6PD expressed in E. Coli.

    亚型

    IgG1
  • 应用备注

    ELISA: 1/10000

    FCM: 1/200 - 1/400

    限制

    仅限研究用
  • 状态

    Liquid

    缓冲液

    Ascitic fluid containing 0.03 % sodium azide.

    储存液

    Sodium azide

    注意事项

    This product contains Sodium azide: a POISONOUS AND HAZARDOUS SUBSTANCE which should be handled by trained staff only.

    储存条件

    4 °C,-20 °C

    储存方法

    Store at 4°C short term. Aliquot and store at -20°C long term. Avoid freeze/thaw cycles.
  • Louicharoen, Patin, Paul, Nuchprayoon, Witoonpanich, Peerapittayamongkol, Casademont, Sura, Laird, Singhasivanon, Quintana-Murci, Sakuntabhai: "Positively selected G6PD-Mahidol mutation reduces Plasmodium vivax density in Southeast Asians." in: Science (New York, N.Y.), Vol. 326, Issue 5959, pp. 1546-9, (2009) (PubMed).

    Brajovich, Rucci, Acosta, Cotorruelo, García Borrás, Racca, Biondi, Racca: "Effects of aging on antioxidant response and phagocytosis in senescent erythrocytes." in: Immunological investigations, Vol. 38, Issue 6, pp. 551-9, (2009) (PubMed).

  • 抗原

    Glucose-6-Phosphate Dehydrogenase (G6PD)

    别名

    G6PD

    背景

    This gene encodes glucose-6-phosphate dehydrogenase. This protein is a cytosolic enzyme encoded by a housekeeping X-linked gene whose main function is to produce NADPH, a key electron donor in the defense against oxidizing agents and in reductive biosynthetic reactions. G6PD is remarkable for its genetic diversity. Many variants of G6PD, mostly produced from missense mutations, have been described with wide ranging levels of enzyme activity and associated clinical symptoms. G6PD deficiency may cause neonatal jaundice, acute hemolysis, or severe chronic non-spherocytic hemolytic anemia. Two transcript variants encoding different isoforms have been found for this gene.

    分子量

    59 kDa

    基因ID

    2539

    UniProt

    P11413

    途径

    Regulation of Systemic Arterial Blood Pressure by Hormones
You are here: