电话:
+86 (0512) 65829739
传真:
+86 (010) 6788 5057
电子邮件:
orders@antibodies-online.cn

FGG 抗体

This 小鼠 单克隆 antibody specifically detects FGG in IHC, ICC, ELISA 和 FACS. It exhibits reactivity toward 人. It has been mentioned in 2+ publications
产品编号 ABIN969142
发货至: 中国
Contact our Customer Service for availability and price in your country. Contact Info

Our Local Distributor

中国
北京 101111
No. 88 KeChuang 6th Street
Beijing Economic Technological Development Area
Room 801-803
4A Biotech Co.,Ltd.
Tel +86 (0512) 65829739 传真 +86 (010) 6788 5057

Quick Overview for FGG 抗体 (ABIN969142)

抗原

See all FGG 抗体
FGG (Fibrinogen gamma Chain (FGG))

适用

  • 94
  • 39
  • 38
  • 9
  • 7
  • 4
  • 4
  • 4
  • 4
  • 3
  • 2
  • 2
  • 1
  • 1

宿主

  • 93
  • 20
  • 1
  • 1
小鼠

克隆类型

  • 78
  • 37
单克隆

标记

  • 55
  • 15
  • 10
  • 3
  • 3
  • 3
  • 3
  • 3
  • 3
  • 2
  • 1
  • 1
  • 1
  • 1
  • 1
  • 1
  • 1
  • 1
  • 1
  • 1
  • 1
  • 1
  • 1
  • 1
  • 1
This FGG antibody is un-conjugated

应用范围

  • 95
  • 32
  • 20
  • 19
  • 19
  • 17
  • 16
  • 13
  • 13
  • 11
  • 7
  • 4
  • 2
  • 2
  • 2
  • 1
  • 1
  • 1
  • 1
  • 1
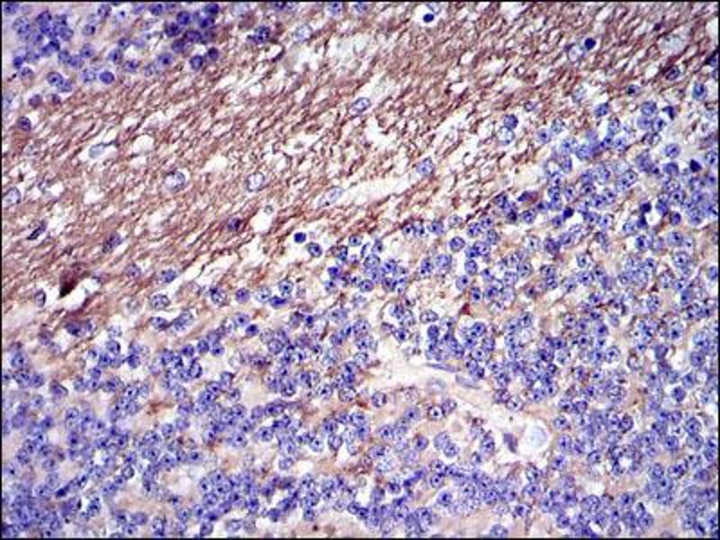
Immunohistochemistry (IHC), Immunocytochemistry (ICC), ELISA, Flow Cytometry (FACS)

克隆位点

4H9
  • 原理

    FGG Antibody

    纯化方法

    Ascitic fluid

    免疫原

    Purified recombinant fragment of human FGG expressed in E. Coli.

    亚型

    IgG2a
  • 应用备注

    ELISA: 1/10000

    FCM: 1/200 - 1/400

    ICC: 1/200 - 1/1000

    限制

    仅限研究用
  • 状态

    Liquid

    缓冲液

    Ascitic fluid containing 0.03 % sodium azide.

    储存液

    Sodium azide

    注意事项

    This product contains Sodium azide: a POISONOUS AND HAZARDOUS SUBSTANCE which should be handled by trained staff only.

    储存条件

    4 °C,-20 °C

    储存方法

    Store at 4°C short term. Aliquot and store at -20°C long term. Avoid freeze/thaw cycles.
  • Uitte de Willige, Standeven, Philippou, Ariëns: "The pleiotropic role of the fibrinogen gamma' chain in hemostasis." in: Blood, Vol. 114, Issue 19, pp. 3994-4001, (2009) (PubMed).

    Bowley, Okumura, Lord: "Impaired protofibril formation in fibrinogen gamma N308K is due to altered D:D and "A:a" interactions." in: Biochemistry, Vol. 48, Issue 36, pp. 8656-63, (2009) (PubMed).

  • 抗原

    FGG (Fibrinogen gamma Chain (FGG))

    别名

    FGG

    背景

    The protein encoded by this gene is the gamma component of fibrinogen, a blood-borne glycoprotein comprised of three pairs of nonidentical polypeptide chains. Following vascular injury, fibrinogen is cleaved by thrombin to form fibrin which is the most abundant component of blood clots. In addition, various cleavage products of fibrinogen and fibrin regulate cell adhesion and spreading, display vasoconstrictor and chemotactic activities, and are mitogens for several cell types. Mutations in this gene lead to several disorders, including dysfibrinogenemia, hypofibrinogenemia and thrombophilia. Alternative splicing results in two transcript variants encoding different isoforms.

    分子量

    52 kDa

    基因ID

    2266

    UniProt

    P02679
You are here: