电话:
+86 (0512) 65829739
传真:
+86 (010) 6788 5057
电子邮件:
orders@antibodies-online.cn

EEF2 抗体

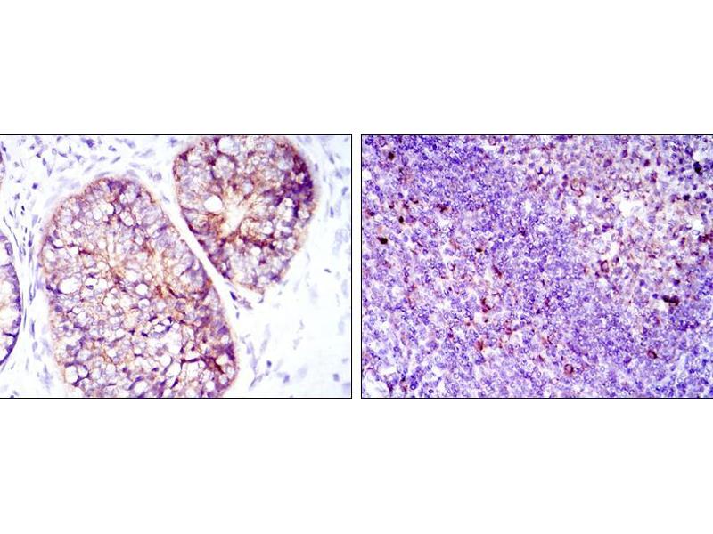
Cited in 2+ publications. The 小鼠 单克隆 anti-EEF2 antibody (Clone 5B6) (ABIN969090) specifically detects EEF2 in WB, IHC, ELISA 和 ICC. The antibody is reactive with 人 samples.
产品编号 ABIN969090
发货至: 中国
Contact our Customer Service for availability and price in your country. Contact Info

Our Local Distributor

中国
北京 101111
No. 88 KeChuang 6th Street
Beijing Economic Technological Development Area
Room 801-803
4A Biotech Co.,Ltd.
Tel +86 (0512) 65829739 传真 +86 (010) 6788 5057

Quick Overview for EEF2 抗体 (ABIN969090)

抗原

See all EEF2 抗体
EEF2 (Eukaryotic Translation Elongation Factor 2 (EEF2))

适用

  • 96
  • 59
  • 41
  • 6
  • 6
  • 5
  • 5
  • 3
  • 2
  • 2
  • 2
  • 2
  • 2
  • 2
  • 1
  • 1

宿主

  • 103
  • 9
小鼠

克隆类型

  • 90
  • 22
单克隆

标记

  • 52
  • 7
  • 5
  • 3
  • 3
  • 3
  • 3
  • 3
  • 3
  • 3
  • 2
  • 2
  • 2
  • 2
  • 2
  • 2
  • 2
  • 2
  • 2
  • 2
  • 2
  • 1
  • 1
  • 1
  • 1
  • 1
This EEF2 antibody is un-conjugated

应用范围

  • 86
  • 42
  • 33
  • 32
  • 29
  • 27
  • 22
  • 13
  • 10
  • 7
  • 4
  • 2
  • 2
  • 1
  • 1
  • 1
  • 1
Western Blotting (WB), Immunohistochemistry (IHC), ELISA, Immunocytochemistry (ICC)

克隆位点

5B6
  • 原理

    EEF2 Antibody

    纯化方法

    Ascitic fluid

    免疫原

    Purified recombinant fragment of human EEF2 expressed in E. Coli.

    亚型

    IgG1
  • 应用备注

    ELISA: 1/10000

    ICC: 1/200 - 1/1000

    限制

    仅限研究用
  • 状态

    Liquid

    缓冲液

    Ascitic fluid containing 0.03 % sodium azide.

    储存液

    Sodium azide

    注意事项

    This product contains Sodium azide: a POISONOUS AND HAZARDOUS SUBSTANCE which should be handled by trained staff only.

    储存条件

    4 °C,-20 °C

    储存方法

    Store at 4°C short term. Aliquot and store at -20°C long term. Avoid freeze/thaw cycles.
  • Rose, Bisiani, Vistisen, Kiens, Richter: "Skeletal muscle eEF2 and 4EBP1 phosphorylation during endurance exercise is dependent on intensity and muscle fiber type." in: American journal of physiology. Regulatory, integrative and comparative physiology, Vol. 296, Issue 2, pp. R326-33, (2009) (PubMed).

    Maggi, Kuchenruether, Dadey, Schwope, Grisendi, Townsend, Pandolfi, Weber: "Nucleophosmin serves as a rate-limiting nuclear export chaperone for the Mammalian ribosome." in: Molecular and cellular biology, Vol. 28, Issue 23, pp. 7050-65, (2008) (PubMed).

  • 抗原

    EEF2 (Eukaryotic Translation Elongation Factor 2 (EEF2))

    别名

    EEF2

    背景

    This gene encodes a member of the GTP-binding translation elongation factor family. This protein is an essential factor for protein synthesis. It promotes the GTP-dependent translocation of the nascent protein chain from the A-site to the P-site of the ribosome. This protein is completely inactivated by EF-2 kinase phosporylation. (provided by RefSeq)

    分子量

    95 kDa

    基因ID

    1938

    UniProt

    P13639

    途径

    AMPK Signaling
You are here: