电话:
+86 (0512) 65829739
传真:
+86 (010) 6788 5057
电子邮件:
orders@antibodies-online.cn

N-Cadherin 抗体

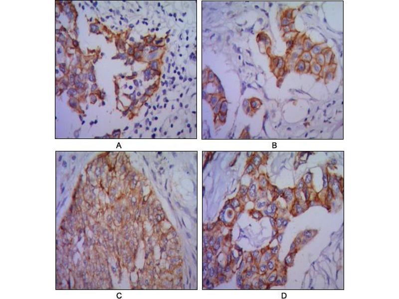
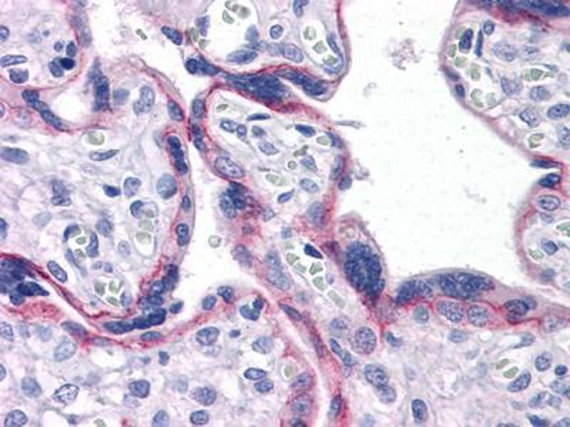
There are 2+ publications for this product available. The 小鼠 单克隆 anti-N-Cadherin antibody is suitable to detect N-Cadherin in samples from 人, 小鼠 和 大鼠. It has been validated for WB, IHC, FACS, ELISA 和 ICC.
产品编号 ABIN969038
发货至: 中国
Contact our Customer Service for availability and price in your country. Contact Info

Our Local Distributor

中国
北京 101111
No. 88 KeChuang 6th Street
Beijing Economic Technological Development Area
Room 801-803
4A Biotech Co.,Ltd.
Tel +86 (0512) 65829739 传真 +86 (010) 6788 5057

Quick Overview for N-Cadherin 抗体 (ABIN969038)

抗原

See all N-Cadherin (CDH2) 抗体
N-Cadherin (CDH2) (Cadherin 2 (CDH2))

适用

  • 178
  • 114
  • 79
  • 21
  • 18
  • 14
  • 9
  • 4
  • 3
  • 3
  • 3
  • 3
  • 2
  • 2
  • 2
  • 2
  • 2
  • 1
  • 1
  • 1
人, 小鼠, 大鼠

宿主

  • 116
  • 74
  • 4
  • 2
  • 2
  • 1
小鼠

克隆类型

  • 102
  • 96
  • 1
单克隆

标记

  • 91
  • 19
  • 8
  • 5
  • 5
  • 5
  • 5
  • 5
  • 5
  • 5
  • 4
  • 4
  • 4
  • 3
  • 3
  • 2
  • 2
  • 2
  • 2
  • 2
  • 2
  • 2
  • 1
  • 1
  • 1
  • 1
  • 1
  • 1
  • 1
  • 1
  • 1
  • 1
  • 1
  • 1
  • 1
  • 1
This N-Cadherin antibody is un-conjugated

应用范围

  • 129
  • 73
  • 46
  • 43
  • 31
  • 28
  • 16
  • 16
  • 14
  • 13
  • 9
  • 9
  • 4
  • 3
  • 2
  • 2
  • 1
Western Blotting (WB), Immunohistochemistry (IHC), Flow Cytometry (FACS), ELISA, Immunocytochemistry (ICC)

克隆位点

5D5
  • 原理

    CDH2 Antibody

    纯化方法

    Ascitic fluid

    免疫原

    Purified recombinant fragment of human CDH2 expressed in E. Coli.

    亚型

    IgG1
  • 应用备注

    ELISA: 1/10000

    FCM: 1/200 - 1/400

    ICC: 1/200 - 1/1000

    限制

    仅限研究用
  • 状态

    Liquid

    缓冲液

    Ascitic fluid containing 0.03 % sodium azide.

    储存液

    Sodium azide

    注意事项

    This product contains Sodium azide: a POISONOUS AND HAZARDOUS SUBSTANCE which should be handled by trained staff only.

    储存条件

    4 °C,-20 °C

    储存方法

    Store at 4°C short term. Aliquot and store at -20°C long term. Avoid freeze/thaw cycles.
  • Wallerand, Cai, Wainberg, Garraway, Lascombe, Nicolle, Thiery, Bittard, Radvanyi, Reiter: "Phospho-Akt pathway activation and inhibition depends on N-cadherin or phospho-EGFR expression in invasive human bladder cancer cell lines." in: Urologic oncology, Vol. 28, Issue 2, pp. 180-8, (2010) (PubMed).

    Sharma, Henderson: "IQ-domain GTPase-activating protein 1 regulates beta-catenin at membrane ruffles and its role in macropinocytosis of N-cadherin and adenomatous polyposis coli." in: The Journal of biological chemistry, Vol. 282, Issue 11, pp. 8545-56, (2007) (PubMed).

  • 抗原

    N-Cadherin (CDH2) (Cadherin 2 (CDH2))

    别名

    CDH2

    背景

    This gene is a classical cadherin from the cadherin superfamily. The encoded protein is a calcium dependent cell-cell adhesion glycoprotein comprised of five extracellular cadherin repeats, a transmembrane region and a highly conserved cytoplasmic tail. The protein functions during gastrulation and is required for establishment of left-right asymmetry. At certain central nervous system synapses, presynaptic to postsynaptic adhesion is mediated at least in part by this gene product.

    分子量

    99.8 kDa

    UniProt

    P19022

    途径

    Regulation of Muscle Cell Differentiation, Cell-Cell Junction Organization, Synaptic Membrane
You are here: