电话:
+86 (0512) 65829739
传真:
+86 (010) 6788 5057
电子邮件:
orders@antibodies-online.cn

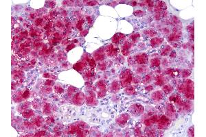
AMY1A 抗体 (AA 172-246)

The 小鼠 单克隆 anti-AMY1A antibody (Clone 2D4) (ABIN961374) specifically detects AMY1A in WB, IHC, ELISA 和 IHC (p). The antibody is reactive with 人 samples.
产品编号 ABIN961374
发货至: 中国
Contact our Customer Service for availability and price in your country. Contact Info

Our Local Distributor

中国
北京 101111
No. 88 KeChuang 6th Street
Beijing Economic Technological Development Area
Room 801-803
4A Biotech Co.,Ltd.
Tel +86 (0512) 65829739 传真 +86 (010) 6788 5057

Quick Overview for AMY1A 抗体 (AA 172-246) (ABIN961374)

抗原

See all AMY1A 抗体
AMY1A (Amylase, alpha 1A (Salivary) (AMY1A))

适用

  • 56
  • 18
  • 12
  • 3
  • 1
  • 1
  • 1
  • 1
  • 1

宿主

  • 42
  • 21
  • 3
小鼠

克隆类型

  • 44
  • 22
单克隆

标记

  • 38
  • 4
  • 4
  • 4
  • 2
  • 2
  • 2
  • 2
  • 2
  • 2
  • 2
  • 2
This AMY1A antibody is un-conjugated

应用范围

  • 45
  • 25
  • 21
  • 9
  • 8
  • 8
  • 4
  • 3
Western Blotting (WB), Immunohistochemistry (IHC), ELISA, Immunohistochemistry (Paraffin-embedded Sections) (IHC (p))

克隆位点

2D4
  • 抗原表位

    • 7
    • 7
    • 6
    • 4
    • 3
    • 3
    • 2
    • 2
    • 2
    • 1
    • 1
    • 1
    • 1
    • 1
    • 1
    • 1
    • 1
    AA 172-246

    特异性

    Human AMY1A

    纯化方法

    Purified from ascites by Protein A

    免疫原

    AMY1A (NP_001008222, 172 a.a. ~ 246 a.a) partial recombinant protein with GST tag. MW of the GST tag alone is 26 KDa.

    Type of Immunogen: Recombinant protein

    亚型

    IgG2a kappa
  • 应用备注

    Approved: ELISA, IHC, IHC-P (5 μg/mL), WB (1:500 - 1:1000)

    Usage: Immunohistochemistry: Formalin-fixed paraffin-embedded sections. Western Blot: Tissue lysate, Recombinant protein.

    说明

    Target Species of Antibody: Human

    限制

    仅限研究用
  • 状态

    Liquid

    浓度

    Lot specific

    缓冲液

    PBS,  pH 7.4. Sourced in Ascites.

    储存条件

    -20 °C

    储存方法

    Aliquot and freeze at -20°C. Avoid freeze-thaw cycles.
  • 抗原

    AMY1A (Amylase, alpha 1A (Salivary) (AMY1A))

    别名

    AMY1A / Salivary Amylase

    背景

    Name/Gene ID: AMY1A

    Synonyms: AMY1A, Alpha-amylase 1, Glycogenase, AMY1, Amylase, alpha 1A (salivary), Amylase, alpha 1A salivary, Amylase, salivary, alpha-1A, Salivary amylase alpha 1A, Salivary alpha-amylase, Salivary Amylase

    基因ID

    276

    NCBI登录号

    NP_001008222
You are here: