电话:
+86 (0512) 65829739
传真:
+86 (010) 6788 5057
电子邮件:
orders@antibodies-online.cn

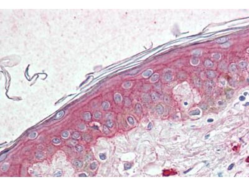
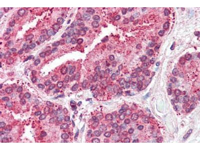
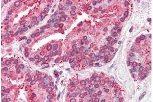
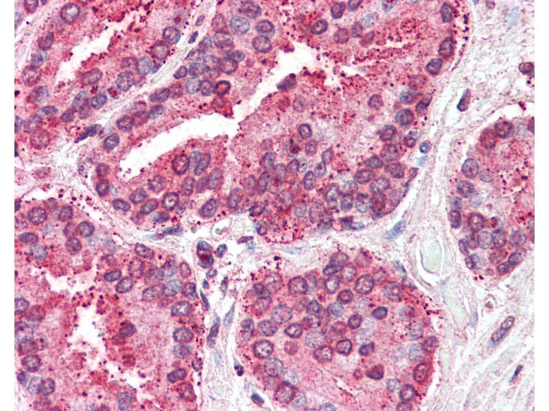
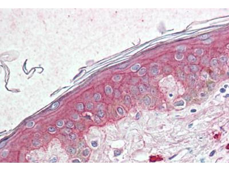
Tetraspanin 6 抗体 (Internal Region)

The 兔 多克隆 anti-Tetraspanin 6 antibody (ABIN960831) specifically detects Tetraspanin 6 in IHC 和 IHC (p). The antibody is reactive with 人, 兔 和 猴 samples.
产品编号 ABIN960831
发货至: 中国
Contact our Customer Service for availability and price in your country. Contact Info

Our Local Distributor

中国
北京 101111
No. 88 KeChuang 6th Street
Beijing Economic Technological Development Area
Room 801-803
4A Biotech Co.,Ltd.
Tel +86 (0512) 65829739 传真 +86 (010) 6788 5057

Quick Overview for Tetraspanin 6 抗体 (Internal Region) (ABIN960831)

抗原

See all Tetraspanin 6 (TSPAN6) 抗体
Tetraspanin 6 (TSPAN6)

适用

  • 17
  • 8
  • 4
  • 2
  • 2
  • 2
  • 2
  • 2
  • 1
  • 1
  • 1
  • 1
人, 兔, 猴

宿主

  • 16
  • 1

克隆类型

  • 16
  • 1
多克隆

标记

  • 13
  • 2
  • 1
  • 1
This Tetraspanin 6 antibody is un-conjugated

应用范围

  • 12
  • 9
  • 3
  • 2
  • 1
  • 1
Immunohistochemistry (IHC), Immunohistochemistry (Paraffin-embedded Sections) (IHC (p))
  • 抗原表位

    • 7
    • 4
    • 2
    • 2
    • 2
    • 1
    Internal Region

    特异性

    Human TSPAN6. BLAST analysis of the peptide immunogen showed no homology with other human proteins.

    预测反应

    Percent identity with other species by BLAST analysis: Human, Gorilla, Orangutan, Gibbon, Monkey, Marmoset, Rabbit (100%) Elephant, Panda, Horse, Pig (95%) Bovine, Bat (89%) Mouse, Rat, Hamster (84%).

    纯化方法

    Immunoaffinity purified

    免疫原

    Synthetic 19 amino acid peptide from internal region of human TSPAN6. Percent identity with other species by BLAST analysis: Human, Gorilla, Orangutan, Gibbon, Monkey, Marmoset, Rabbit (100%), Elephant, Panda, Horse, Pig (95%), Bovine, Bat (89%), Mouse, Rat, Hamster (84%).

    Type of Immunogen: Synthetic peptide
  • 应用备注

    Approved: IHC, IHC-P (10 μg/mL)

    说明

    Target Species of Antibody: Human

    限制

    仅限研究用
  • 状态

    Liquid

    浓度

    Lot specific

    缓冲液

    PBS, less than 0.1 % sodium azide.

    储存液

    Sodium azide

    注意事项

    This product contains Sodium azide: a POISONOUS AND HAZARDOUS SUBSTANCE which should be handled by trained staff only.

    储存条件

    4 °C,-20 °C

    储存方法

    Aliquot and store undiluted at -20°C or below for up to 1 year. Can be stored undiluted at 4°C for up to 1 month. Avoid freeze-thaw cycles.

    有效期

    12 months
  • 抗原

    Tetraspanin 6 (TSPAN6)

    别名

    TM4SF6 / TSPAN6

    背景

    Name/Gene ID: TSPAN6
    Family: Tetraspan

    Synonyms: TSPAN6, A15 homolog, Tetraspanin TM4-D, Tetraspanin-6, TM4SF6, Tetraspanin 6, T245, T245 protein, Tetraspan TM4SF, TSPAN-6

    基因ID

    7105
You are here: