电话:
+86 (0512) 65829739
传真:
+86 (010) 6788 5057
电子邮件:
orders@antibodies-online.cn

STEAP2 抗体 (Internal Region)

The 兔 多克隆 anti-STEAP2 antibody is suitable to detect STEAP2 in samples from 人, 小鼠, 大鼠, 犬, 豚鼠, 马, 兔, Bat, Hamster 和 猴. It has been validated for IHC 和 IHC (p).
产品编号 ABIN960821
发货至: 中国
Contact our Customer Service for availability and price in your country. Contact Info

Our Local Distributor

中国
北京 101111
No. 88 KeChuang 6th Street
Beijing Economic Technological Development Area
Room 801-803
4A Biotech Co.,Ltd.
Tel +86 (0512) 65829739 传真 +86 (010) 6788 5057

Quick Overview for STEAP2 抗体 (Internal Region) (ABIN960821)

抗原

See all STEAP2 抗体
STEAP2 (STEAP Family Member 2, Metalloreductase (STEAP2))

适用

  • 31
  • 17
  • 5
  • 3
  • 2
  • 2
  • 2
  • 2
  • 1
  • 1
  • 1
人, 小鼠, 大鼠, 犬, 豚鼠, 马, 兔, Bat, Hamster, 猴

宿主

  • 26
  • 5

克隆类型

  • 26
  • 5
多克隆

标记

  • 15
  • 2
  • 2
  • 2
  • 2
  • 1
  • 1
  • 1
  • 1
  • 1
  • 1
  • 1
  • 1
This STEAP2 antibody is un-conjugated

应用范围

  • 14
  • 11
  • 11
  • 6
  • 6
  • 4
  • 2
Immunohistochemistry (IHC), Immunohistochemistry (Paraffin-embedded Sections) (IHC (p))
  • 抗原表位

    • 7
    • 4
    • 1
    • 1
    • 1
    • 1
    • 1
    • 1
    • 1
    Internal Region

    特异性

    Human STEAP2. BLAST analysis of the peptide immunogen showed no homology with other human proteins.

    预测反应

    Percent identity with other species by BLAST analysis: Human, Chimpanzee, Gorilla, Orangutan, Gibbon, Baboon, Monkey, Galago, Marmoset, Mouse, Rat, Hamster, Elephant, Panda, Bat, Dog, Rabbit, Horse, Opossum, Guinea pig, Armadillo, Platypus (100%) Bovine, Pig, Turkey, Chicken, Zebrafish (93%) Shrew, Zebra finch, Xenopus (87%).

    纯化方法

    Immunoaffinity purified

    免疫原

    Synthetic 15 amino acid peptide from internal region of human STEAP2. Percent identity with other species by BLAST analysis: Human, Chimpanzee, Gorilla, Orangutan, Gibbon, Baboon, Monkey, Galago, Marmoset, Mouse, Rat, Hamster, Elephant, Panda, Bat, Dog, Rabbit, Horse, Opossum, Guinea pig, Armadillo, Platypus (100%), Bovine, Pig, Turkey, Chicken, Zebrafish (93%), Shrew, Zebra finch, Xenopus (87%).

    Type of Immunogen: Synthetic peptide
  • 应用备注

    Approved: IHC, IHC-P (10 μg/mL)

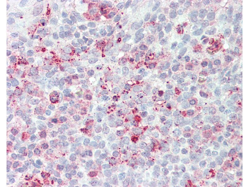
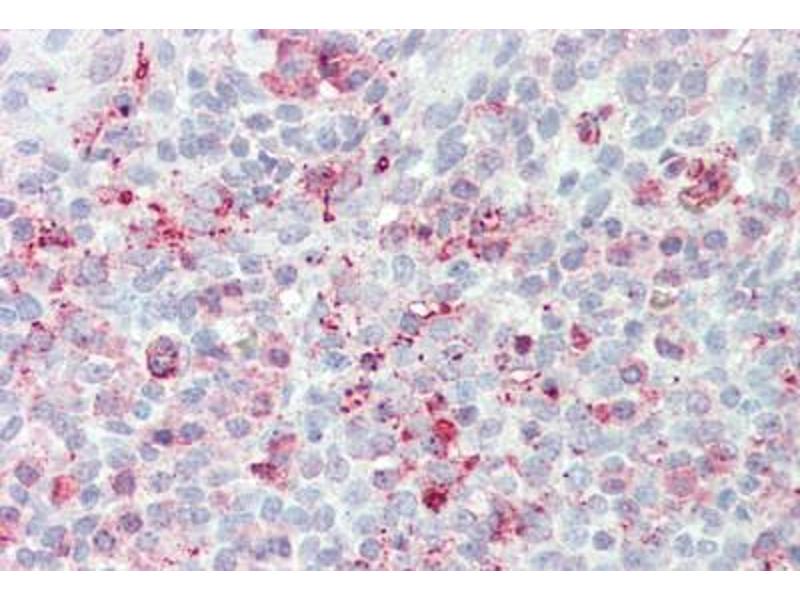
    Usage: Immunohistochemistry: This antibody was validated for use in immunohistochemistry on a panel of 21 formalin-fixed, paraffin-embedded (FFPE) human tissues after heat induced antigen retrieval in  pH 6.0 citrate buffer. After incubation with the primary antibody, slides were incubated with biotinylated secondary antibody, followed by alkaline phosphatase-streptavidin and chromogen. The stained slides were evaluated by a pathologist to confirm staining specificity. The optimal working concentration for this antibody was determined to be 10 μg/mL.

    说明

    Target Species of Antibody: Human

    限制

    仅限研究用
  • 状态

    Liquid

    浓度

    Lot specific

    缓冲液

    PBS, less than 0.1 % sodium azide.

    储存液

    Sodium azide

    注意事项

    This product contains Sodium azide: a POISONOUS AND HAZARDOUS SUBSTANCE which should be handled by trained staff only.

    储存条件

    4 °C,-20 °C

    储存方法

    Aliquot and store undiluted at -20°C or below for up to 1 year. Can be stored undiluted at 4°C for up to 1 month. Avoid freeze-thaw cycles.

    有效期

    12 months
  • 抗原

    STEAP2 (STEAP Family Member 2, Metalloreductase (STEAP2))

    别名

    STEAP2

    背景

    Name/Gene ID: STEAP2

    Synonyms: STEAP2, IPCA-1, PCANAP1, IPCA1, PUMPCn, STAMP1, STMP, Metalloreductase STEAP2

    基因ID

    261729

    途径

    Transition Metal Ion Homeostasis
You are here: