电话:
+86 (0512) 65829739
传真:
+86 (010) 6788 5057
电子邮件:
orders@antibodies-online.cn

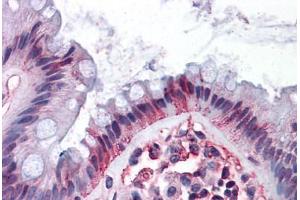
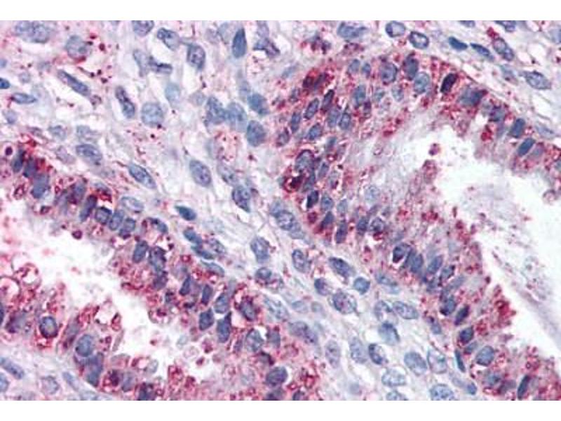
DPEP1 抗体 (N-Term)

The 兔 多克隆 anti-DPEP1 antibody (ABIN960762) specifically detects DPEP1 in IHC 和 IHC (p). The antibody is reactive with 人 和 猴 samples.
产品编号 ABIN960762
发货至: 中国
Contact our Customer Service for availability and price in your country. Contact Info

Our Local Distributor

中国
北京 101111
No. 88 KeChuang 6th Street
Beijing Economic Technological Development Area
Room 801-803
4A Biotech Co.,Ltd.
Tel +86 (0512) 65829739 传真 +86 (010) 6788 5057

Quick Overview for DPEP1 抗体 (N-Term) (ABIN960762)

抗原

See all DPEP1 抗体
DPEP1 (Dipeptidase 1 (Renal) (DPEP1))

适用

  • 30
  • 3
  • 2
人, 猴

宿主

  • 28
  • 2

克隆类型

  • 27
  • 3
多克隆

标记

  • 15
  • 3
  • 2
  • 2
  • 1
  • 1
  • 1
  • 1
  • 1
  • 1
  • 1
  • 1
This DPEP1 antibody is un-conjugated

应用范围

  • 18
  • 14
  • 7
  • 2
  • 1
  • 1
  • 1
  • 1
Immunohistochemistry (IHC), Immunohistochemistry (Paraffin-embedded Sections) (IHC (p))
  • 抗原表位

    • 10
    • 4
    • 3
    • 3
    • 1
    N-Term

    特异性

    Human DPEP1. BLAST analysis of the peptide immunogen showed no homology with other human proteins.

    预测反应

    Percent identity with other species by BLAST analysis: Human, Gorilla, Marmoset (100%) Monkey (86%).

    纯化方法

    Immunoaffinity purified

    免疫原

    Synthetic 14 amino acid peptide from N-terminus of human DPEP1. Percent identity with other species by BLAST analysis: Human, Gorilla, Marmoset (100%), Monkey (86%).

    Type of Immunogen: Synthetic peptide
  • 应用备注

    Approved: IHC, IHC-P (10 μg/mL)

    说明

    Target Species of Antibody: Human

    限制

    仅限研究用
  • 状态

    Liquid

    浓度

    Lot specific

    缓冲液

    PBS, less than 0.1 % sodium azide.

    储存液

    Sodium azide

    注意事项

    This product contains Sodium azide: a POISONOUS AND HAZARDOUS SUBSTANCE which should be handled by trained staff only.

    储存条件

    4 °C,-20 °C

    储存方法

    Aliquot and store undiluted at -20°C or below for up to 1 year. Can be stored undiluted at 4°C for up to 1 month. Avoid freeze-thaw cycles.

    有效期

    12 months
  • 抗原

    DPEP1 (Dipeptidase 1 (Renal) (DPEP1))

    别名

    Renal Dipeptidase / DPEP1

    背景

    Name/Gene ID: DPEP1
    Subfamily: Metallopeptidase M19
    Family: Exopeptidase

    Synonyms: DPEP1, Dipeptidase 1 (renal), Dehydropeptidase-I, Dipeptidase 1, HRDP, Microsomal dipeptidase, Renal dipeptidase, RDP

    基因ID

    1800

    途径

    Inositol Metabolic Process
You are here: