电话:
+86 (0512) 65829739
传真:
+86 (010) 6788 5057
电子邮件:
orders@antibodies-online.cn

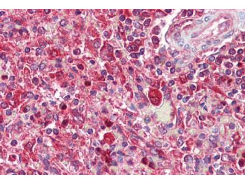
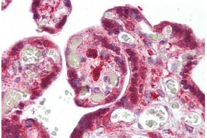
Sorting Nexin 2 抗体 (AA 350-400)

The 兔 多克隆 anti-Sorting Nexin 2 antibody is suitable to detect Sorting Nexin 2 in samples from 人, 小鼠, 犬, Cow, 马 和 Opossum. It has been validated for WB, IHC 和 IHC (p).
产品编号 ABIN960347
发货至: 中国
Contact our Customer Service for availability and price in your country. Contact Info

Our Local Distributor

中国
北京 101111
No. 88 KeChuang 6th Street
Beijing Economic Technological Development Area
Room 801-803
4A Biotech Co.,Ltd.
Tel +86 (0512) 65829739 传真 +86 (010) 6788 5057

Quick Overview for Sorting Nexin 2 抗体 (AA 350-400) (ABIN960347)

抗原

See all Sorting Nexin 2 (SNX2) 抗体
Sorting Nexin 2 (SNX2)

适用

  • 29
  • 7
  • 5
  • 3
  • 2
  • 2
  • 2
  • 2
  • 2
  • 2
  • 1
  • 1
人, 小鼠, 犬, Cow, 马, Opossum

宿主

  • 29

克隆类型

  • 29
多克隆

标记

  • 18
  • 1
  • 1
  • 1
  • 1
  • 1
  • 1
  • 1
  • 1
  • 1
  • 1
  • 1
This Sorting Nexin 2 antibody is un-conjugated

应用范围

  • 22
  • 9
  • 4
  • 3
  • 1
  • 1
  • 1
Western Blotting (WB), Immunohistochemistry (IHC), Immunohistochemistry (Paraffin-embedded Sections) (IHC (p))
  • 抗原表位

    • 9
    • 7
    • 3
    • 2
    • 1
    • 1
    • 1
    AA 350-400

    特异性

    Human SNX2.

    纯化方法

    Immunoaffinity purified

    免疫原

    A portion of amino acids 350-400 of human Snx2.

    Type of Immunogen: Protein fragment
  • 应用备注

    Approved: IHC, IHC-P (5 - 10 μg/mL), WB (0.1 - 0.5 μg/mL)

    说明

    Target Species of Antibody: Human

    限制

    仅限研究用
  • 状态

    Liquid

    浓度

    Lot specific

    缓冲液

    PBS, 0.05 % BSA, 0.05 % sodium azide

    储存液

    Sodium azide

    注意事项

    This product contains Sodium azide: a POISONOUS AND HAZARDOUS SUBSTANCE which should be handled by trained staff only.

    储存条件

    4 °C,-20 °C

    储存方法

    Store at 4°C for short term applications. For long term storage, aliquot and store at -20°C.
  • 抗原

    Sorting Nexin 2 (SNX2)

    别名

    SNX2

    背景

    Name/Gene ID: SNX2

    Synonyms: SNX2, Sorting nexin 2, Sorting nexin-2, TRG-9

    基因ID

    6643

    UniProt

    O60749
You are here: