电话:
+86 (0512) 65829739
传真:
+86 (010) 6788 5057
电子邮件:
orders@antibodies-online.cn

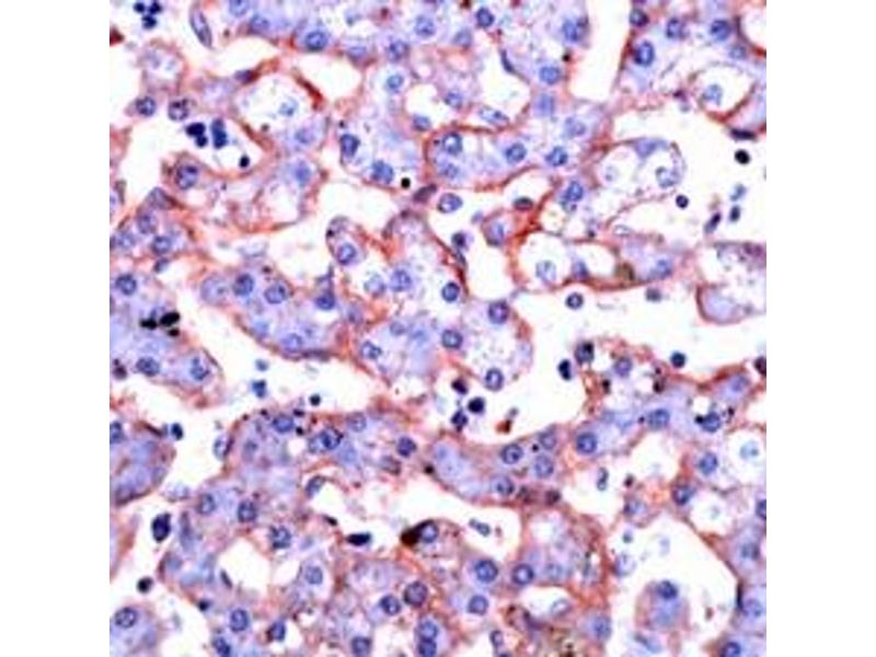
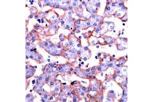
ANXA6 抗体 (AA 5-23)

The 兔 多克隆 anti-ANXA6 antibody (ABIN956781) specifically detects ANXA6 in WB 和 IHC. The antibody is reactive with 人, 小鼠 和 大鼠 samples.
产品编号 ABIN956781
发货至: 中国
Contact our Customer Service for availability and price in your country. Contact Info

Our Local Distributor

中国
北京 101111
No. 88 KeChuang 6th Street
Beijing Economic Technological Development Area
Room 801-803
4A Biotech Co.,Ltd.
Tel +86 (0512) 65829739 传真 +86 (010) 6788 5057

Quick Overview for ANXA6 抗体 (AA 5-23) (ABIN956781)

抗原

See all ANXA6 抗体
ANXA6 (Annexin A6 (ANXA6))

适用

  • 76
  • 43
  • 20
  • 6
  • 6
  • 6
  • 5
  • 4
  • 4
  • 3
  • 2
  • 1
  • 1
人, 小鼠, 大鼠

宿主

  • 74
  • 6

克隆类型

  • 74
  • 6
多克隆

标记

  • 48
  • 6
  • 4
  • 3
  • 1
  • 1
  • 1
  • 1
  • 1
  • 1
  • 1
  • 1
  • 1
  • 1
  • 1
  • 1
  • 1
  • 1
  • 1
  • 1
  • 1
  • 1
  • 1
This ANXA6 antibody is un-conjugated

应用范围

  • 70
  • 27
  • 19
  • 13
  • 10
  • 8
  • 6
  • 5
  • 4
  • 1
  • 1
  • 1
Western Blotting (WB), Immunohistochemistry (IHC)
  • 抗原表位

    • 15
    • 9
    • 8
    • 6
    • 4
    • 2
    • 2
    • 2
    • 2
    • 2
    • 1
    • 1
    • 1
    • 1
    • 1
    • 1
    • 1
    • 1
    • 1
    • 1
    • 1
    • 1
    AA 5-23

    纯化方法

    Immunoaffinity purified

    免疫原

    Synthetic peptide corresponding to aa 5 -23 of human Annexin VI.

    Type of Immunogen: Synthetic peptide
  • 应用备注

    Approved: IHC (1:50), WB

    说明

    Target Species of Antibody: Human

    限制

    仅限研究用
  • 状态

    Liquid

    浓度

    Lot specific

    缓冲液

    10 mM PBS,  pH 7.4, BSA, sodium azide.

    储存液

    Sodium azide

    注意事项

    This product contains Sodium azide: a POISONOUS AND HAZARDOUS SUBSTANCE which should be handled by trained staff only.

    储存条件

    4 °C,-20 °C

    储存方法

    Short term: 4°C. Long term: Store at -20°C. Avoid freeze-thaw cycles.
  • 抗原

    ANXA6 (Annexin A6 (ANXA6))

    别名

    ANXA6/Annexin A6/Annexin VI

    背景

    Name/Gene ID: ANXA6

    Synonyms: ANXA6, 67 kDa calelectrin, Annexin VI (p68), Annexin A6, Annexin VI, ANX6, Calcium-binding protein p68, Calelectrin, CBP68, Chromobindin-20, Calphobindin-II, Lipocortin VI, p70, Protein III, Annexin-6, Calphobindin II, CPB-II, p68

    基因ID

    309
You are here: