电话:
+86 (0512) 65829739
传真:
+86 (010) 6788 5057
电子邮件:
orders@antibodies-online.cn

RPS6 抗体 (C-Term)

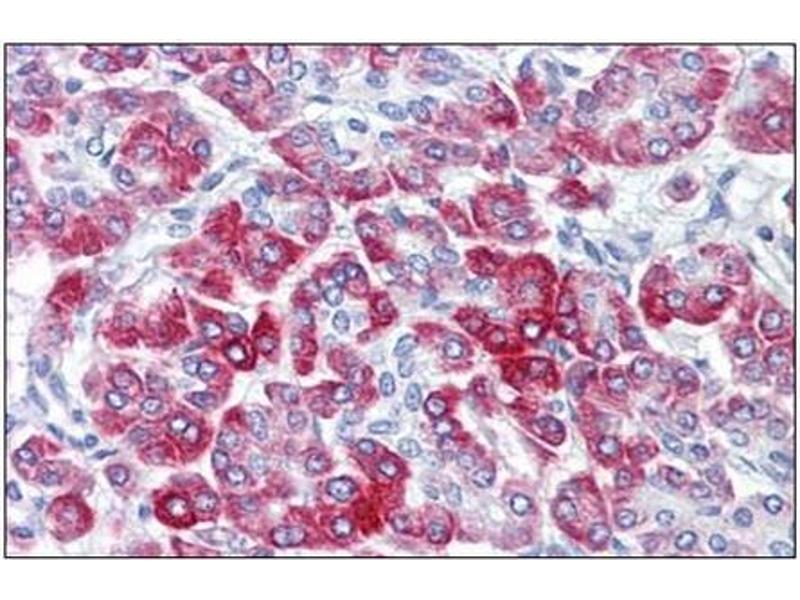
The 兔 多克隆 anti-RPS6 antibody (ABIN954621) specifically detects RPS6 in WB, IF, IHC (p) 和 EIA. The antibody is reactive with 人, 小鼠 和 大鼠 samples.
产品编号 ABIN954621
发货至: 中国
Contact our Customer Service for availability and price in your country. Contact Info

Our Local Distributor

中国
北京 101111
No. 88 KeChuang 6th Street
Beijing Economic Technological Development Area
Room 801-803
4A Biotech Co.,Ltd.
Tel +86 (0512) 65829739 传真 +86 (010) 6788 5057

Quick Overview for RPS6 抗体 (C-Term) (ABIN954621)

抗原

See all RPS6 抗体
RPS6 (Ribosomal Protein S6 (RPS6))

适用

  • 144
  • 132
  • 120
  • 12
  • 12
  • 11
  • 10
  • 10
  • 8
  • 8
  • 7
  • 7
  • 5
  • 5
  • 5
  • 4
  • 2
  • 2
  • 2
  • 1
人, 小鼠, 大鼠

宿主

  • 161
  • 12
  • 2
  • 2

克隆类型

  • 143
  • 34
多克隆

标记

  • 83
  • 11
  • 8
  • 6
  • 5
  • 5
  • 4
  • 4
  • 4
  • 4
  • 3
  • 3
  • 3
  • 3
  • 3
  • 3
  • 3
  • 3
  • 3
  • 3
  • 3
  • 3
  • 3
  • 2
  • 2
This RPS6 antibody is un-conjugated

应用范围

  • 153
  • 58
  • 57
  • 44
  • 40
  • 40
  • 27
  • 27
  • 21
  • 18
  • 11
  • 2
  • 2
  • 1
  • 1
  • 1
  • 1
Western Blotting (WB), Immunofluorescence (IF), Immunohistochemistry (Paraffin-embedded Sections) (IHC (p)), Enzyme Immunoassay (EIA)
  • 抗原表位

    • 47
    • 29
    • 27
    • 25
    • 15
    • 14
    • 10
    • 9
    • 9
    • 5
    • 5
    • 5
    • 4
    • 3
    • 2
    • 2
    • 2
    • 2
    • 2
    • 1
    • 1
    • 1
    • 1
    • 1
    • 1
    • 1
    • 1
    • 1
    • 1
    C-Term

    特异性

    This antibody detects endogenous levels of total S6 Ribosomal Protein protein.

    交叉反应 (详细)

    Species reactivity (expected):Mouse and Rat.
    Species reactivity (tested):Human.

    纯化方法

    Immunoaffinity Chromatography

    免疫原

    Synthetic peptide from Human S6 Ribosomal Protein. Epitope: C-Terminus.

    亚型

    IgG
  • 应用备注

    Optimal working dilution should be determined by the investigator.

    限制

    仅限研究用
  • 浓度

    0.5 mg/mL

    缓冲液

    PBS (without Mg2+, Ca2+), pH 7.4, 150 mM Sodium Chloride, 0.02 % Sodium Azide and 50 % Glycerol

    储存液

    Sodium azide

    注意事项

    This product contains sodium azide: a POISONOUS AND HAZARDOUS SUBSTANCE which should be handled by trained staff only.

    注意事项

    Avoid repeated freezing and thawing.

    储存条件

    -20 °C

    储存方法

    Store the antibody (in aliquots) at -20 °C.
  • 抗原

    RPS6 (Ribosomal Protein S6 (RPS6))

    别名

    RPS6

    背景

    40S ribosomal protein S6 (also known as RPS6) is a ~31 kDa substrate of p70 S6 kinase (p70S6K) and a major component of translational machinery involved in protein synthesis, cell growth, proliferation, and metabolism. RPS6 undergoes phosphorylation on multiple serines in the carboxyl terminal region in the order 236-->235-->240-->244-->247, due to the positions of these amino acid residues on the alpha-helix. Hyperphosphorylation of RPS6 stimulates protein synthesis that mediates progression through the cell cycle.Synonyms: 40S ribosomal protein S6, Phosphoprotein NP33

    基因ID

    6194

    NCBI登录号

    NP_001001

    途径

    Carbohydrate Homeostasis, Ribonucleoprotein Complex Subunit Organization, Ribosome Assembly
You are here: