电话:
+86 (0512) 65829739
传真:
+86 (010) 6788 5057
电子邮件:
orders@antibodies-online.cn

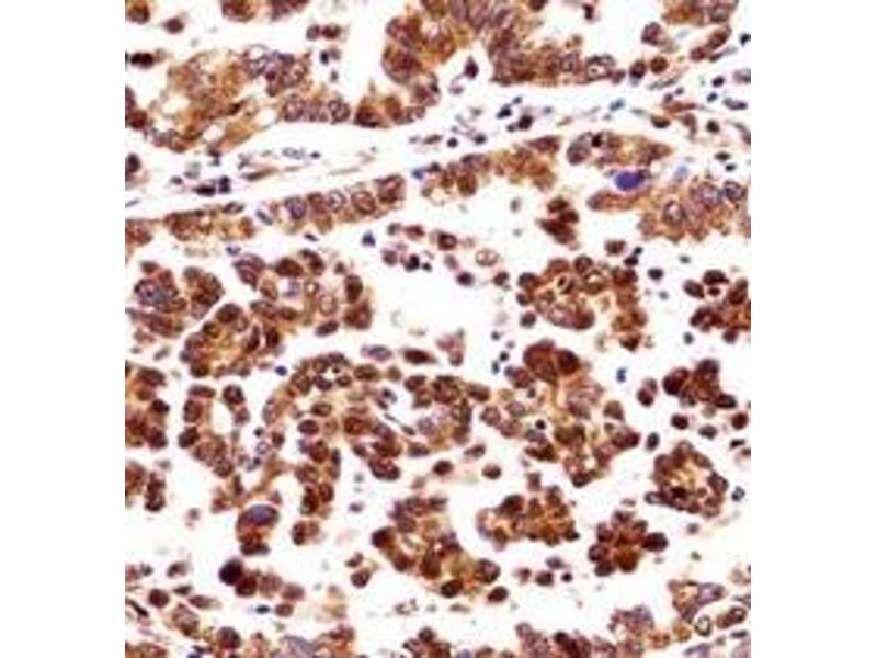
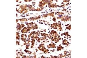
ORC3 抗体 (N-Term)

The 兔 多克隆 anti-ORC3 antibody (ABIN953934) specifically detects ORC3 in WB, IHC (p) 和 EIA. The antibody is reactive with 人 samples.
产品编号 ABIN953934
发货至: 中国
Contact our Customer Service for availability and price in your country. Contact Info

Our Local Distributor

中国
北京 101111
No. 88 KeChuang 6th Street
Beijing Economic Technological Development Area
Room 801-803
4A Biotech Co.,Ltd.
Tel +86 (0512) 65829739 传真 +86 (010) 6788 5057

Quick Overview for ORC3 抗体 (N-Term) (ABIN953934)

抗原

See all ORC3 抗体
ORC3 (Origin Recognition Complex, Subunit 3 (ORC3))

适用

  • 28
  • 5
  • 5
  • 3
  • 3
  • 3
  • 3
  • 2
  • 2
  • 2
  • 1
  • 1

宿主

  • 22
  • 4
  • 1
  • 1

克隆类型

  • 25
  • 3
多克隆

标记

  • 23
  • 1
  • 1
  • 1
  • 1
  • 1
This ORC3 antibody is un-conjugated

应用范围

  • 26
  • 12
  • 11
  • 3
  • 3
  • 2
  • 1
Western Blotting (WB), Immunohistochemistry (Paraffin-embedded Sections) (IHC (p)), Enzyme Immunoassay (EIA)
  • 抗原表位

    • 9
    • 4
    • 4
    • 3
    • 2
    • 2
    • 1
    • 1
    • 1
    • 1
    AA 16-46, N-Term

    特异性

    This antibody recognizes Human ORC3 / LATHEO (N-term).

    纯化方法

    Protein A column, followed by peptide affinity purification

    免疫原

    KLH conjugated synthetic peptide between 16-46 amino acids from the N-terminal region of human ORC3 / LATHEO Genename: ORC3L

    亚型

    Ig Fraction
  • 应用备注

    Optimal working dilution should be determined by the investigator.

    限制

    仅限研究用
  • 状态

    Liquid

    浓度

    0.25 mg/mL

    缓冲液

    PBS containing 0.09 % (W/V) Sodium Azide as preservative

    储存液

    Sodium azide

    注意事项

    This product contains sodium azide: a POISONOUS AND HAZARDOUS SUBSTANCE which should be handled by trained staff only.

    注意事项

    Avoid repeated freezing and thawing.

    储存条件

    4 °C/-20 °C

    储存方法

    Store undiluted at 2-8 °C for one month or (in aliquots) at -20 °C for longer.
  • 抗原

    ORC3 (Origin Recognition Complex, Subunit 3 (ORC3))

    别名

    ORC3 / LATHEO

    背景

    The origin recognition complex (ORC) is a highly conserved six subunits protein complex essential for the initiation of the DNA replication in eukaryotic cells. Studies in yeast demonstrated that ORC binds specifically to origins of replication and serves as a platform for the assembly of additional initiation factors such as Cdc6 and Mcm proteins. The protein encoded by this gene is a subunit of the ORC complex. Studies of a similar gene in Drosophila suggested a possible role of this protein in neuronal proliferation and olfactory memory. Alternatively spliced transcript variants encoding distinct isoforms have been reported for this gene.Synonyms: ORC3L, Origin recognition complex subunit 3, Origin recognition complex subunit Latheo

    分子量

    82254 Da

    基因ID

    23595

    NCBI登录号

    NP_036513

    途径

    Mitotic G1-G1/S Phases, DNA Replication, Feeding Behaviour, Synthesis of DNA
You are here: