电话:
+86 (0512) 65829739
传真:
+86 (010) 6788 5057
电子邮件:
orders@antibodies-online.cn

Fibulin 1 抗体 (C-Term)

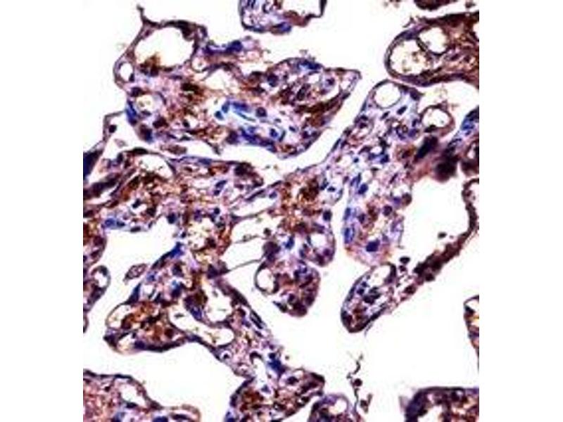
The 兔 多克隆 anti-Fibulin 1 antibody is suitable to detect Fibulin 1 in samples from 人 和 小鼠. It has been validated for WB 和 IHC (p).
产品编号 ABIN952325
发货至: 中国
Contact our Customer Service for availability and price in your country. Contact Info

Our Local Distributor

中国
北京 101111
No. 88 KeChuang 6th Street
Beijing Economic Technological Development Area
Room 801-803
4A Biotech Co.,Ltd.
Tel +86 (0512) 65829739 传真 +86 (010) 6788 5057

Quick Overview for Fibulin 1 抗体 (C-Term) (ABIN952325)

抗原

See all Fibulin 1 (FBLN1) 抗体
Fibulin 1 (FBLN1)

适用

  • 60
  • 31
  • 19
  • 3
  • 2
  • 2
  • 2
  • 1
  • 1
  • 1
人, 小鼠

宿主

  • 64
  • 17
  • 1

克隆类型

  • 54
  • 28
多克隆

标记

  • 41
  • 19
  • 4
  • 2
  • 2
  • 2
  • 2
  • 2
  • 2
  • 2
  • 1
  • 1
  • 1
  • 1
This Fibulin 1 antibody is un-conjugated

应用范围

  • 70
  • 37
  • 26
  • 19
  • 19
  • 8
  • 4
  • 3
  • 2
  • 2
  • 1
  • 1
  • 1
Western Blotting (WB), Immunohistochemistry (Paraffin-embedded Sections) (IHC (p))
  • 抗原表位

    • 8
    • 4
    • 4
    • 4
    • 4
    • 3
    • 3
    • 2
    • 2
    • 2
    • 2
    • 2
    • 1
    • 1
    • 1
    • 1
    • 1
    • 1
    AA 621-650, C-Term

    特异性

    This antibody recognizes Human and Mouse Fibulin-1 (C-term).

    纯化方法

    Affinity Chromatography on Protein A

    免疫原

    KLH conjugated synthetic peptide between 621-650 amino acids from the C-terminal region of Human Fibulin-1.

    亚型

    Ig Fraction
  • 应用备注

    Optimal working dilution should be determined by the investigator.

    限制

    仅限研究用
  • 状态

    Liquid

    浓度

    0.25 mg/mL

    缓冲液

    PBS containing 0.09 % (W/V) Sodium Azide as preservative

    储存液

    Sodium azide

    注意事项

    This product contains sodium azide: a POISONOUS AND HAZARDOUS SUBSTANCE which should be handled by trained staff only.

    注意事项

    Avoid repeated freezing and thawing.

    储存条件

    4 °C/-20 °C

    储存方法

    Store undiluted at 2-8 °C for one month or (in aliquots) at -20 °C for longer.
  • 抗原

    Fibulin 1 (FBLN1)

    别名

    Fibulin-1

    背景

    Fibulin 1 is a secreted glycoprotein that becomes incorporated into a fibrillar extracellular matrix. Calcium-binding is apparently required to mediate its binding to laminin and nidogen. It mediates platelet adhesion via binding fibrinogen. Four splice variants which differ in the 3' end have been identified. Each variant encodes a different isoform, but no functional distinctions have been identified among the four variants.Synonyms: FBLN1, FIBL-1, PP213

    分子量

    77214 Da

    基因ID

    2192

    NCBI登录号

    NP_001987
You are here: