电话:
+86 (0512) 65829739
传真:
+86 (010) 6788 5057
电子邮件:
orders@antibodies-online.cn

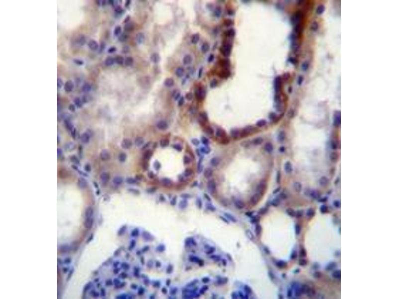
IGSF8 抗体 (Middle Region)

The 兔 多克隆 anti-IGSF8 antibody is suitable to detect IGSF8 in samples from 人 和 小鼠. It has been validated for WB, IHC (p) 和 EIA.
产品编号 ABIN951296
发货至: 中国
Contact our Customer Service for availability and price in your country. Contact Info

Our Local Distributor

中国
北京 101111
No. 88 KeChuang 6th Street
Beijing Economic Technological Development Area
Room 801-803
4A Biotech Co.,Ltd.
Tel +86 (0512) 65829739 传真 +86 (010) 6788 5057

Quick Overview for IGSF8 抗体 (Middle Region) (ABIN951296)

抗原

See all IGSF8 抗体
IGSF8 (Immunoglobulin Superfamily, Member 8 (IGSF8))

适用

  • 45
  • 33
  • 5
  • 5
  • 5
  • 2
  • 1
  • 1
  • 1
  • 1
人, 小鼠

宿主

  • 41
  • 7

克隆类型

  • 42
  • 6
多克隆

标记

  • 17
  • 3
  • 2
  • 2
  • 2
  • 1
  • 1
  • 1
  • 1
  • 1
  • 1
  • 1
  • 1
  • 1
  • 1
  • 1
  • 1
  • 1
  • 1
  • 1
  • 1
  • 1
  • 1
  • 1
  • 1
  • 1
  • 1
This IGSF8 antibody is un-conjugated

应用范围

  • 35
  • 20
  • 19
  • 13
  • 13
  • 9
  • 5
  • 4
  • 2
  • 1
Western Blotting (WB), Immunohistochemistry (Paraffin-embedded Sections) (IHC (p)), Enzyme Immunoassay (EIA)
  • 抗原表位

    • 16
    • 7
    • 4
    • 2
    • 2
    • 2
    • 1
    • 1
    • 1
    • 1
    • 1
    • 1
    • 1
    • 1
    AA 233-262, Middle Region

    特异性

    This antibody detects IGSF8 (Center).

    交叉反应 (详细)

    Species reactivity (tested):Human, Mouse

    纯化方法

    Purified through a protein A column; followed by peptide affinity purification.

    免疫原

    Synthetic peptide (233-262 aa) - KLH conjugated - corresponding to internal domain of human IGSF8.

    亚型

    Ig Fraction
  • 应用备注

    Optimal working dilution should be determined by the investigator.

    限制

    仅限研究用
  • 状态

    Liquid

    浓度

    0.25 mg/mL

    缓冲液

    PBS with 0.09 % (W/V) Sodium Azide.

    储存液

    Sodium azide

    注意事项

    This product contains sodium azide: a POISONOUS AND HAZARDOUS SUBSTANCE which should be handled by trained staff only.

    注意事项

    Avoid repeated freezing and thawing.

    储存条件

    4 °C/-20 °C

    储存方法

    Store the antibody undiluted at 2-8 °C for one month or (in aliquots) at -20 °C for longer.
  • 抗原

    IGSF8 (Immunoglobulin Superfamily, Member 8 (IGSF8))

    别名

    CD316 / IGSF8

    背景

    GSF8/PGRL/EWI-2 is a membrane protein that contains 4 Ig domains and forms highly proximal, specific and stoichiometric complexes with both CD9 and CD81 a tetraspanin. Tetraspanins and their molecular partners from primary complexes that then undergo tetraspanin-tetraspanin interactions to form a network of molecular interactions call a tetraspanin web. IGSF8 then may play a key role in diverse functions ascribed to CD81 and CD9 including oocyte fertilization or hepatitis C virus function, regulation of proliferation and differentiation of keratinocytes. It may also be a negative regulator of cell motility and suppress T-cell mobility coordinately with CD81.Synonyms: CD81 partner 3, CD81P3, EWI2, Glu-Trp-Ile EWI motif-containing protein 2, Immunoglobulin superfamily member 8, KCT4, Keratinocytes-associated transmembrane protein 4, LIR-D1

    基因ID

    93185

    NCBI登录号

    NP_001193594
You are here: