电话:
+86 (0512) 65829739
传真:
+86 (010) 6788 5057
电子邮件:
orders@antibodies-online.cn

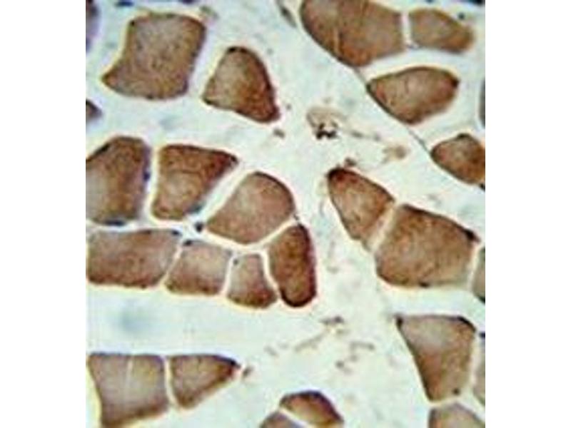
CCDC85B 抗体 (Middle Region)

The 兔 多克隆 anti-CCDC85B antibody (ABIN951126) specifically detects CCDC85B in WB, FACS, IHC (p) 和 EIA. The antibody is reactive with 人 samples.
产品编号 ABIN951126
发货至: 中国
Contact our Customer Service for availability and price in your country. Contact Info

Our Local Distributor

中国
北京 101111
No. 88 KeChuang 6th Street
Beijing Economic Technological Development Area
Room 801-803
4A Biotech Co.,Ltd.
Tel +86 (0512) 65829739 传真 +86 (010) 6788 5057

Quick Overview for CCDC85B 抗体 (Middle Region) (ABIN951126)

抗原

See all CCDC85B 抗体
CCDC85B (Coiled-Coil Domain Containing 85B (CCDC85B))

适用

  • 6
  • 3
  • 2
  • 2
  • 2
  • 2
  • 1
  • 1
  • 1
  • 1
  • 1

宿主

  • 6

克隆类型

  • 6
多克隆

标记

  • 6
This CCDC85B antibody is un-conjugated

应用范围

  • 6
  • 3
  • 2
  • 2
  • 1
Western Blotting (WB), Flow Cytometry (FACS), Immunohistochemistry (Paraffin-embedded Sections) (IHC (p)), Enzyme Immunoassay (EIA)
  • 抗原表位

    • 1
    • 1
    • 1
    • 1
    • 1
    • 1
    AA 75-105, Middle Region

    特异性

    This antibody recognizes Human CCDC85B / DIPA (Center).

    纯化方法

    Affinity Chromatography on Protein A

    免疫原

    KLH conjugated synthetic peptide between 75~105 amino acids from the Center region of human DIPA

    亚型

    Ig Fraction
  • 应用备注

    Optimal working dilution should be determined by the investigator.

    限制

    仅限研究用
  • 状态

    Liquid

    浓度

    0.25 mg/mL

    缓冲液

    PBS, 0.09 % Sodium Azide

    储存液

    Sodium azide

    注意事项

    This product contains sodium azide: a POISONOUS AND HAZARDOUS SUBSTANCE which should be handled by trained staff only.

    注意事项

    Avoid repeated freezing and thawing.

    储存条件

    4 °C/-20 °C

    储存方法

    Store undiluted at 2-8 °C for one month or (in aliquots) at -20 °C for longer.
  • 抗原

    CCDC85B (Coiled-Coil Domain Containing 85B (CCDC85B))

    别名

    CCDC85B / DIPA

    背景

    DIPA functions as a transcriptional repressor. It may inhibit the activity of CTNNB1 in a TP53-dependent manner and thus regulate cell growth. It may function in adipocyte differentiation, negatively regulating mitotic clonal expansion.Synonyms: Coiled-coil domain-containing protein 85B

    分子量

    22091 Da

    基因ID

    11007

    NCBI登录号

    NP_006839
You are here: