电话:
+86 (0512) 65829739
传真:
+86 (010) 6788 5057
电子邮件:
orders@antibodies-online.cn

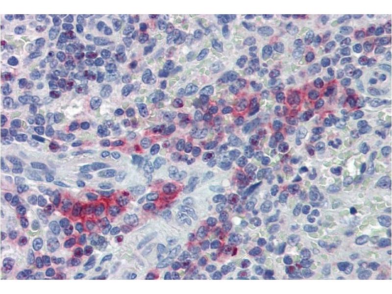
LIME 抗体 (AA 141-295)

There is 1 publication for this product available. The 兔 多克隆 anti-LIME antibody is suitable to detect LIME in samples from 人. It has been validated for WB 和 IHC (p).
产品编号 ABIN94499
发货至: 中国
Contact our Customer Service for availability and price in your country. Contact Info

Our Local Distributor

中国
北京 101111
No. 88 KeChuang 6th Street
Beijing Economic Technological Development Area
Room 801-803
4A Biotech Co.,Ltd.
Tel +86 (0512) 65829739 传真 +86 (010) 6788 5057

Quick Overview for LIME 抗体 (AA 141-295) (ABIN94499)

抗原

See all LIME (LIME1) 抗体
LIME (LIME1) (Lck Interacting Transmembrane Adaptor 1 (LIME1))

适用

  • 24
  • 4

宿主

  • 17
  • 9
  • 1

克隆类型

  • 19
  • 8
多克隆

标记

  • 17
  • 3
  • 2
  • 2
  • 2
  • 1
This LIME antibody is un-conjugated

应用范围

  • 19
  • 11
  • 5
  • 2
  • 2
  • 2
  • 1
  • 1
Western Blotting (WB), Immunohistochemistry (Paraffin-embedded Sections) (IHC (p))
  • 抗原表位

    • 9
    • 6
    • 4
    • 3
    • 2
    • 1
    • 1
    • 1
    • 1
    AA 141-295

    原理

    Anti-LIME1 Purified

    特异性

    The polyclonal antibody reacts with the cytoplasmic domain of LIME, a 30 kDa Lck-interacting transmembrane adaptor expressed by T cells.

    无交叉反应

    小鼠

    交叉反应 (详细)

    Human

    纯化方法

    Purified by protein-A affinity chromatography.

    纯度

    > 95 % (by SDS-PAGE)

    免疫原

    Bacterially expressed intracellular fragment corresponding to aa 141-295 of human LIME.
  • 应用备注

    Optimal working dilution should be determined by the investigator.

    限制

    仅限研究用
  • 浓度

    1 mg/mL

    缓冲液

    Phosphate buffered saline (PBS), pH 7.4, 15 mM sodium azide

    储存液

    Sodium azide

    注意事项

    This product contains Sodium azide: a POISONOUS AND HAZARDOUS SUBSTANCE which should be handled by trained staff only.

    注意事项

    Do not freeze.

    储存条件

    4 °C

    储存方法

    Store at 2-8°C. Do not freeze.
  • Brdicková, Brdicka, Angelisová, Horváth, Spicka, Hilgert, Paces, Simeoni, Kliche, Merten, Schraven, Horejsí: "LIME: a new membrane Raft-associated adaptor protein involved in CD4 and CD8 coreceptor signaling." in: The Journal of experimental medicine, Vol. 198, Issue 10, pp. 1453-62, (2003) (PubMed).

  • 抗原

    LIME (LIME1) (Lck Interacting Transmembrane Adaptor 1 (LIME1))

    别名

    LIME1

    背景

    Lck interacting transmembrane adaptor 1,LIME (Lck-interacting molecule) is a 30 kDa double-palmitoylated protein with unusually basic cytoplasmic domain, expressed by T cells. After ligation of CD4 or CD8 T cell coreceptors, LIME is phosphorylated by Src-family kinases and associates with Lck and Fyn kinases and with their negative regulator Csk. Interestingly, Csk-mediated phosphorylation of C-terminal negative-regulatory tyrosine of LIME-associated Lck can result in increase of enzymatic activity compared with the total pool of Lck, thus, LIME serves as a positive regulator of TCR-dependent T cell signaling. However, under some circumstances, LIME may mediate inhibitory signals.,LITA1

    基因ID

    54923

    UniProt

    Q9H400
You are here: