电话:
+86 (0512) 65829739
传真:
+86 (010) 6788 5057
电子邮件:
orders@antibodies-online.cn

NPM1 抗体

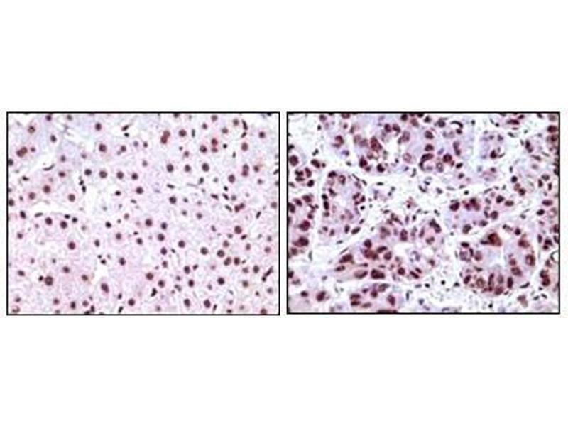
This 小鼠 单克隆 antibody specifically detects NPM1 in WB, IHC, IF 和 ELISA. It exhibits reactivity toward 人.
产品编号 ABIN932935
发货至: 中国
Contact our Customer Service for availability and price in your country. Contact Info

Our Local Distributor

中国
北京 101111
No. 88 KeChuang 6th Street
Beijing Economic Technological Development Area
Room 801-803
4A Biotech Co.,Ltd.
Tel +86 (0512) 65829739 传真 +86 (010) 6788 5057

Quick Overview for NPM1 抗体 (ABIN932935)

抗原

See all NPM1 抗体
NPM1 (Nucleophosmin (Nucleolar phosphoprotein B23, Numatrin) (NPM1))

适用

  • 216
  • 113
  • 84
  • 12
  • 12
  • 10
  • 9
  • 9
  • 8
  • 3
  • 3
  • 2
  • 1
  • 1

宿主

  • 157
  • 83
  • 1
小鼠

克隆类型

  • 130
  • 112
单克隆

标记

  • 125
  • 19
  • 5
  • 5
  • 5
  • 5
  • 5
  • 5
  • 5
  • 5
  • 3
  • 3
  • 3
  • 3
  • 3
  • 3
  • 3
  • 3
  • 3
  • 3
  • 3
  • 3
  • 3
  • 3
  • 3
  • 3
  • 3
  • 3
  • 2
  • 2
This NPM1 antibody is un-conjugated

应用范围

  • 188
  • 147
  • 86
  • 52
  • 49
  • 43
  • 31
  • 28
  • 27
  • 24
  • 16
  • 7
  • 3
  • 3
  • 3
  • 2
  • 2
  • 2
  • 1
Western Blotting (WB), Immunohistochemistry (IHC), Immunofluorescence (IF), ELISA

克隆位点

7H10B9
You are here: