电话:
+86 (0512) 65829739
传真:
+86 (010) 6788 5057
电子邮件:
orders@antibodies-online.cn

BNP 抗体

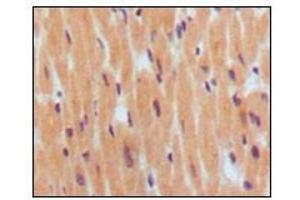
This 小鼠 单克隆 antibody specifically detects BNP in IHC 和 ELISA. It exhibits reactivity toward 人.
产品编号 ABIN931453
发货至: 中国
Contact our Customer Service for availability and price in your country. Contact Info

Our Local Distributor

中国
北京 101111
No. 88 KeChuang 6th Street
Beijing Economic Technological Development Area
Room 801-803
4A Biotech Co.,Ltd.
Tel +86 (0512) 65829739 传真 +86 (010) 6788 5057

Quick Overview for BNP 抗体 (ABIN931453)

抗原

See all BNP 抗体
BNP (Brain Natriuretic Peptide (BNP))

适用

  • 49
  • 23
  • 9
  • 3
  • 3

宿主

  • 46
  • 35
  • 2
  • 1
  • 1
小鼠

克隆类型

  • 46
  • 38
单克隆

标记

  • 61
  • 9
  • 3
  • 1
  • 1
  • 1
  • 1
  • 1
  • 1
  • 1
  • 1
  • 1
  • 1
  • 1
  • 1
This BNP antibody is un-conjugated

应用范围

  • 47
  • 37
  • 31
  • 25
  • 24
  • 13
  • 7
  • 6
  • 5
  • 5
  • 4
  • 4
  • 3
  • 2
  • 1
  • 1
  • 1
Immunohistochemistry (IHC), ELISA

克隆位点

8D5B4C11
You are here: