电话:
+86 (0512) 65829739
传真:
+86 (010) 6788 5057
电子邮件:
orders@antibodies-online.cn

HDAC3 抗体 (AA 224-428)

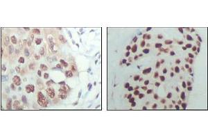
The 小鼠 单克隆 anti-HDAC3 antibody is suitable to detect HDAC3 in samples from 人. It has been validated for WB, ELISA 和 IHC.
产品编号 ABIN931391
发货至: 中国
Contact our Customer Service for availability and price in your country. Contact Info

Our Local Distributor

中国
北京 101111
No. 88 KeChuang 6th Street
Beijing Economic Technological Development Area
Room 801-803
4A Biotech Co.,Ltd.
Tel +86 (0512) 65829739 传真 +86 (010) 6788 5057

Quick Overview for HDAC3 抗体 (AA 224-428) (ABIN931391)

抗原

See all HDAC3 抗体
HDAC3 (Histone Deacetylase 3 (HDAC3))

适用

  • 140
  • 92
  • 89
  • 8
  • 7
  • 6
  • 6
  • 5
  • 4
  • 4
  • 4
  • 2
  • 2
  • 1
  • 1
  • 1

宿主

  • 113
  • 26
  • 1
小鼠

克隆类型

  • 101
  • 39
单克隆

标记

  • 75
  • 6
  • 5
  • 4
  • 4
  • 4
  • 4
  • 4
  • 4
  • 4
  • 2
  • 2
  • 2
  • 2
  • 2
  • 2
  • 2
  • 2
  • 2
  • 2
  • 2
  • 2
  • 1
  • 1
  • 1
This HDAC3 antibody is un-conjugated

应用范围

  • 112
  • 51
  • 47
  • 40
  • 27
  • 26
  • 21
  • 19
  • 19
  • 16
  • 8
  • 5
  • 2
  • 2
  • 2
  • 2
  • 1
Western Blotting (WB), ELISA, Immunohistochemistry (IHC)

克隆位点

3A7B5
  • 抗原表位

    • 19
    • 17
    • 16
    • 10
    • 8
    • 5
    • 3
    • 2
    • 1
    • 1
    • 1
    • 1
    • 1
    • 1
    • 1
    • 1
    • 1
    • 1
    • 1
    • 1
    • 1
    • 1
    • 1
    AA 224-428

    免疫原

    HDAC3 antibody was raised in Mouse using a purified recombinant fragment of HDAC3(aa224-428) expressed in E. coli as the immunogen.

    亚型

    IgG1
  • 应用备注

    ELISA: 1:10,000, IHC: 1:200-1:1000, WB: 1:500-1:2000
    Optimal conditions should be determined by the investigator.

    限制

    仅限研究用
  • 状态

    Liquid

    浓度

    Lot specific

    缓冲液

    Supplied as a liquid in ascitic fluid containing 0.03 % sodium azide.

    储存液

    Sodium azide

    注意事项

    This product contains Sodium Azide: a POISONOUS AND HAZARDOUS SUBSTANCE, which should be handled by trained staff only.

    注意事项

    Avoid repeated freeze/thaw cycles.
    Dilute only prior to immediate use.

    储存条件

    4 °C/-20 °C

    储存方法

    Store at 4 °C for short term storage. Store at -20 °C for long term storage.
  • 抗原

    HDAC3 (Histone Deacetylase 3 (HDAC3))

    别名

    HDAC3

    背景

    Histones play a critical role in transcriptional regulation, cell cycle progression, and developmental events. Histone acetylation/deacetylation alters chromosome structure and affects transcription factor access to DNA. The protein encoded by this gene belongs to the histone deacetylase/acuc/apha family. It has histone deacetylase activity and represses transcription when tethered to a promoter. It may participate in the regulation of transcription through its binding with the zinc-finger transcription factor YY1. This protein can also down-regulate p53 function and thus modulate cell growth and apoptosis. This gene is regarded as a potential tumor suppressor gene. Synonyms: Monoclonal HDAC3 antibody, Anti-HDAC3 antibody, Histone Deacetylase 3 antibody, HD3 antibody, RPD3 antibody, RPD3-2 antibody, RPD3 2 antibody.

    途径

    Neurotrophin Signaling Pathway, Regulation of Lipid Metabolism by PPARalpha, Regulation of Muscle Cell Differentiation, Skeletal Muscle Fiber Development
You are here: