电话:
+86 (0512) 65829739
传真:
+86 (010) 6788 5057
电子邮件:
orders@antibodies-online.cn

KDM2A 抗体 (N-Term)

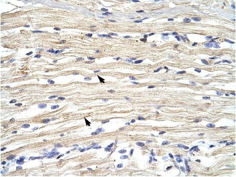
The 兔 多克隆 anti-KDM2A antibody (ABIN927336) specifically detects KDM2A in WB 和 IHC. The antibody is reactive with 人, 小鼠, 大鼠, 犬, Pig 和 斑马鱼 samples.
产品编号 ABIN927336
发货至: 中国
Contact our Customer Service for availability and price in your country. Contact Info

Our Local Distributor

中国
北京 101111
No. 88 KeChuang 6th Street
Beijing Economic Technological Development Area
Room 801-803
4A Biotech Co.,Ltd.
Tel +86 (0512) 65829739 传真 +86 (010) 6788 5057

Quick Overview for KDM2A 抗体 (N-Term) (ABIN927336)

抗原

See all KDM2A 抗体
KDM2A (Lysine (K)-Specific Demethylase 2A (KDM2A))

适用

  • 59
  • 20
  • 10
  • 7
  • 6
  • 6
  • 6
  • 5
  • 4
  • 2
  • 2
  • 2
  • 1
  • 1
人, 小鼠, 大鼠, 犬, Pig, 斑马鱼

宿主

  • 55
  • 3
  • 1

克隆类型

  • 46
  • 13
多克隆

标记

  • 26
  • 3
  • 2
  • 2
  • 2
  • 2
  • 2
  • 2
  • 2
  • 2
  • 2
  • 1
  • 1
  • 1
  • 1
  • 1
  • 1
  • 1
  • 1
  • 1
  • 1
  • 1
  • 1
This KDM2A antibody is un-conjugated

应用范围

  • 29
  • 17
  • 16
  • 16
  • 12
  • 9
  • 8
  • 7
  • 3
  • 2
  • 1
  • 1
  • 1
Western Blotting (WB), Immunohistochemistry (IHC)
  • 抗原表位

    • 15
    • 3
    • 2
    • 2
    • 2
    • 2
    • 1
    • 1
    • 1
    • 1
    • 1
    • 1
    • 1
    N-Term

    交叉反应

    小鼠, 大鼠, 犬, 猪, 斑马鱼

    纯化方法

    Purified

    免疫原

    FBXL11 antibody was raised in rabbit using the N terminal of FBXL11 as the immunogen
  • 应用备注

    WB: 0.2-1 µg/mL
    Optimal conditions should be determined by the investigator.

    说明

    FBXL11 Blocking Peptide, (ABIN5613527), is also available for use as a blocking control in assays to test for specificity of this FBXL11 antibody

    限制

    仅限研究用
  • 状态

    Lyophilized

    浓度

    Lot specific

    缓冲液

    Lyophilized powder. Add 50 µL of distilled water. Final antibody concentration is 1 mg/mL in PBS buffer.

    注意事项

    Avoid repeated freeze/thaw cycles.

    储存条件

    4 °C/-20 °C

    储存方法

    Store at 4 °C, following reconstitution, aliquot and store at -20 °C.
  • 抗原

    KDM2A (Lysine (K)-Specific Demethylase 2A (KDM2A))

    别名

    FBXL11

    背景

    FBXL11 is a member of the F-box protein family which is characterized by an approximately 40 amino acid motif, the F-box. The F-box proteins constitute one of the four subunits of ubiquitin protein ligase complex called SCFs. The F-box proteins are divided into 3 classes: Fbws containing WD-40 domains, Fbls containing leucine-rich repeats, and Fbxs containing either different protein-protein interaction modules or no recognizable motifs. FBXL11 belongs to the Fbls class and, in addition to an F-box, contains at least 6 highly degenerated leucine-rich repeats. Synonyms: Polyclonal FBXL11 antibody, Anti-FBXL11 antibody, F-box and leucine-rich repeat protein 11 antibody.

    途径

    Warburg Effect
You are here: