电话:
+86 (0512) 65829739
传真:
+86 (010) 6788 5057
电子邮件:
orders@antibodies-online.cn

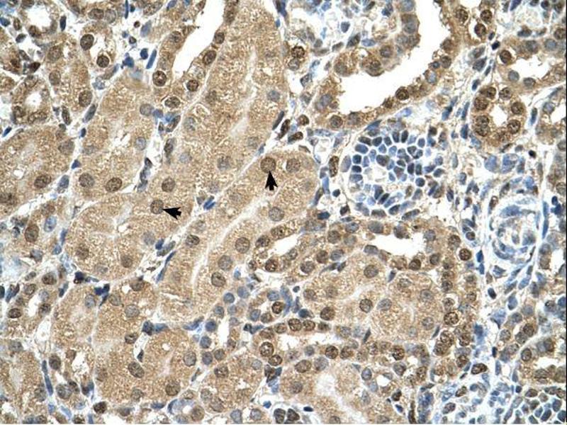
T-Box 15 抗体 (C-Term)

The 兔 多克隆 anti-T-Box 15 antibody (ABIN925971) specifically detects T-Box 15 in WB 和 IHC. The antibody is reactive with 人, 小鼠, 犬 和 大鼠 samples.
产品编号 ABIN925971
发货至: 中国
Contact our Customer Service for availability and price in your country. Contact Info

Our Local Distributor

中国
北京 101111
No. 88 KeChuang 6th Street
Beijing Economic Technological Development Area
Room 801-803
4A Biotech Co.,Ltd.
Tel +86 (0512) 65829739 传真 +86 (010) 6788 5057

Quick Overview for T-Box 15 抗体 (C-Term) (ABIN925971)

抗原

See all T-Box 15 (TBX15) 抗体
T-Box 15 (TBX15)

适用

  • 24
  • 22
  • 5
  • 5
  • 3
  • 3
  • 3
  • 3
  • 2
  • 2
  • 2
  • 2
  • 1
  • 1
人, 小鼠, 犬, 大鼠

宿主

  • 29

克隆类型

  • 29
多克隆

标记

  • 16
  • 5
  • 3
  • 3
  • 1
  • 1
This T-Box 15 antibody is un-conjugated

应用范围

  • 20
  • 19
  • 4
  • 3
  • 1
  • 1
Western Blotting (WB), Immunohistochemistry (IHC)
  • 抗原表位

    • 8
    • 5
    • 5
    • 2
    • 2
    • 1
    • 1
    • 1
    • 1
    C-Term

    交叉反应

    小鼠, 大鼠, 犬

    免疫原

    TBX15 antibody was raised in rabbit using the C terminal of TBX15 as the immunogen
  • 应用备注

    Optimal conditions should be determined by the investigator.

    说明

    TBX15 Blocking Peptide, (ABIN936078), is also available for use as a blocking control in assays to test for specificity of this TBX15 antibody

    限制

    仅限研究用
  • 状态

    Lyophilized

    浓度

    Lot specific

    缓冲液

    Lyophilized powder. Add 100 µL of distilled water. Final antibody concentration is 1 mg/mL in PBS buffer.

    注意事项

    Avoid repeated freeze/thaw cycles.

    储存条件

    4 °C/-20 °C

    储存方法

    Store at 4 °C, following reconstitution, aliquot and store at -20 °C.
  • 抗原

    T-Box 15 (TBX15)

    别名

    TBX15

    背景

    TBX15 is a probable transcriptional regulator involved in developmental processes. Synonyms: Polyclonal TBX15 antibody, Anti-TBX15 antibody, T-box 15 antibody, TBX14 antibody.
You are here: