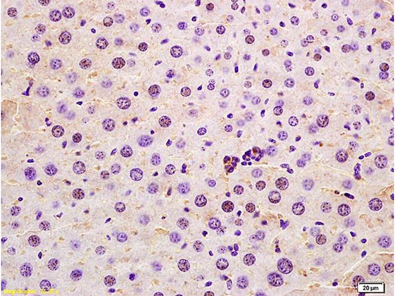
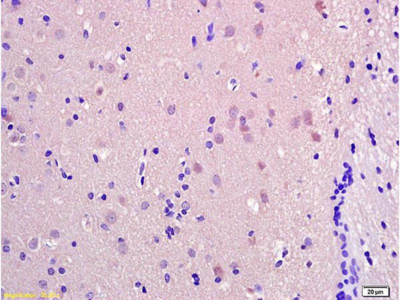
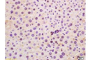
SRRM2 抗体 (AA 101-230)
Our Local Distributor
北京 101111
Quick Overview for SRRM2 抗体 (AA 101-230) (ABIN873267)
抗原
See all SRRM2 抗体适用
宿主
克隆类型
标记
应用范围
-
-
抗原表位
- AA 101-230
-
交叉反应
- 小鼠
-
预测反应
- Human,Rat,Dog,Cow,Pig,Rabbit
-
纯化方法
- Purified by Protein A.
-
免疫原
- KLH conjugated synthetic peptide derived from human SRRM2
-
亚型
- IgG
-
-
-
-
应用备注
-
ELISA 1:500-1000
IHC-P 1:200-400
IHC-F 1:100-500
IF(IHC-P) 1:50-200
IF(IHC-F) 1:50-200
IF(ICC) 1:50-200 -
限制
- 仅限研究用
-
-
-
状态
- Liquid
-
浓度
- 1 μg/μL
-
缓冲液
- 0.01M TBS( pH 7.4) with 1 % BSA, 0.02 % Proclin300 and 50 % Glycerol.
-
储存液
- ProClin
-
注意事项
- This product contains ProClin: a POISONOUS AND HAZARDOUS SUBSTANCE, which should be handled by trained staff only.
-
储存条件
- 4 °C,-20 °C
-
储存方法
- Shipped at 4°C. Store at -20°C for one year. Avoid repeated freeze/thaw cycles.
-
有效期
- 12 months
-
-
- SRRM2 (Serine/arginine Repetitive Matrix 2 (SRRM2))
-
别名
- SRRM2
-
背景
-
Synonyms: Serine/arginine repetitive matrix protein 2, 300 kDa nuclear matrix antigen, Serine/arginine-rich splicing factor-related nuclear matrix protein of 300 kDa, SR-related nuclear matrix protein of 300 kDa, Ser/Arg-related nuclear matrix protein of 300 kDa, Splicing coactivator subunit SRm300, Tax-responsive enhancer element-binding protein 803, TaxREB803, SRRM2, KIAA0324, SRL300, SRM300, HSPC075
Background: Involved in pre-mRNA splicing. May function at or prior to the first catalytic step of splicing at the catalytic center of the spliceosome. May do so by stabilizing the catalytic center or the position of the RNA substrate (By similarity). Binds to RNA.
-
基因ID
- 23524
-
UniProt
- Q9UQ35
抗原
-