电话:
+86 (0512) 65829739
传真:
+86 (010) 6788 5057
电子邮件:
orders@antibodies-online.cn

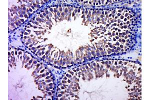
CCDC93 抗体 (AA 531-631)

The 兔 多克隆 anti-CCDC93 antibody (ABIN873135) specifically detects CCDC93 in IF (cc), IF (p), ELISA, IHC (p) 和 IHC (fro). The antibody is reactive with 大鼠 samples.
产品编号 ABIN873135
发货至: 中国
Contact our Customer Service for availability and price in your country. Contact Info

Our Local Distributor

中国
北京 101111
No. 88 KeChuang 6th Street
Beijing Economic Technological Development Area
Room 801-803
4A Biotech Co.,Ltd.
Tel +86 (0512) 65829739 传真 +86 (010) 6788 5057

Quick Overview for CCDC93 抗体 (AA 531-631) (ABIN873135)

抗原

See all CCDC93 抗体
CCDC93 (Coiled-Coil Domain Containing 93 (CCDC93))

适用

  • 18
  • 11
  • 4
  • 2
  • 2
大鼠

宿主

  • 20
  • 5

克隆类型

  • 22
  • 3
多克隆

标记

  • 11
  • 1
  • 1
  • 1
  • 1
  • 1
  • 1
  • 1
  • 1
  • 1
  • 1
  • 1
  • 1
  • 1
  • 1
This CCDC93 antibody is un-conjugated

应用范围

  • 12
  • 12
  • 10
  • 5
  • 5
  • 3
  • 2
  • 1
Immunofluorescence (Cultured Cells) (IF (cc)), Immunofluorescence (Paraffin-embedded Sections) (IF (p)), ELISA, Immunohistochemistry (Paraffin-embedded Sections) (IHC (p)), Immunohistochemistry (Frozen Sections) (IHC (fro))
  • 抗原表位

    • 14
    • 2
    • 2
    • 1
    • 1
    • 1
    AA 531-631

    交叉反应

    大鼠

    预测反应

    Human,Mouse,Dog,Cow,Sheep,Pig

    纯化方法

    Purified by Protein A.

    免疫原

    KLH conjugated synthetic peptide derived from human CCDC93

    亚型

    IgG
  • 应用备注

    ELISA 1:500-1000
    IHC-P 1:200-400
    IHC-F 1:100-500
    IF(IHC-P) 1:50-200
    IF(IHC-F) 1:50-200
    IF(ICC) 1:50-200

    限制

    仅限研究用
  • 状态

    Liquid

    浓度

    1 μg/μL

    缓冲液

    0.01M TBS( pH 7.4) with 1 % BSA, 0.02 % Proclin300 and 50 % Glycerol.

    储存液

    ProClin

    注意事项

    This product contains ProClin: a POISONOUS AND HAZARDOUS SUBSTANCE, which should be handled by trained staff only.

    储存条件

    4 °C,-20 °C

    储存方法

    Shipped at 4°C. Store at -20°C for one year. Avoid repeated freeze/thaw cycles.

    有效期

    12 months
  • 抗原

    CCDC93 (Coiled-Coil Domain Containing 93 (CCDC93))

    别名

    CCDC93

    背景

    Synonyms: CCDC 93, Coiled-coil domain containing 93, FLJ10996, FLJ25197, MGC13033, CCD93_HUMAN.

    Background: The coiled-coil domain is a structural motif found in proteins that are involved in a diverse array of biological functions such as the regulation of gene expression, cell division, membrane fusion, and drug extrusion and delivery. CCDC93 (coiled-coil domain containing 93) is a 631 amino acid protein that belongs to the CCDC93 family. CCDC93 is encoded by a gene located on human chromosome 2, which makes up approximately 8 % of the human genome and contains 237 million bases encoding over 1,400 genes. A number of genetic diseases are linked to genes on chromosome 2. Harlequin icthyosis, a rare skin deformity, is associated with mutations in the ABCA12 gene. The lipid metabolic disorder sitosterolemia is associated with ABCG5 and ABCG8. An extremely rare recessive genetic disorder, Alstr syndrome, is related to mutations in the ALMS1 gene.

    基因ID

    54520
You are here: