电话:
+86 (0512) 65829739
传真:
+86 (010) 6788 5057
电子邮件:
orders@antibodies-online.cn

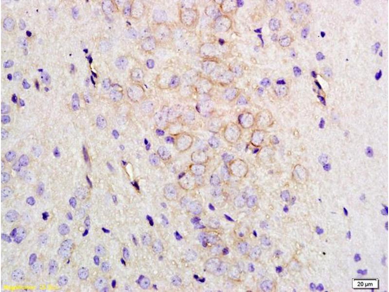
MC3R 抗体 (AA 131-230)

The 兔 多克隆 anti-MC3R antibody (ABIN872967) specifically detects MC3R in WB, ELISA, IF (cc), IF (p), IHC (p) 和 IHC (fro). The antibody is reactive with 小鼠 和 大鼠 samples.
产品编号 ABIN872967
发货至: 中国
Contact our Customer Service for availability and price in your country. Contact Info

Our Local Distributor

中国
北京 101111
No. 88 KeChuang 6th Street
Beijing Economic Technological Development Area
Room 801-803
4A Biotech Co.,Ltd.
Tel +86 (0512) 65829739 传真 +86 (010) 6788 5057

Quick Overview for MC3R 抗体 (AA 131-230) (ABIN872967)

抗原

See all MC3R 抗体
MC3R (Melanocortin 3 Receptor (MC3R))

适用

  • 43
  • 42
  • 27
  • 4
小鼠, 大鼠

宿主

  • 63
  • 1
  • 1

克隆类型

  • 65
多克隆

标记

  • 22
  • 6
  • 5
  • 3
  • 2
  • 2
  • 2
  • 2
  • 2
  • 2
  • 2
  • 1
  • 1
  • 1
  • 1
  • 1
  • 1
  • 1
  • 1
  • 1
  • 1
  • 1
  • 1
  • 1
  • 1
  • 1
This MC3R antibody is un-conjugated

应用范围

  • 46
  • 25
  • 12
  • 12
  • 5
  • 4
  • 4
  • 3
  • 2
  • 1
  • 1
Western Blotting (WB), ELISA, Immunofluorescence (Cultured Cells) (IF (cc)), Immunofluorescence (Paraffin-embedded Sections) (IF (p)), Immunohistochemistry (Paraffin-embedded Sections) (IHC (p)), Immunohistochemistry (Frozen Sections) (IHC (fro))
  • 抗原表位

    • 14
    • 8
    • 7
    • 6
    • 5
    • 2
    • 2
    • 1
    • 1
    • 1
    • 1
    • 1
    • 1
    • 1
    • 1
    • 1
    AA 131-230

    交叉反应

    小鼠, 大鼠

    预测反应

    Human,Cow

    纯化方法

    Purified by Protein A.

    免疫原

    KLH conjugated synthetic peptide derived from human MC3 Receptor

    亚型

    IgG
  • 应用备注

    WB 1:300-5000
    ELISA 1:500-1000
    IHC-P 1:200-400
    IHC-F 1:100-500
    IF(IHC-P) 1:50-200
    IF(IHC-F) 1:50-200
    IF(ICC) 1:50-200

    限制

    仅限研究用
  • 状态

    Liquid

    浓度

    1 μg/μL

    缓冲液

    0.01M TBS( pH 7.4) with 1 % BSA, 0.02 % Proclin300 and 50 % Glycerol.

    储存液

    ProClin

    注意事项

    This product contains ProClin: a POISONOUS AND HAZARDOUS SUBSTANCE, which should be handled by trained staff only.

    储存条件

    4 °C,-20 °C

    储存方法

    Shipped at 4°C. Store at -20°C for one year. Avoid repeated freeze/thaw cycles.

    有效期

    12 months
  • 抗原

    MC3R (Melanocortin 3 Receptor (MC3R))

    背景

    Synonyms: MC3, OB20, OQTL, BMIQ9, MC3-R, Melanocortin receptor 3, MC3R

    Background: Receptor for MSH (alpha, beta and gamma) and ACTH. This receptor is mediated by G proteins which activate adenylate cyclase.

    基因ID

    4159

    UniProt

    P41968

    途径

    cAMP Metabolic Process
You are here: