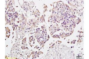
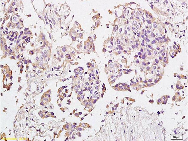
VIPR1 抗体 (AA 351-457)
Our Local Distributor
北京 101111
Quick Overview for VIPR1 抗体 (AA 351-457) (ABIN872880)
抗原
See all VIPR1 抗体适用
宿主
克隆类型
标记
应用范围
-
-
抗原表位
- AA 351-457
-
交叉反应
- 小鼠, 大鼠
-
预测反应
- Human,Cow,Pig,Rabbit
-
纯化方法
- Purified by Protein A.
-
免疫原
- KLH conjugated synthetic peptide derived from human VIP Receptor 1/VAPC1
-
亚型
- IgG
-
-
-
-
应用备注
-
WB 1:300-5000
ELISA 1:500-1000
IHC-P 1:200-400
IHC-F 1:100-500
IF(IHC-P) 1:50-200
IF(IHC-F) 1:50-200
IF(ICC) 1:50-200 -
限制
- 仅限研究用
-
-
-
状态
- Liquid
-
浓度
- 1 μg/μL
-
缓冲液
- 0.01M TBS( pH 7.4) with 1 % BSA, 0.02 % Proclin300 and 50 % Glycerol.
-
储存液
- ProClin
-
注意事项
- This product contains ProClin: a POISONOUS AND HAZARDOUS SUBSTANCE, which should be handled by trained staff only.
-
储存条件
- 4 °C,-20 °C
-
储存方法
- Shipped at 4°C. Store at -20°C for one year. Avoid repeated freeze/thaw cycles.
-
有效期
- 12 months
-
-
-
: "Enteromorpha and polysaccharides from enteromorpha ameliorate loperamide-induced constipation in mice." in: Biomedicine & pharmacotherapy, Vol. 96, pp. 1075-1081, (2018) (PubMed).
-
-
- VIPR1 (Vasoactive Intestinal Peptide Receptor 1 (VIPR1))
-
别名
- VIP Receptor 1
-
背景
-
Synonyms: II, HVR1, RDC1, V1RG, VIPR, VIRG, VAPC1, VPAC1, VPAC1R, VIP-R-1, VPCAP1R, PACAP-R2, PACAP-R-2, Vasoactive intestinal polypeptide receptor 1, Pituitary adenylate cyclase-activating polypeptide type II receptor, PACAP type II receptor, VIPR1
Background: This is a receptor for VIP. The activity of this receptor is mediated by G proteins which activate adenylyl cyclase. The affinity is VIP = PACAP-27 > PACAP-38.
-
基因ID
- 7433
-
UniProt
- P32241
抗原
-