电话:
+86 (0512) 65829739
传真:
+86 (010) 6788 5057
电子邮件:
orders@antibodies-online.cn

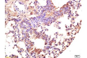
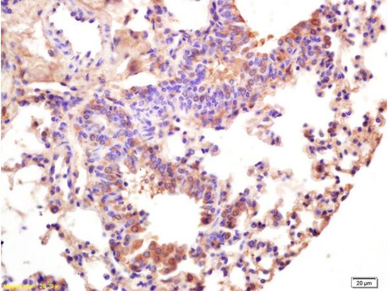
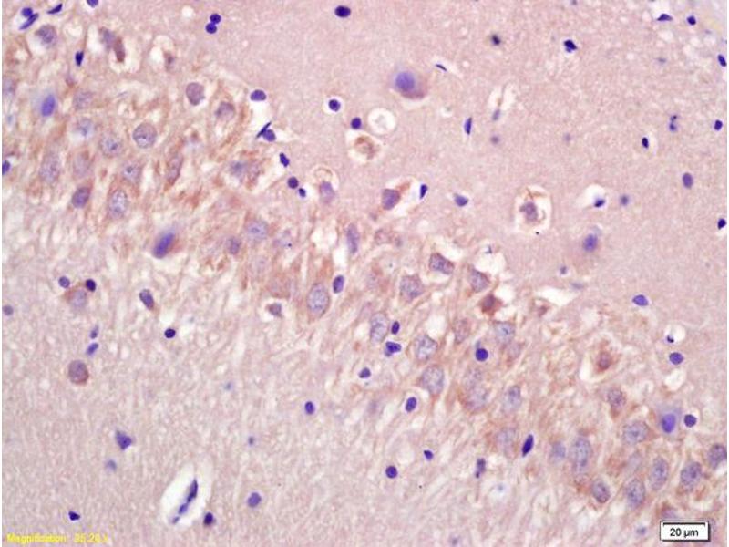
CECR5 抗体 (AA 251-350)

The 兔 多克隆 anti-CECR5 antibody (ABIN872871) specifically detects CECR5 in WB, ELISA, IF (cc), IF (p), IHC (p) 和 IHC (fro). The antibody is reactive with 人 和 大鼠 samples.
产品编号 ABIN872871
发货至: 中国
Contact our Customer Service for availability and price in your country. Contact Info

Our Local Distributor

中国
北京 101111
No. 88 KeChuang 6th Street
Beijing Economic Technological Development Area
Room 801-803
4A Biotech Co.,Ltd.
Tel +86 (0512) 65829739 传真 +86 (010) 6788 5057

Quick Overview for CECR5 抗体 (AA 251-350) (ABIN872871)

抗原

See all CECR5 抗体
CECR5 (Cat Eye Syndrome Chromosome Region, Candidate 5 (CECR5))

适用

  • 42
  • 14
  • 1
人, 大鼠

宿主

  • 43

克隆类型

  • 31
  • 12
多克隆

标记

  • 9
  • 3
  • 2
  • 2
  • 2
  • 2
  • 2
  • 2
  • 2
  • 2
  • 1
  • 1
  • 1
  • 1
  • 1
  • 1
  • 1
  • 1
  • 1
  • 1
  • 1
  • 1
  • 1
  • 1
  • 1
This CECR5 antibody is un-conjugated

应用范围

  • 37
  • 12
  • 12
  • 12
  • 10
  • 7
  • 3
  • 3
  • 2
  • 2
  • 1
  • 1
Western Blotting (WB), ELISA, Immunofluorescence (Cultured Cells) (IF (cc)), Immunofluorescence (Paraffin-embedded Sections) (IF (p)), Immunohistochemistry (Paraffin-embedded Sections) (IHC (p)), Immunohistochemistry (Frozen Sections) (IHC (fro))
You are here: