电话:
+86 (0512) 65829739
传真:
+86 (010) 6788 5057
电子邮件:
orders@antibodies-online.cn

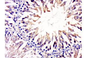
CCDC54 抗体 (AA 221-328)

The 兔 多克隆 anti-CCDC54 antibody (ABIN872763) specifically detects CCDC54 in WB, IF (cc), IF (p), ELISA, IHC (p) 和 IHC (fro). The antibody is reactive with 人, 小鼠 和 大鼠 samples.
产品编号 ABIN872763
发货至: 中国
Contact our Customer Service for availability and price in your country. Contact Info

Our Local Distributor

中国
北京 101111
No. 88 KeChuang 6th Street
Beijing Economic Technological Development Area
Room 801-803
4A Biotech Co.,Ltd.
Tel +86 (0512) 65829739 传真 +86 (010) 6788 5057

Quick Overview for CCDC54 抗体 (AA 221-328) (ABIN872763)

抗原

See all CCDC54 抗体
CCDC54 (Coiled-Coil Domain Containing 54 (CCDC54))

适用

  • 26
  • 15
  • 14
  • 1
  • 1
  • 1
  • 1
  • 1
人, 小鼠, 大鼠

宿主

  • 26

克隆类型

  • 26
多克隆

标记

  • 7
  • 2
  • 2
  • 2
  • 1
  • 1
  • 1
  • 1
  • 1
  • 1
  • 1
  • 1
  • 1
  • 1
  • 1
  • 1
  • 1
This CCDC54 antibody is un-conjugated

应用范围

  • 26
  • 12
  • 12
  • 9
  • 9
  • 7
  • 4
  • 2
  • 1
Western Blotting (WB), Immunofluorescence (Cultured Cells) (IF (cc)), Immunofluorescence (Paraffin-embedded Sections) (IF (p)), ELISA, Immunohistochemistry (Paraffin-embedded Sections) (IHC (p)), Immunohistochemistry (Frozen Sections) (IHC (fro))
  • 抗原表位

    • 14
    • 7
    • 3
    • 2
    • 1
    • 1
    • 1
    AA 221-328

    交叉反应

    人, 小鼠, 大鼠

    预测反应

    Dog,Cow,Sheep,Pig,Horse,Chicken,Rabbit

    纯化方法

    Purified by Protein A.

    免疫原

    KLH conjugated synthetic peptide derived from human CCDC54

    亚型

    IgG
  • 应用备注

    WB 1:300-5000
    ELISA 1:500-1000
    IHC-P 1:200-400
    IHC-F 1:100-500
    IF(IHC-P) 1:50-200
    IF(IHC-F) 1:50-200
    IF(ICC) 1:50-200

    限制

    仅限研究用
  • 状态

    Liquid

    浓度

    1 μg/μL

    缓冲液

    0.01M TBS( pH 7.4) with 1 % BSA, 0.02 % Proclin300 and 50 % Glycerol.

    储存液

    ProClin

    注意事项

    This product contains ProClin: a POISONOUS AND HAZARDOUS SUBSTANCE, which should be handled by trained staff only.

    储存条件

    4 °C,-20 °C

    储存方法

    Shipped at 4°C. Store at -20°C for one year. Avoid repeated freeze/thaw cycles.

    有效期

    12 months
  • 抗原

    CCDC54 (Coiled-Coil Domain Containing 54 (CCDC54))

    别名

    CCDC54

    背景

    Synonyms: Coiled-coil domain containing 54, FLJ25362, NYD-SP17, Testes development-related NYD-SP17, Testis development protein NYD-SP17.

    Background: The specific function of CCDC54 (coiled-coil domain containing 54) is not yet known. The CCDC54 gene appears to be conserved in chimpanzee, dog, mouse, and rat.CCDC54, also known as coiled-coil domain-containing protein 54 or testis development protein NYD-SP17, is a 328 amino acid protein that is phosphorylated on threonine 182 during post-translational modification. The gene encoding NYD-SP17 maps to human chromosome 3q13.12 and mouse chromosome 16 B5. Human chromosome 3 houses over 1,100 genes, including a chemokine receptor (CKR) gene cluster and a variety of human cancer-related gene loci. Key tumor suppressing genes on chromosome 3 include those that encode the apoptosis mediator RASSF1, the cell migration regulator HYAL1 and the angiogenesis suppressor SEMA3B. Marfan Syndrome, porphyria, von Hippel-Lindau syndrome, osteogenesis imperfecta and Charcot-Marie-Tooth disease are a few of the numerous genetic diseases associated with chromosome 3.

    基因ID

    84692
You are here: