电话:
+86 (0512) 65829739
传真:
+86 (010) 6788 5057
电子邮件:
orders@antibodies-online.cn

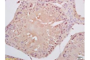
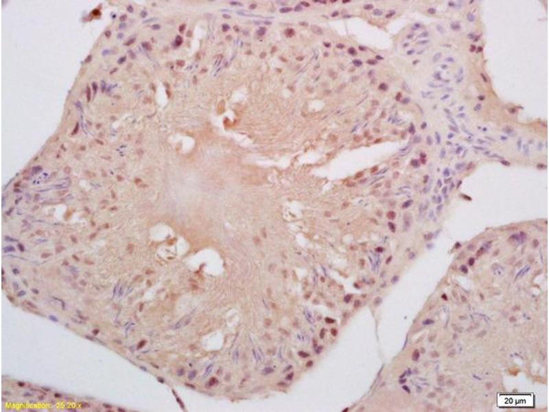
Cyclin B3 抗体 (AA 1117-1200)

The 兔 多克隆 anti-Cyclin B3 antibody is suitable to detect Cyclin B3 in samples from 人 和 大鼠. It has been validated for ELISA, WB, FACS, IF (cc), IF (p), IHC (fro) 和 IHC (p).
产品编号 ABIN872702
发货至: 中国
Contact our Customer Service for availability and price in your country. Contact Info

Our Local Distributor

中国
北京 101111
No. 88 KeChuang 6th Street
Beijing Economic Technological Development Area
Room 801-803
4A Biotech Co.,Ltd.
Tel +86 (0512) 65829739 传真 +86 (010) 6788 5057

Quick Overview for Cyclin B3 抗体 (AA 1117-1200) (ABIN872702)

抗原

See all Cyclin B3 (CCNB3) 抗体
Cyclin B3 (CCNB3)

适用

  • 29
  • 25
  • 20
  • 18
  • 1
人, 大鼠

宿主

  • 69
  • 3

克隆类型

  • 71
  • 1
多克隆

标记

  • 32
  • 8
  • 8
  • 8
  • 8
  • 8
This Cyclin B3 antibody is un-conjugated

应用范围

ELISA, Western Blotting (WB), Flow Cytometry (FACS), Immunofluorescence (Cultured Cells) (IF (cc)), Immunofluorescence (Paraffin-embedded Sections) (IF (p)), Immunohistochemistry (Frozen Sections) (IHC (fro)), Immunohistochemistry (Paraffin-embedded Sections) (IHC (p))
  • 抗原表位

    • 8
    • 8
    • 8
    • 7
    • 7
    • 7
    • 7
    • 7
    • 3
    • 2
    • 2
    • 1
    • 1
    • 1
    • 1
    • 1
    • 1
    AA 1117-1200

    交叉反应

    人, 大鼠

    预测反应

    Mouse,Dog,Cow,Sheep,Pig,Horse

    纯化方法

    Purified by Protein A.

    免疫原

    KLH conjugated synthetic peptide derived from human Cyclin B3

    亚型

    IgG
  • 应用备注

    WB 1:300-5000
    ELISA 1:500-1000
    FCM 1:20-100
    IHC-P 1:200-400
    IHC-F 1:100-500
    IF(IHC-P) 1:50-200
    IF(IHC-F) 1:50-200
    IF(ICC) 1:50-200

    限制

    仅限研究用
  • 状态

    Liquid

    浓度

    1 μg/μL

    缓冲液

    0.01M TBS( pH 7.4) with 1 % BSA, 0.02 % Proclin300 and 50 % Glycerol.

    储存液

    ProClin

    注意事项

    This product contains ProClin: a POISONOUS AND HAZARDOUS SUBSTANCE, which should be handled by trained staff only.

    储存条件

    4 °C,-20 °C

    储存方法

    Shipped at 4°C. Store at -20°C for one year. Avoid repeated freeze/thaw cycles.

    有效期

    12 months
  • 抗原

    Cyclin B3 (CCNB3)

    别名

    Cyclin B3

    背景

    Synonyms: G2/mitotic-specific cyclin-B3, CCNB3, CYCB3

    Background: Cyclins are positive regulatory subunits of the cyclin-dependent kinases (CDKs), and thereby play an essential role in the control of the cell cycle, notably via their destruction during cell division. Its tissue specificity suggest that it may be required during early meiotic prophase I.

    基因ID

    85417

    UniProt

    Q8WWL7

    途径

    Cell Division Cycle, Chromatin Binding
You are here: