电话:
+86 (0512) 65829739
传真:
+86 (010) 6788 5057
电子邮件:
orders@antibodies-online.cn

DDIT4L 抗体 (AA 121-193)

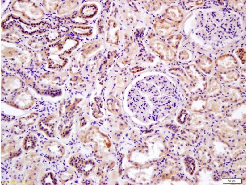
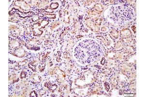
The 兔 多克隆 anti-DDIT4L antibody is suitable to detect DDIT4L in samples from 人 和 小鼠. It has been validated for WB, ELISA, IF (cc), IF (p), IHC (fro) 和 IHC (p).
产品编号 ABIN872534
发货至: 中国
Contact our Customer Service for availability and price in your country. Contact Info

Our Local Distributor

中国
北京 101111
No. 88 KeChuang 6th Street
Beijing Economic Technological Development Area
Room 801-803
4A Biotech Co.,Ltd.
Tel +86 (0512) 65829739 传真 +86 (010) 6788 5057

Quick Overview for DDIT4L 抗体 (AA 121-193) (ABIN872534)

抗原

See all DDIT4L 抗体
DDIT4L (DNA-Damage-Inducible Transcript 4-Like (DDIT4L))

适用

  • 49
  • 19
  • 5
  • 1
  • 1
  • 1
  • 1
  • 1
  • 1
  • 1
人, 小鼠

宿主

  • 41
  • 8

克隆类型

  • 43
  • 6
多克隆

标记

  • 18
  • 4
  • 3
  • 3
  • 3
  • 1
  • 1
  • 1
  • 1
  • 1
  • 1
  • 1
  • 1
  • 1
  • 1
  • 1
  • 1
  • 1
  • 1
  • 1
  • 1
  • 1
  • 1
This DDIT4L antibody is un-conjugated

应用范围

  • 34
  • 17
  • 12
  • 12
  • 2
  • 2
  • 2
  • 2
  • 2
  • 2
  • 1
Western Blotting (WB), ELISA, Immunofluorescence (Cultured Cells) (IF (cc)), Immunofluorescence (Paraffin-embedded Sections) (IF (p)), Immunohistochemistry (Frozen Sections) (IHC (fro)), Immunohistochemistry (Paraffin-embedded Sections) (IHC (p))
You are here: