电话:
+86 (0512) 65829739
传真:
+86 (010) 6788 5057
电子邮件:
orders@antibodies-online.cn

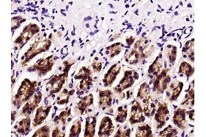
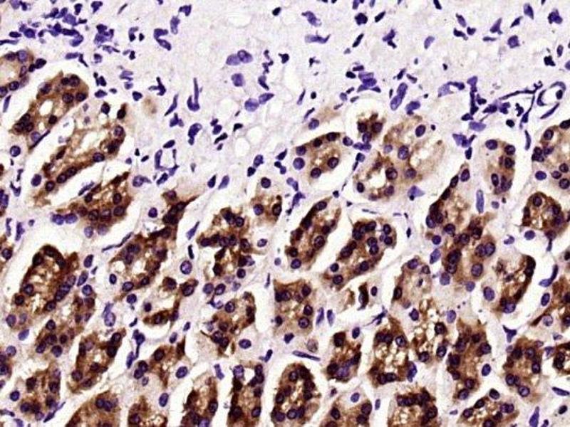
DCTN3 抗体 (AA 41-150)

The 兔 多克隆 anti-DCTN3 antibody is suitable to detect DCTN3 in samples from 大鼠 和 小鼠. It has been validated for ELISA, WB, IF (cc), IF (p), IHC (fro) 和 IHC (p).
产品编号 ABIN872510
发货至: 中国
Contact our Customer Service for availability and price in your country. Contact Info

Our Local Distributor

中国
北京 101111
No. 88 KeChuang 6th Street
Beijing Economic Technological Development Area
Room 801-803
4A Biotech Co.,Ltd.
Tel +86 (0512) 65829739 传真 +86 (010) 6788 5057

Quick Overview for DCTN3 抗体 (AA 41-150) (ABIN872510)

抗原

See all DCTN3 (Dctn3) 抗体
DCTN3 (Dctn3) (Dynactin 3 (p22) (Dctn3))

适用

  • 31
  • 28
  • 26
  • 2
  • 2
  • 2
  • 2
  • 2
  • 2
  • 1
  • 1
大鼠, 小鼠

宿主

  • 42
  • 2
  • 1

克隆类型

  • 35
  • 10
多克隆

标记

  • 12
  • 3
  • 3
  • 2
  • 2
  • 2
  • 2
  • 2
  • 2
  • 2
  • 1
  • 1
  • 1
  • 1
  • 1
  • 1
  • 1
  • 1
  • 1
  • 1
  • 1
  • 1
  • 1
This DCTN3 antibody is un-conjugated

应用范围

  • 32
  • 15
  • 12
  • 12
  • 12
  • 10
  • 10
  • 2
  • 2
  • 1
ELISA, Western Blotting (WB), Immunofluorescence (Cultured Cells) (IF (cc)), Immunofluorescence (Paraffin-embedded Sections) (IF (p)), Immunohistochemistry (Frozen Sections) (IHC (fro)), Immunohistochemistry (Paraffin-embedded Sections) (IHC (p))
  • 抗原表位

    • 14
    • 5
    • 3
    • 2
    • 1
    • 1
    • 1
    AA 41-150

    交叉反应

    小鼠, 大鼠

    预测反应

    Human,Dog,Cow,Pig,Horse,Rabbit

    纯化方法

    Purified by Protein A.

    免疫原

    KLH conjugated synthetic peptide derived from human DCTN3

    亚型

    IgG
  • 应用备注

    WB 1:300-5000
    ELISA 1:500-1000
    IHC-P 1:200-400
    IHC-F 1:100-500
    IF(IHC-P) 1:50-200
    IF(IHC-F) 1:50-200
    IF(ICC) 1:50-200

    限制

    仅限研究用
  • 状态

    Liquid

    浓度

    1 μg/μL

    缓冲液

    0.01M TBS( pH 7.4) with 1 % BSA, 0.02 % Proclin300 and 50 % Glycerol.

    储存液

    ProClin

    注意事项

    This product contains ProClin: a POISONOUS AND HAZARDOUS SUBSTANCE, which should be handled by trained staff only.

    储存条件

    4 °C,-20 °C

    储存方法

    Shipped at 4°C. Store at -20°C for one year. Avoid repeated freeze/thaw cycles.

    有效期

    12 months
  • 抗原

    DCTN3 (Dctn3) (Dynactin 3 (p22) (Dctn3))

    别名

    DCTN3

    背景

    Synonyms: DCNT22, DCTN 22, DCTN22, Dctn3, DCTN3_HUMAN, dynactin 3 p22, dynactin 3, dynactin 3 isoform 1, Dynactin complex subunit 22 kDa subunit, dynactin light chain, Dynactin subunit 3, p22.

    Background: Together with dynein may be involved in spindle assembly and cytokinesis.Tissue specificity:Ubiquitously expressed. Highly expressed in muscle and pancreas and detected at lower levels in brain.

    基因ID

    11258

    途径

    M Phase
You are here: