电话:
+86 (0512) 65829739
传真:
+86 (010) 6788 5057
电子邮件:
orders@antibodies-online.cn

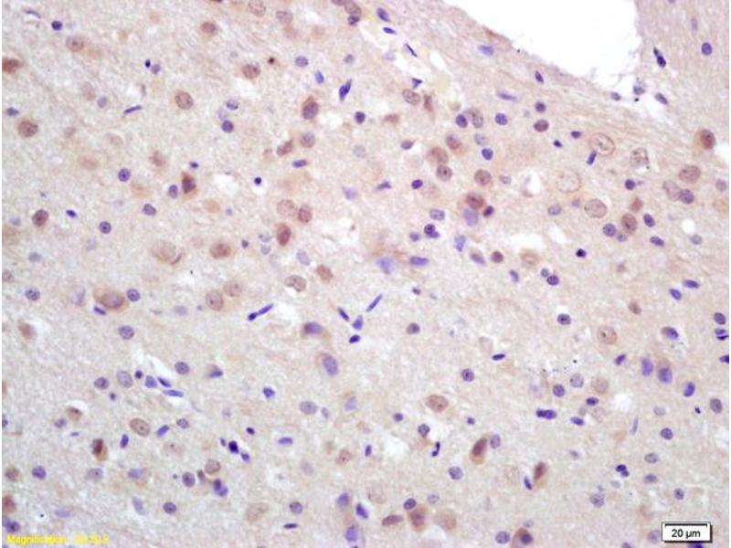
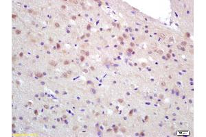
CCDC12 抗体 (AA 19-120)

The 兔 多克隆 anti-CCDC12 antibody is suitable to detect CCDC12 in samples from 人 和 大鼠. It has been validated for WB, ELISA, IF (cc), IF (p), IHC (fro) 和 IHC (p).
产品编号 ABIN872486
发货至: 中国
Contact our Customer Service for availability and price in your country. Contact Info

Our Local Distributor

中国
北京 101111
No. 88 KeChuang 6th Street
Beijing Economic Technological Development Area
Room 801-803
4A Biotech Co.,Ltd.
Tel +86 (0512) 65829739 传真 +86 (010) 6788 5057

Quick Overview for CCDC12 抗体 (AA 19-120) (ABIN872486)

抗原

See all CCDC12 抗体
CCDC12 (Coiled-Coil Domain Containing 12 (CCDC12))

适用

  • 26
  • 15
  • 12
  • 1
  • 1
  • 1
  • 1
  • 1
  • 1
人, 大鼠

宿主

  • 32
  • 1

克隆类型

  • 32
  • 1
多克隆

标记

  • 8
  • 2
  • 2
  • 2
  • 1
  • 1
  • 1
  • 1
  • 1
  • 1
  • 1
  • 1
  • 1
  • 1
  • 1
  • 1
  • 1
  • 1
  • 1
  • 1
  • 1
  • 1
  • 1
This CCDC12 antibody is un-conjugated

应用范围

  • 26
  • 12
  • 12
  • 11
  • 2
  • 2
  • 1
Western Blotting (WB), ELISA, Immunofluorescence (Cultured Cells) (IF (cc)), Immunofluorescence (Paraffin-embedded Sections) (IF (p)), Immunohistochemistry (Frozen Sections) (IHC (fro)), Immunohistochemistry (Paraffin-embedded Sections) (IHC (p))
  • 抗原表位

    • 14
    • 8
    • 2
    • 1
    • 1
    • 1
    • 1
    AA 19-120

    交叉反应

    人, 大鼠

    预测反应

    Mouse,Dog,Cow,Pig,Horse

    纯化方法

    Purified by Protein A.

    免疫原

    KLH conjugated synthetic peptide derived from human CCDC12

    亚型

    IgG
  • 应用备注

    WB 1:300-5000
    ELISA 1:500-1000
    IHC-P 1:200-400
    IHC-F 1:100-500
    IF(IHC-P) 1:50-200
    IF(IHC-F) 1:50-200
    IF(ICC) 1:50-200

    限制

    仅限研究用
  • 状态

    Liquid

    浓度

    1 μg/μL

    缓冲液

    0.01M TBS( pH 7.4) with 1 % BSA, 0.02 % Proclin300 and 50 % Glycerol.

    储存液

    ProClin

    注意事项

    This product contains ProClin: a POISONOUS AND HAZARDOUS SUBSTANCE, which should be handled by trained staff only.

    储存条件

    4 °C,-20 °C

    储存方法

    Shipped at 4°C. Store at -20°C for one year. Avoid repeated freeze/thaw cycles.

    有效期

    12 months
  • 抗原

    CCDC12 (Coiled-Coil Domain Containing 12 (CCDC12))

    别名

    CCDC12

    背景

    Synonyms: Coiled-coil domain-containing protein 12, CCDC12

    Background: CCDC12, also known as FLJ39430, FLJ40801 or MGC23918, is a 166 amino acid protein encoded by a gene mapping to human chromosome 3. Chromosome 3 is made up of about 214 million bases encoding over 1,100 genes. Notably, there is a chemokine receptor gene cluster and a variety of human cancer related loci on chromosome 3. Particular regions of the chromosome 3 short arm are deleted in many types of cancer cells. Key tumor suppressing genes on chromosome 3 encode apoptosis mediator RASSF1, cell migration regulator HYAL1 and angiogenesis suppressor SEMA3B. Marfan Syndrome, porphyria, von Hippel-Lindau syndrome, osteogenesis imperfecta and Charcot-Marie-Tooth Disease are a few of the numerous genetic diseases associated with chromosome 3.

    基因ID

    151903

    UniProt

    Q8WUD4
You are here: